CERCETARE PERSONALA
Limfoamele primitive ale tesutului limfoid gastric reprezinta tumori rare, obiectivate procentual la aproximativ 1-5% din neoplaziile cu localizare gastrica. Am ales aceasta tema avand in vedere faptul ca in algoritmul diagnostic al limfoamelor gastrice, rolul si locul examinarii radiologice "standard", chiar in contextul progresului tehnologiei investigationale, ramane bine precizat, important prin volumul de date pe care il poate furniza. Lucrarea urmareste sa puna in evidenta eventuale corelatii intre fiecare dintre modificarile radiologice intalnite si datele histopatologice ale leziunilor de limfom malign cu localizare gastrica. Se studiaza coroborarea acestor date cu cele rezultate din celelalte explorari imagistice, in scopul optimizarii metodologiei investigationale.
1 . Material si metoda
Pentru studiul corelativ al metodologiei si rezultatelor investigationale imagistice cu datele clinice si rezultatele histopatologice am urmarit un numar de 217 de cazuri de limfoame internate in Clinica de Hematologie a Spitalului Clinic Coltea si Centrul de Diagnostic Hiperdia. Din acest lot au rezultat 38 de cazuri de limfom cu localizare gastrica primitiva si 7 cazuri de limfom cu debut ganglionar, dar in a caror evolutie au aparut determinari gastrice.
Toate datele referitoare la modificarile radiologice intalnite se refera la lotul de 38 de cazuri de limfom cu localizare gastrica primitiva. Cazurile au avut un traseu medical variabil, fiind diagnosticate fie in Clinica de Hematologie, fie in Clinica de Gastroenterologie sau direct in Clinica de Chirurgie, consecinta a interventiei chirurgicale. Ulterior, bolnavii au fost sub tratament si monitorizare doar in clinica de Hematologie.
Datele colectate din foile de observatie, rezultatele histopatologice si protocoalele operatorii au fost prelucrate pe calculator sub forma unor fise de caz. A fost analizat fiecare examen radiologic, examen computertomografic si ultrasonografic. Pentru aceasta s-a incercat uniformizarea informatiilor tinand cont ca unele examinari au fost efectuate in alte servicii, procedandu-se in cadrul lucrarii la analiza atat a radiografiilor cat si a protocoalelor de interpretare intalnite in foile de observatie.
S-au luat in discutie urmatorii parametri ai modificarilor radiologice si imagistice elementare :
- examen radiologic "standard" gastric :
- lacuna ( numar, localizare, dimensiuni, contururi);
- ulceratia (numar, localizare, dimensiuni, contururi);
- starea pliurilor ( normale, ingrosate, dezordonate, intrerupte);
- rigiditate ( segmentara / localizare, a intregului organ);
- infiltratie - autoplastica prezenta / absenta;
- modificari de tonus;
- modificari de peristaltica;
- examen computertomografic:
- perete ingrosat ( ingrosat difuz - > 6mm, ingrosat segmentar / localizare);
- prezenta ulceratiei ( numar, localizare, dimensiuni);
- existenta adenopatiilor ( subdiafragmatice, supradiafragmatice);
- existenta altor leziuni limfomatoase de organ ( ficat, splina, pancreas, rinichi, glande suprarenale );
- examen ultrasonografic:
- existenta altor determinari limfomatoase de organ (ficat, splina);
- existenta adenopatiilor subdiafragmatice;
- evidentierea unor ingrosari a peretelui gastric;
- evidentierea unor ulceratii.
Analiza foilor de observatie a evidentiat faptul ca in terminologia diagnosticului histopatologic s-a folosit atat clasificarea limfoamelor non-Hodgkiniene a lui Rappaport, cat si clasificarea lui Lukes si Collins si cea a lui Lannert. Ĩn incercarea de uniformizare si centralizare a datelor s-a recurs la clasificarea limfoamelor in limfoame cu grad redus de malignitate, cu grad mediu si grad inalt de malignitate. Aceasta a dus la o aliniere a ierarhizarilor "clasice" la urmatorul sistem de clasificare.
LIMFOAME CU GRAD REDUS DE MALIGNITATE
Clasificarea Lukes-Collins |
Clasificarea Rappaport |
|
A. Cu limfocite mici B. Folicular, predominent cu celule clivate C. Folicular mixt cu celule mari si celule mici clivate |
Limfocitar difuz cu celule bine Diferentiate Limfocitar nodular cu celule slab Diferentiate Nodular mixt limfocitar si histiocitar |
LIMFOAME CU GRAD MEDIU DE MALIGNITATE
Clasificarea Lukes si Collins |
Clasificarea Rappaport |
|
D. Folicular, predominent cu celule mari E. Difuz cu celule mici clivate F. Difuz cu celule mari si mici G. Difuz cu celule mari |
Nodular histiocitic Limfocitar difuz slab diferentiat Difuz limfocitar si histiocitar Difuz histiocitar |
LIMFOAME CU GRAD INALT DE MALIGNITATE
|
Clasificarea Lukes si Collins |
Clasificarea Rappaport |
|
H.Imunoblastic cu celule mari I.Limfoblastic J.Cu celule mici neclivate |
Histiocitic difuz Limfoblastic difuz Nediferentiat difuz |
S-a procedat la analiza fiecarei modificari radiologice elementare in raport cu tipul de limfom. Caracterele acestor modificari, predominanta uneia sau alteia dintre ele, au fost centralizate si prelucrate pe calculator. Au fost comparate si performantele de metoda intre examenul radiologic si endoscopic .
Din totalul de 38 de cazuri luate in studiu, la 30 s-a efectuat si examen computertomografic. Tinand cont de protocolul de examinare folosit la 18 dintre ele s-a putut efectua o comparatie intre informatiile despre stomac obtinute cu cele din examenul radiologic "standard".
Studiind protocolul de diagnostic reiesit din foile de observatie si comparandu-l cu rezutatele studiului nostru s-a tentat elaborarea unui algoritm de investigatie imagistica cat mai fiabil pentru diagnosticarea limfomului gastric.
2 . Date epidemiologice
In lotul studiat nu am intalnit nici un caz de boala Hodgkin cu localizare primara gastrica si 38 de cazuri de limfom non-Hodgkinian cu localizare primara gastrica. In literatura studiata procentajul mediu a fost de 11%. Astfel Harrison's Principles of Internal Medicine afirma ca aproximativ 7% din totalul limfoamelor (considerand ca limfoame doar LMnH) o reprezinta limfoamele gastrice, pe cand Versaci si colab. urca procentajul pana la 22%.
Lotul studiat cuprinde un numar de 14 de femei si 24 de barbati. Literatura de specialitate indica o usoara preponderenta a sexului masculin fata de cel feminin. Hoshida si colab., pe un lot de 53 de cazuri gaseste raportul barbati / femei de 27/26 cazuri, pe cand Taal si colab. la 119 cazuri raporteaza 71 de barbati si 48 de femei. Repartitia pe grupe de varsta a aratat ca frecventa cea mai mare de aparitie a limfoamelor gastrice se situeaza in decadele de varsta 41-50 de ani si 51-60 de ani, corespunzand cu datele reiesite din literatura. Aceeasi preponderenta a sexului masculin fata de cel feminin s-a pastrat si in analiza repartitiei cazurilor pe grupe de varsta fig. 29)
|
Grupe de varsta |
Numar total De cazuri |
Numar cazuri barbati |
Numar cazuri Femei |
|
21-30 ani |
2 |
2 |
0 |
|
31-40 ani |
5 |
4 |
1 |
|
41-50 ani |
12 |
7 |
5 |
|
51-60 ani |
10 |
6 |
4 |
|
61-70 ani |
7 |
4 |
3 |
|
> 70 ani |
2 |
1 |
1 |
Fig. 29

