EXPLORAREA IMAGISTICA A VASELOR RENALE
Arteriografia renala
Arteriografia vizeaza evidentierea arterelor renale incepand de la emergenta lor din aorta abdominala, pana la ramificatiile periferice si intoarcerea venoasa.
1.Tehnica
Se urmareste cateterizarea arterei femurale in triunghiul Scarpa, plasarea cateterului in aorta abdominala. De aici in functie de intentie, se poate face arteriografie globala si/sau arteriografie selectiva renala. Ocazional pot fi folosite abordurile translombar, axilar sau brahial.
Extremitatea cateterului trebuie sa fie in general deasupra arterelor renale, in dreptul vertebrei T12. Daca aorta este sinuoasa, cateterul se va fixa mai sus cu 1-2 vertebre.
Pacientul va fi prevenit asupra senzatiei de caldura tranzitorie pe care o va resimti la injectarea substantei de contrast.
Cantitatea de substanta pentru arteriografia globala este de 60 ml, cu debit 18-20 ml/sec. Injectia dureaza 3 secunde, timp in care se efectueaza 3-4 radiografii pe secunda, apoi expunerile se fac tot la 2 secunde timp de 20 secunde, pentru explorarea timpului nefrografic si a returului venos. Pentru angiografia selectiva, cantitatea de substanta de contrast este mai mica, 12-14 ml, cu debit de 3-4 ml/sec (cand exista o tumora renala cantitatea va fi mai mare).

Arteriografie renala
2.Incidente
In afara de cele generate de substantele ionice, sunt posibile:
accidente ischemice cand substanta ajunge pe un ram colateral in cantitate mare;
formarea de mici cheaguri in jurul cateterului;
mobilizarea unei placi de aterom;
injectarea accidentala intraparietala arteriala;
hematoame;
disectii parietale vasculare.
3.Contraindicatii
Exista numai contraindicatii relative (cele absolute sunt exceptionale):
intoleranta la iod;
insuficienta renala;
starea precara a arterelor renale;
varsta inaintata;
inutilitatea practica finala a examinarii.
4.Interpretarea arteriografiei renale
Succesiunea timpilor de radiografie este urmatoarea:
timpul arterial - vizualizeaza ramurile intraparenchimatoase;
timpul nefrografic - la 1-2 secunde dupa opacifierea trunchiului arterei renale, se opacifiaza portiunea renala functionala (maximum de opacifiere este la 4-5 secunde). Se disting doua faze: nefrografia corticala, sub forma unei bande corticale si a coloanelor Bertin (care sunt bine vascularizate), apoi rinichiul devine omogen;
timpul venos - la 8-9 secunde de la opacifierea trunchiului arterei renale.
Aspectul normal se refera la elementele de anatomie a vascularizatiei rinichilor, descrise in partea generala.
Posibilitati de eroare:
un contur imprecis renal nu reprezinta intotdeauna un defect parenchimatos, imaginea datorandu-se opacifierii mai dificile a arterelor capsulare;
daca injectarea a fost excesiv de rapida, nefrograma in periferie este neomogena;
daca o mica zona este neopacifiata, este posibil ca ea sa fie irigata de un ram ce se desprinde direct din aorta (aceste false aspecte sunt elucidate de arteriografia globala).
Aspecte patologice:
anomalii ale arterelor renale: ingustari, dilatari (anevrisme sau tumori hipervascularizate), disectia unui vas (exista doua opacitati cu traiect paralel, care se unesc ulterior), accident embolic recent (apare ca o dilatare inaintea unui stop vascular cu aspect cupuliform);
modificarile de calibru ale arterelor intraparenchimatoase, care se refera in special la vasele de neoformatie specifice tumorilor;
rinichi ischemic: saracie vasculara in tumori inflamatorii sau in TBC, zone avasculare cu aspect triunghiular cu varful medial in infarct renal, alte zone avsculare in traumatisme, pielonefrita cronica, compresii extrinseci pe artera renala, cancer renal necrozat etc;
Opacifierea precoce a venelor (in mai putin de 5 secunde): comunicari arteriovenoase (congenitale sau dobandite prin traumatisme, postoperator sau dupa biopsii), neoplasm renal, fenomen Trueta.