Fig. 30
Heitzman J. si colab., localizeaza frecventa cea mai mare a cazurilor de limfom gastric pe o perioada de varsta mai mare, intre 45 si 78 de ani.
In ceea ce priveste impartirea in subtipuri radiologice a limfomului gastric, s-a tinut cont de tipul de modificare radiologica in bilantul semiologic radiologic al fiecarui caz (tipul ulcerativ, tipul infiltrativ, tipul tumoral si tipul polipoid). In marea majoritate a cazurilor, in fiecare tip radiologic de limfom s-a intalnit in principal leziunea corespunzatoare Aceasta nu inseamna ca nu s-au intalnit ulceratii in cazurile preponderent polipoide sau tumorale, sau ca forma tumorala nu a exclus existenta pliurilor de mucoasa ingrosate, de tip polipoid.
De asemenea, aspectul polipoid al mucoasei gastrice s-a intalnit adeseori in formele difuz infiltrative, iar forma tumorala, cu lacuna, s-a intanit in contextul unei infiltratii segmentare sau totale a stomacului. Polimorfismul modificarilor radiologice elementare a facut dificila clasificarea cazurilor in functie de cele patru tipuri de standardizare. Departajarea fiecarui tip de modificare radiologica elementara, cu analiza caracteristicelor ei si in legatura cu tipul histologic de limfom va fi prezentata ulterior.
Raportand insa tipurile histologice de limfom la cele 4 "forme radiologice" situatia se prezinta astfel : Vezi fig. 31.
|
TIPUL HISTO DE LIMFOM |
Preponderent polipoid |
Preponderent ulcerativ |
Preponderent tumoral |
Preponderent infiltrativ |
|
Nodular mixt |
3 |
0 |
0 |
2 |
|
Limfocitar cu cel. Bine dif. |
3 |
1 |
1 |
1 |
|
Difuz cu celule mari |
1 |
1 |
1 |
1 |
|
Nodular histiocitic |
2 |
1 |
0 |
0 |
|
Limfocitar slab diferentiat |
0 |
2 |
0 |
1 |
|
Cu cel mici neclivate |
3 |
2 |
0 |
0 |
|
Slab diferentiat |
3 |
2 |
1 |
1 |
|
Limfoblastic |
2 |
3 |
0 |
0 |

Fig. 31
Fig. 32
Din tabel se observa ca forma predominant polipoida, care are ca modificare radiologica elementara pliurile ingrosate cu aspect pseudopolipoid este cea mai frecventa.
Forma predominent ulcerativa nu am intanit-o la nici unul din cazurile de limfom nodular mixt dar, dupa ce are o repartitie relativ constanta si redusa la limfoamele cu grad mediu de malignitate, creste brusc in cazul limfoamelor cu grad ridicat de malignitate. Kitamura K si colab., studiind un lot de 10 pacienti suferinzi de limfoame primitive gastrice cu grad inalt de malignitate raporteaza un numar de 5 subiecti care prezentau forme predominant ulcerative, 3 subiecti cu forma predominant polipoida si 2 cu forma predominant infiltrativa.
Forma tumorala cuprinde 3 cazuri din lotul de 38 de limfoame primitive gastrice studiate. Repartitia pe tipuri histologice a acestor cazuri este complet irelevanta.
Forma infiltrativa a insumat un numar de 6 cazuri din lotul studiat. Ea a fost intalnita la toate tipurile histologice de limfom primitiv gastric, cu exceptia limfomului nodular histiocitic, cu celule mici neclivate si limfoblastic. Sekine K. si colab., intr-un studiu comparativ echo-endoscopic, endoscopic si histopatologic concluzioneaza ca formele difuz infiltrative reunesc limfoamele cu grad redus de malignitate, unde infiltratia limfoida se face difuz, fie superficial, fie difuz mucos si submucos, spre deosebire de limfoamele cu grad inalt de malignitate unde infiltratia limfomatoasa se face insular, depasind rapid tunica mucoasa si submucoasa, dar determinand si ulceratii unice sau multiple. Bandoh si colab., intr-un screening pe 100 de cazuri de tumori cu localizare submucoasa gastrica de tip infiltrativ asimptomatice, gaseste un numar de 23 de limfoame cu grad redus de malignitate si doar 6 cazuri de limfoame cu grad inalt de malignitate, restul fiind alte tipuri de neoplazii sau tumori benigne.
3 . Localizarea limfomului gastric
Stobe si colab. citati de Law MM ( 104 ) localizeaza limfoamele gastrice, in majoritatea lor, la nivelul jumatatii distale a stomacului. Aceeasi localizare preferentiala se intalneste si in lucrarile lui Vallin J. care, intr-un studiu al localizarilor hemopatiilor maligne, nominalizeaza antrul ca localizare de electie a limfoamelor primitive gastrice.
Repartitia dupa localizare a celor 93 de cazuri de limfom primitiv gastric studiate in aceasta lucrare a fost urmatoarea :
- 6 cazuri au avut ca localizare regiunea fundica;
- 4 cazuri au cuprins regiunea fundica si s-au extins pana la unghiul gastric
-19 cazuri erau localizate la nivelul antrului;
- 9 cazuri afectasera intreg stomacul. Vezi fig. 33.

Fig. 33
Luand in discutie tipurile histologice de limfom si in functie de localizare, cazurile se distribuie astfel : ( fig. 34)
|
TIP LIMFOM |
REG FUNDICA |
PORTIUNE VERTICALA |
ANTRU |
INTREG STOMACUL |
TOTAL |
|
Nodular mixt |
2 |
0 |
2 |
4 |
|
|
Limfocitar cel bine dif |
1 |
1 |
0 |
2 |
4 |
|
Difuz cu cel mari |
0 |
0 |
2 |
2 |
4 |
|
Nodular histiocitic |
1 |
1 |
2 |
1 |
5 |
|
Limfocitar slab dif |
0 |
1 |
4 |
0 |
5 |
|
Difuz cu cel mici |
0 |
0 |
3 |
0 |
3 |
|
Slab diferentiat |
1 |
1 |
4 |
1 |
7 |
|
Limfoblastic |
1 |
0 |
4 |
1 |
6 |
Fig. 34

Fig. 35
Din punct de vedere procentual, repartitia, in functie de localizarea cazurilor de limfom studiate, arata ca 49 % din total sunt limfoame cu localizare antrala, in 24 % din cazuri limfomul a afectat intreaga suprafata gastrica, 16 % din cazuri sunt localizate in regiunea fornixului, iar restul de 11 % afecteaza intreaga portiune verticala a stomacului.
In statistica noastra am considerat ca leziunile multiple, care nu au o localizare preferentiala pe o anumita regiune, trecand intr-un sens sau altul de unghiul gastric, afecteaza de fapt tot stomacul. Astfel s-a ajuns la procentajul de 24 % din cazuri (9 cazuri).
Localizarea antrala, reprezentand 49 % din cazuri (19 cazuri) are o repartitie preponderenta la cazurile cu grad ridicat de malignitate (11 cazuri), apoi la cele cu grad mediu de malignitate (8 cazuri) si se intalnesc in numar foarte mic la limfoamele cu grad redus de malignitate sau deloc (0 cazuri). In literatura de specialitate studiata nu am intanit referiri care sa ofere o motivatie asupra localizarii preferentiale a limfoamelor cu grad inalt de malignitate la nivelul antrului. Nu exista nici o diferenta anatomica de structura a retelei limfatice a mucoasei antrale de restul corpului gastric. Singura diferenta anatomica tine de tipul, caracterul si densitatea sistemului glandular in functie de localizare. Reteaua musculara si submucoasa a stomacului comunica direct cu cea a esofagului, ceea ce explica extinderea tuturor neoplaziilor la esofag si chiar la ganglionii mediastinali, iar existenta numeroaselor anastomoze intre retelele limfatice ale peretelui gastric fac posibila propagarea neoplaziilor dintr-un punct de plecare a stomacului in tot organul.
4 . Modificari radiologice elementare
Polimorfismul modificarilor radiologice elementare intalnite in limfoame a facut dificila incadrarea cazurilor in cele 4 tipuri "radiologice" de limfoame gastrice. Din aceasta cauza am considerat necesar sa procedam la o analiza a fiecarei modificari radiologice elementare in parte. Studiul fiecarui tip de modificare radiologica se va face atat individual cat si in contextul tipurilor histolopatologice de limfom.
4 . 1 . LACUNELE
Lacuna este modificarea radiologica elementara care traduce existenta unui proces inlocuitor de spatiu dezvoltat in lumenul gastric de pe peretii stomacului. Din punct de vedere radiologic o lacuna inseamna o lipsa de opacifiere a unei portiuni din aria de proiectie a organului.
Unei lacune i se descriu numarul, forma, dimensiunile, localizarea, contururile si structura. Pentru a incerca o standardizare a interpretarii imaginii radiografice necesara studiului si pentru o diferentiere fata de lipsurile de umplere datorate hipertrofiei de tip polipoid a pliurilor, in analiza s-a considerat ca lacuna, un defect de umplere cu diametrul minim de 2cm.
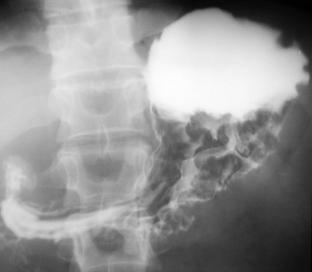
Fig. 36 - imagine lacunara cu caractere maligne localizata la nivelul antrului
Din totalul celor 38 de cazuri studiate, 16 au prezentat imagini lacunare realizand un procent de 42,10 % . Repartitia acestor cazuri in functie de tipurile histologice de limfom este prezentata in tabelul urmator fig. 37).
|
TIP DE LIMFOM |
TOTAL NUMAR CAZURI |
NR. CAZURI CU LACUNA |
Nodular mixt | ||
Limfocitar cu celule bineDiferentiate | ||
Difuz cu celule mari |
4 | |
Nodular histiocitic |
5 | |
Limfocitar slab diferentiat |
5 | |
Difuz cu celule mici |
3 | |
Slab diferentiat |
7 | |
Limfoblastic |
6 | |
TOTAL |
38 |
16 |
Fig. 37

Fig. 38
Structurat pe gradul de malignitate, se observa ca cele mai multe cazuri de lacune (8), se intalnesc in cazul limfoamelor cu grad inalt de malignitate, iar cele mai putine (3 cazuri), in cazul limfoamelor cu grad redus de malignitate.
Dintre formele histologice, cele mai multe cazuri la care s-au evidentiat lacune au fost la limfoamele limfoblastice (4 subiecti) si limfomul histiocitic (3 cazuri). Studiind radiografiile cazurilor s-a remarcat faptul ca lacunele sunt fie unice, fie multiple. Din totalul de 16 de cazuri 4 au prezentat forme lacunare unice iar restul pana la 12 au fost lacune multiple. Numarul lor a fost variabil, ceea ce ne-a determinat sa le subclasificam in doua grupe numarandu-le pe cele pana in 5 intr-o si o alta grupa cu peste 5. Repartizate pe tipuri histologice cazurile de limfoame prezentand lacune s-au distribuit astfel: (fig. 39)
TIPUL DELIMFOM |
LACUNA UNICA |
NUMAR LACUNE |
||||
|
2 |
3 |
4 |
5 |
> |
||
|
Nodular mixt |
0 |
0 |
0 |
0 |
0 |
0 |
|
Limfocitar cu celule bine diferentiate |
1 |
1 |
0 |
0 |
0 |
|
|
Difuz cu celule mari |
1 |
0 |
0 |
0 |
1 |
0 |
|
Nodular histiocitic |
0 |
0 |
0 |
0 |
2 |
1 |
|
Limfocitar slab Diferentiat |
0 |
0 |
1 |
0 |
0 |
0 |
|
Difuz cu celule mici |
0 |
1 |
0 |
0 |
0 |
1 |
|
Slab diferentiat |
0 |
0 |
0 |
0 |
0 |
0 |
|
Limfoblastic |
1 |
1 |
1 |
1 |
0 |
0 |
|
TOTAL |
4 |
3 |
3 |
1 |
3 |
2 |
Fig. 39
Analizand repartitia cazurilor pe tipuri histologice observam predominenta lacunelor multiple in cazul limfoamelor cu grad inalt de malignitate si a celor cu grad mediu de malignitate. Astfel, din totalul de 16 cazuri, 10 subiecti au avut 2 sau mai multe lacune, dar nici unul peste 5. In lotul de limfoame cu grad mediu de malignitate, insumand 6 cazuri, 5 subiecti au prezentat lacune multiple. Unul dintre ei, de tip histiocitic, a prezentat mai mult de 5 lacune, majoritatea in portiunea antrala dar extinzandu-se spre portiunea verticala. Lotul de limfoame cu grad inalt de malignitate a concentrat 5 cazuri de lacune multiple. Localizarea lacunelor a fost diferita. Preponderenta a fost localizarea la nivelul antrului, urmata de cea la nivelul fornixului, de extinderea la portiunea verticala si de extinderea la intregul stomac. Am efectuat analiza localizarii lacunelor atat nominal pe fiecare caz cat si comparativ cu rezultatele obtinute privind diversele localizari ale limfoamelor pe tipuri de prepoderenta lezionala. Rezultatele analizei localizarii lacunelor este prezentata in tabelul urmator: (fig. 40)
|
TIP LIMFOM |
REG FUNDICA |
PORTIUNE VERTICALA |
ANTRU |
INTREGSTOMAC |
TOTAL |
|
Nodular mixt |
1 |
0 |
2 |
||
|
Limfocitar cu cel bine diferentiate |
1 |
0 |
3 |
||
|
Difuz cu cel mari |
1 |
0 |
2 |
||
|
Nodular histiocitic |
2 |
1 |
3 |
||
|
Limfocitar slab diferentiat |
1 |
0 |
1 |
||
|
Difuz cu celule mici |
1 |
0 |
1 |
||
|
Slab diferentiat |
1 |
1 |
2 |
||
|
Limfoblastic |
2 |
0 |
2 |
Fig.

Fig. 41
Analizand tabelul observam ca 10 din cazurile de limfom gastric primitiv care prezentau lacune le aveau localizate la nivelul antrului.
Fig. 42 - multiple imagini lacunare cu caractere maligne - limfom gastric cu grad inalt de malignitate
4 . 2 . ULCERATIILE
Nisele sunt plusuri de umplere care traduc existenta unei solutii de continuitate (ulceratiile), de suprafete si profunzimi variabile la nivelul peretelui tubului digestiv sau al unei mase tumorale, comunicand cu lumenul organului cavitar. Nisa maligna este o imagine aditionala care este "incastrata" in conturul lumenului, adica nu proemina. Suprafata este intotdeauna mai mare decat profunzimea, iar in incidenta ortograda este situata in interiorul unei lacune de dimensiuni variabile.
Regiunea nu isi modifica conturul la modificarea pozitiei, dar determina modificarea formei stomacului, datorita asocierii cu retractia portiunii afectate. De asemenea unei ulceratii i se descriu numarul, forma, dimensiunile, localizarea, contururile si structura. In cazul nostru caracterele ulceratiilor au fost reprezentate de multiplicitate si de faptul ca marginile lor nu au fost evidentiabile, avand corespondent radiologic conturul sters, imprecis delimitat sau neregulat.
Din totalul celor 38 de cazuri studiate, 14 au prezentat imagini lacunare realizand un procent de 36,84 % . Repartitia acestor cazuri in functie de tipurile histologice de limfom este prezentata in tabelul urmator.(fig. 43)
|
TIP DE LIMFOM |
TOTAL NUMAR CAZURI |
NR. CAZURI CU ULCERATII |
Nodular mixt | ||
Limfocitar cu celule bineDiferentiate | ||
Difuz cu celule mari |
4 | |
Nodular histiocitic |
5 | |
Limfocitar slab diferentiat |
5 | |
Difuz cu celule mici |
3 | |
Slab diferentiat |
7 | |
Limfoblastic |
6 | |
TOTAL |
38 |
14 |
Fig.

Fig. 44
Astfel se observa frecventa crescuta in cadrul limfoamelor cu grad mediu si crescut de malignitate. Din totalul de 14 cazuri de ulceratii 5 cazuri au fost de limfoame cu grad mediu de malignitate si 8 cazuri au fost de limfoame cu grad inalt de malignitate, fata de doar 1 caz de limfom cu grad scazut de malignitate. Analiza datelor ne permite sa afirmam ca frecventa ulceratiilor creste direct proportional cu cresterea agresivitatii tipului de limfom.

Fig. 45 - imagine aditionala cu aspect de nisa, localizata in interiorul unei lacune cu caractere maligne la nivelul antrului piloric
|
TIP DE LIMFOM |
TOTAL NUMAR CAZURI ULCERATII |
NR. CAZURI CU ULCERATII MULTIPLE |
Nodular mixt | ||
Limfocitar cu celule bineDiferentiate | ||
Difuz cu celule mari |
2 | |
Nodular histiocitic |
2 | |
Limfocitar slab diferentiat | ||
Difuz cu celule mici |
2 | |
Slab diferentiat | ||
Limfoblastic | ||
TOTAL |
11 |
Fig. 46

Fig. 47
Se observa frecventa crescuta a ulceratiilor multiple in 11 cazuri din totalul de 14. De asemenea Low si colaboratorii (1996) afirma ca in urma studiului unui lot de 107 cazuri studiate gaseste 14 % cazuri cu ulceratie unica si 29,5 % cazuri cu ulceratie multipla. Boschi completeaza ca in cadrul limfoamelor cu grad redus de malignitate, aspectul radiologic al ulcerului poate mima un ulcer gastric benign (Boschi si colab.1995).
Cele 3 cazuri de ulceratie unica apartin limfomului limfocitar slab diferentiat, limfomului slab diferentiat si limfomului limfoblastic.
In ceea ce priveste localizarea lor, din grafic se observa repartitia preponderenta a ulceratiilor la nivelul antrului gastric. Din totalul de 14 de cazuri de limfoame gastrice primitive care au prezentat ulceratii, 7 aveau localizare antrala. Procentajul realizat de fiecare localizare este redat in graficul de mai jos: (fig. 48)

Fig. 48
Se observa ca jumatate din ulceratii au localizare antrala, urmate fiind de cele cu localizare in portiunea verticala si apoi de cele care afecteaza regiunea fundica. Aceasta se explica si prin localizarea preferentiala antrala a lacunelor, care realizeaza si ele un procentaj de 49 %. O alta explicatie ar putea fi insasi structura mucoasei la nivelul antrului, cu un aparat glandular diferit.
Ulceratiile pe intreaga suprafata a stomacului au fost intalnite doar la 1 caz de limfom cu grad ridicat de malignitate. Toate cazurile au prezentat in afara de ulceratii, formatiuni multiple lacunare, de diferite dimensiuni, cu contururi intrerupte, sterse, stomacul in ansamblu neprezentand modificari majore de dimensiuni.
Conturul ulceratiilor este de obicei neregulat. In cazul ulceratiilor superficiale, de mica profunzime, detectarea lor poate fi dificila, datorita cantitatii de substanta de contrast ingerate, care le poate acoperi. Acesta este motivul pentru care am accentuat importanta examinarii "in dublu contrast" si obligatoriu in decubit, cu o cantitate mica de substanta de contrast, ceea ce permite difuzia acesteia pe mucoasa gastrica. In cazul ulceratiilor unice, avand in vedere ca marea lor majoritate se aflau intr-o lacuna, conturul lor a fost intotdeauna neregulat.
Dimensiunile ulceratiilor au fost variabile, de la marimi infracentimetrice pana la dimensiuni mari, de ordinul a 1-3cm. In ceea ce priveste profunzimea ulceratiei, examenul radiologic gastro-duodenal nu poate aduce multe informatii dimensionale, tinand cont si de faptul ca nisa din limfoame are caracterul nisei maligne, care nu iese de obicei din conturul gastric. Este de asemenea important de mentionat ca, in cazul ulceratiilor profunde, pe fundul acestora se afla de obicei depuneri de detritus necrotic.
In concluzie, ulceratia constituie un semn radiografic "de atentie" in cazul limfoamelor maligne. El trebuie insa coroborat cu celelalte modificari radiologice elementare, avand in vedere variabilitatea caracterelor sale. Posibilitatea existentei unei nise cu caractere radiologice benigne, in conditiile unui stomac fara alte modificari radiologice nu exclude "a priori" diagnosticul de limfom primitiv gastric.

Fig. 49 - nisa in interiorul unei lacune cu caractere maligne la nivelul antrului - imaginea aditionala nu depaseste conturul gastric

Fig. 50 - ulceratii multiple la nivelul stomacului
4 . 3 . MODIFICARI ALE ASPECTULUI PLIURILOR
Din analiza modificarilor radiologice elementare de pana acum se constata ca atat lacuna, cat si ulceratia pot fi semne radiologice ale unei neoplazii , dar in acelasi timp nu pot fi considerate ca semne patognomonice ale limfomului gastric.
Bockus considera ca aspectul radiologic asociat limfomului este caracterizat de defecte de umplere datorate mucoasei cu pliuri largi, inextensibile, cu sau fara ulceratii.
De obicei mucoasa nu este invadata, iar pliurile sunt modificate datorita edemului cauzat de permeabilitatea limfatica crescuta si de infiltratia limfomatoasa. In literatura se insista asupra conservarii orientarii anatomice a acestor pliuri hipertrofiate gigant, cu aspect de rugozitati tortuoase, ce delimiteaza santuri adanci si confera un aspect ingrosat, difuz al mucoasei gastrice.
Lotul de 38 de cazuri de limfom gastric, luat in studiu in prezenta lucrare, a fost analizat din punct de vedere a starii pliurilor luand in considerare urmatoarele posibilitati :
- modificari a dispozitiei pliurilor in raport cu aspectul lor normal, tinand cont de regiunea gastrica studiata (regiune fundica, portiune verticala, antru);
- modificari dimensionale ale pliului. Aceasta observatie contine de la inceput o doza de eroare tinand de tehnica de examinare, care din pacate nu a fost unitara. Din aceasta cauza masurarea nu s-a efectuat in unitati de masura ale sistemului metric, ci comparativ cu radiografii normale;
- aparitia intreruperilor de pliuri, stergerea contururilor lor;
- modificari ale autoplasticii de mucoasa.
Dimensiunea pliului depinde de regiunea topografica a stomacului. Astfel, la nivelul antrului, dimensiunea medie a pliurilor este de 5mm. La nivelul micii curburi, dimensiunile pliurilor normale pot atinge chiar 8mm.
Am studiat modificarile de pliuri in raport cu tipul histologic de limfom, impartind lotul dupa gradul de malignitate. Din totalul de 38 de cazuri studiate am decelat modificari ale pliurilor gastrice la 33 dintre cazuri, ceea ce exprimat procentual reprezinta 86,84% din cazuri.
Din lot nu au fost excluse cazurile cu lacune mari unice, pseudotumorale, dar lacuna mare, afectand cel putin 1/3 dintr-o regiune gastrica nu a fost selectata ca modificare de pliu. In aceste cazuri au fost analizate restul regiunilor gastrice.
Repartitia celor 33 de cazuri cu modificari de pliuri, in raport cu tipurile histologice de limfom, este prezentata in tabelul urmator : Vezi fig. 51
|
TIPURI DE LIMFOM |
TOTAL CAZURI |
NR CAZURI CU MODIF PLIURI |
|
Nodular mixt |
3 |
|
|
Limfocitar cu celule Bine diferentiate | ||
|
Difuz cu celule mari | ||
|
Histiocitic | ||
|
Limfocitar slab Diferentiat | ||
|
Difuz cu celule mici | ||
|
Slab diferentiat | ||
|
Limfoblastic | ||
|
TOTAL |
Fig. 51

Fig. 52
Dupa cum se observa din tabel, toate tipurile de limfom prezinta modificari ale pliurilor de mucoasa. S-a incercat sistematizarea modificarilor de aspect ale pliurilor de mucoasa in functie de tipul histologic de limfom si de localizarea topografica a ariei lezate: (fig. 53)
|
TIP DE LIMFOM |
NR CAZURI |
NR. CAZURI MODIFICARI DE PLIURI |
|||
|
REG. FUNDICA |
PORT. VERTICALA |
A N T R U |
INTREGSTOMAC |
||
|
Nodular mixt |
0 |
||||
Limfocitar cucel bine dif. |
0 |
||||
Difuz cu celmari | |||||
Histiocitic | |||||
Limfocitarslab diferentiat | |||||
Difuz cu celmici | |||||
|
Slab dif. | |||||
Limfoblastic | |||||
|
Total |
4 | ||||
Fig. 53

Fig. 54
![]() |
Fig. 55 - modificari de pliuri
O repartitie aparent uniforma s-a constatat si la celelalte localizari, insa in valori absolute mult mai mici. Numarul de cazuri care afecteaza intreg stomacul este de 5. Asocierea lacunelor cu ulceratia orienteaza diagnosticul tot spre o neoplazie, ceea ce impune continuarea investigatiilor si deci, duce pana in final la diagnosticul real.
Aparitia insa a unor pliuri groase, cu autoplastica pastrata, mai ales in conditiile unei examinari " de rutina " poate induce interpretari eronate . Este posibil un traseu diagnostic prelungit, datorita faptului ca descrierea radiologica si apoi interpretarea clinica a ei a condus spre diverse diagnostice de " gastrita " la unii bolnavi, intarzaindu-se si cate 2-3 luni pana la stabilirea diagnosticului final.
Se considera ca descoperirea oricaror modificari a pliurilor gastrice impune ca cel care examineaza bolnavul sa ia in consideratie si un posibil diagnostic de limfom gastric primitiv.
Cea mai mica suspiciune diagnostica impune efectuarea unui examen endoscopic completat cu biopsii multiple, care poate confirma sau exclude diagnosticul de limfom cu localizare gastrica.

De asemenea trebuie acordata o atentie deosebita
conditiilor de examinare. Nu trebuie uitat ca modificarile de
pliuri nu pot fi puse in evidenta decat in conditiile unui
examen radiologic corect executat, in care examinarea "in dublu contrast " sa se faca
inca de la primele inghitituri de substanta de contrast. In
concluzie modificarile de dimensiuni si forma a pliurilor constituie
un semn radiologic de mare importanta in elaborarea diagnosticului
radiologic prezumptiv de limfom gastric. Coexistenta lacunei, a
ulceratiei, sau a amandoura creste probabilitatea de diagnostic.
Fig. 56 - hipertrofia pliurilor de mucoasa
4 . 4 . ALTE MODIFICARI RADIOLOGICE
Rigiditatea si modificarile de autoplastica reprezinta in studiul limfoamelor gastrice, un rol important pentru elaborarea diagnosticului. Rigiditatea constituie modificarea radiologica care anunta de fapt extensia leziunii spre celelalte straturi ale peretelui gastric.
Ca expresie a leziunii submucoase, rigiditatea se datoreaza infiltratiei nodulare limfoide sau cordoanelor fibroase care pot apare, consecinta a acestei infiltratii. De asemenea in formele cu ulceratii, rigiditatea poate fi consecinta inelului fibros constituit la nivelul submucoasei, la periferia ulceratiei. Rigiditatea poate fi segmentara sau sa afecteze intregul stomac.
Rigiditatea segmentara este limitata de extinderea infiltratiei. Pe radiografii are aspectul clasic de " scandura pe valuri ", in raport cu peristaltism sau cu pozitionarile folosite in cursul examinarii (decubite). Este vizibila cel mai frecvent pe mica curbura gastrica, avand diverse localizari si dimensiuni. Din totalul celor 38 de cazuri de limfom malign primitiv gastric am intalnit doar rigiditati segmentare si numai la 6 cazuri, realizand un procent de 16,13%. La aceste 6 cazuri am analizat dimensiunile si localizarile rigiditatii in functie de tipul histologic de limfom. Repartitia acestor cazuri prezentand rigiditati segmentare pe tipuri histologice de limfoame este redata in tabelul de mai jos : ( fig. 57 )
|
TIPUL DE LIMFOM |
TOTAL CAZURI |
NR CAZURI RIGIDITATI |
|
Nodular mixt |
4 | |
|
Limfocitar cu celule Bine diferentiate |
3 |
|
|
Difuz cu celule mari |
4 |
0 |
|
Histiocitic |
5 |
1 |
|
Limfocitar slab Diferentiat |
5 |
0 |
|
Difuz cu celule mici |
3 |
0 |
|
Slab diferentiat |
7 |
0 |
|
Limfoblastic |
6 |
0 |
|
TOTAL |
38 |
6 |
Fig. 57

Fig. 58
Din analiza tabelului rezulta ca cele mai multe cazuri care au prezentat rigiditati segmentare s-au intalnit la limfoamele cu grad redus de malignitate, respectiv la limfomul nodular mixt (2 cazuri) si la limfomul limfocitar cu celule bine diferentiate (3 cazuri). In cazul limfomului histiocitic am decelat rigiditate segmentara la 1 caz. Este de remarcat ca rigiditatea se afla localizata pe mica curbura verticala spre unghiul gastric, unde se punea in evidenta si o ulceratie.
Analiza autoplasticii de mucoasa este conditionata de examenul fluoroscopic si de o calitate foarte buna a substantei de contrast folosite. Deteriorarea autoplasticii este consecinta alterarii muscularei mucoasei. Aceasta inseamna de fapt invazia mucoasei de catre infiltratul limfoid. Din totalul de 38 de cazuri studiate am constatat modificari de tonus minore, in sensul unui grad de dilatatie gastrica asociata sau nu cu staza la doar 2 cazuri.
Peristaltica gastrica este un alt indicator care se studiaza in timpul examenului fluoroscopic . In studiul neoplaziilor este considerat un factor important. In cazul limfoamelor, perisataltica gastrica este, ca si tonusul, afectata tardiv in stadii mai avansate ale leziunilor. Instalarea rigiditatilor segmentare determina si aparitia modificarilor de peristaltica. Dezvoltarea unor mase inlocuitoare de spatiu care afecteaza evacuarea gastrica conduce si ea la aparitia tulburarilor de peristaltica. Am constatat modificari de peristaltica la 4 bolnavi. Toti sufereau de limfoame cu grad ridicat de malignitate. Din totalul de 4 bolnavi, 2 sufereau de limfom limfoblastic, 1 de limfom slab diferentiat si 1 de limfom difuz cu celule mici.
Analiza modificarilor radiologice elementare evidentiate de examenul radiologic gastro-duodenal a relevat persistenta importantei rolului sau in algoritmul investigational al limfoamelor maligne. El poate aduce informatii care orienteaza spre diagnostic sau prin datele pe care le ofera impune largirea campului investigational imagistic.
Fig. 59 - infiltratia antrului: rigiditate, dezorganizare pliuri de mucoasa

Fig. 60 - infiltrarea completa a antrului
4 . 5 . ALTE DETERMINARI DE BOALA
Limfomul malign non-Hodgkinian evolueaza fara tratament ca o neoplazie, amintind de evolutia carcinoamelor. Abdominal el poate determina adenopatii sau metastazeaza in alte organe pe cale limfatica.
Extensia de vecinatate se poate face in ficat, splina, pancreas, colon transvers, diafragm, mezouri, etc. Interesarea ganglionara la distanta si metastazele sanguine apar in stadiile avansate. Metastazele ganglionare, initial perigastrice, peritumorale, sunt dirijate spre celelalte statii, in functie de localizarea tumorii, dar predominent spre grupul celiac si mezenteric, conform drenajului anatomic si predilectiei de circulatie a elementelor celulare limfoide.
Detectarea atat a adenopatiilor, a extensiei perigastrice tumorale, cat si a determinarilor secundare in alte organe constituie cerinte de baza a examenului computertomografic. Din totalul de 38 de cazuri examinate la 17 cazuri au fost evidentiate adenopatii, iar la 2 cazuri determinari secundare: un caz a avut determinari mezenterice, iar altul determinare hepatica.
Este cunoscut caracterul polimorf al leziunilor. Ele pot fi difuze, mari, unice, sau multifocale de dimensiuni variabile, bine conturate, hipodense, aspect ce se intalneste in mai multe tipuri de metastaze, sau chiar in tumori benigne. In aceasta situatie biopsia cu ac fin poate elucida diagnosticul.
Din cele 17 cazuri cu adenopatii 3 cazuri erau de limfom histiocitic, iar alte 7 cazuri erau limfoame limfoblastice. Este cunoscut ca limfomul histiocitic are o rapiditate mare de diseminare ganglionara. Nu trebuie uitata si varianta asocierii limfomului cu alte neoplazii. In concluzie consideram explorarea computertomografica de o deosebita importanta in bilantul diagnostic, dar mai ales de stadializare, al limfomului gastric.
Din lotul de 38 de bolnavi studiat in aceasta lucrare, 34 de bolnavi au efectuat in perioada diagnostica examen ultrasonografic. Din totalul de 34 de bolnavi explorati ultrasonografic, la 5 bolnavi au existat referiri asupra stomacului, reprezentand un procentaj de 13.15%. Aceste referiri atrageau atentia asupra unor posibile dilatarii de segment gastric, prezenta lichidului de staza si in 2 cazuri posibila ingrosare a peretelui gastric.
|
Politica de confidentialitate |
| Copyright ©
2025 - Toate drepturile rezervate. Toate documentele au caracter informativ cu scop educational. |
Personaje din literatura |
| Baltagul – caracterizarea personajelor |
| Caracterizare Alexandru Lapusneanul |
| Caracterizarea lui Gavilescu |
| Caracterizarea personajelor negative din basmul |
Tehnica si mecanica |
| Cuplaje - definitii. notatii. exemple. repere istorice. |
| Actionare macara |
| Reprezentarea si cotarea filetelor |
Geografie |
| Turismul pe terra |
| Vulcanii Și mediul |
| Padurile pe terra si industrializarea lemnului |
| Termeni si conditii |
| Contact |
| Creeaza si tu |