Arteriografie renala - cancer renal
Angiografia computerizata tridimensionala
CT-multidetector este o investigatie imagistica utila care inlocuieste in ultimul timp angiografia conventionala in evaluarea anatomiei vasculare si in diagnosticarea afectiunilor vasculare renale. Dezvoltarea recenta in domeniul hardware permite scannerului sa asigure achizitia datelor la o rezolutie inalta intr-un timp semnificativ redus. Imbunatatirea softului pentru reconstructii 3D, permite manipularea cu usurinta a imaginilor chiar si pe PC.
Tehnica:
Consta in achizitia imaginilor, procesarea acestora si obtinerea unei imagini finale pe ecran. In ceea ce priveste achizitia imaginilor se foloseste de obicei urmatorul protocol:
se injecteaza 100 cm3 de substanta de contrast iodinata, cu 2,5ml/sec, folosind un injectomat. Imaginile obtinute au o grosime de 1,25 mm. Scanarea se face de la nivel T12 sau L1 pana la nivelul simfizei pubiene.
dupa faza arteriala, urmeaza o faza venoasa folosind aceiasi parametri de achizitie a imaginii (administrarea a inca 60 cm3 de substanta de contrast).
se realizeaza o noua achizitie la 12/15 min dupa injectarea substantei de contrast, cu dimensiunea sectiunii de 5mm grosime, pentru a vizualiza sistemul pielocaliceal, ureterul si vezica urinara. Nu se folosesc de obicei substante de contrast cu administrare orala.
imaginile achizitionate sunt reconstruite axial cu suprapunerea sectiunilor si procesarea imaginilor.
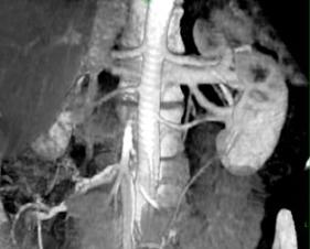
AngioCT tridimensionala (CTA 3D) asigura o modalitate rapida si noninvaziva de evaluare a elementelor vasculare din pediculul renal. Aceasta poate evidentia cu acuratete arterele si venele renale si se apropie de angiografia conventionala in depistarea majoritatii afectiunilor vasculare. Numarul, dimensiunea, traiectul si raporturile vaselor renale sunt usor de apreciat folosind aceasta editare interactiva a imaginilor in timp real.
A.
B.
Artere renale normale la un pacient de 44 de ani. A. imagine angioscopica sagitala care asigura o vedere dinauntru a aortei si evidentiaza clar ostiul renal (sageata) B. Imagine anterioara in care se observa ramificarea prepolara a arterei renale stangi (sageata).
Pentru evaluarea hilului renal, sunt folosite sectiuni sagitale, axiale, coronale. Imaginile in perspectiva permit utilizatorului sa vada in interiorul vasului, producand imagini angioscopice care sunt foarte utile in diagnosticarea stenozelor vasculare.
Artere renale la o pacienta de 39 de ani care sufera de hipertensiune arteriala de mai multi ani. Imaginea axiala obtinuta in vederea diagnosticarii unei eventuale stenoze renale arata arterele renale normale, nestenozate (sageata).
Angiografia computerizata tridimensionala poate determina cu mare rapiditate si precizie localizarea si traiectul vaselor renale. Vederea angioscopica asigura in plus informatii despre anatomia vasculara a rinichiului.
Clasic, ramurile arteriale sunt identificate cel putin pana la nivel segmentar. Limitarea vizualizarii acestora apare la vase cu dimensiuni mai mici de 2 mm. Sensibilitatea pentru evidentierea si localizarea arterelor renale principale este de aproape 100%. Descoperirile chirurgicale si cele computertomografice se suprapun in 95% din cazuri. Anatomia venoasa a rinichiului este de asemenea bine evidentiata prin aceasta metoda, fiind in mod deosebit de utila pentru pacientii care vor suferi o nefrectomie laparoscopica in scopul donarii de organ. In special anatomia rinichiului stang este foarte importanta, aceasta parte fiind preferata pentru donare. Tributarele venei renale, in special venele lombare posterioare, sunt evidentiate cu precizie si este de o mare importanta chirurgicala diagnosticarea unor dilatatii la nivelul lor.
De asemenea detectarea ramificarii prehilare a arterei renale, o varianta destul de comuna in populatia generala, este si ea importanta si necesara in evaluarea donatorilor de organ.
Cea mai comuna anomalie a sistemului venos stang este vena renala circumaortica, observata la aproximativ 15% din pacienti. Vena renala stanga se bifurca intr-un brat ventral si unul dorsal, care inconjoara aorta abdominala. Mai putin frecventa este vena renala stanga retroaortica, intalnita in proportie de 4%. In acest caz, vena renala stanga se varsa in portiunea lombara inferioara a venei cave inferioare. Pot fi observate si vene renale accesorii (pana la 15% din pacienti).

Imagine 3D anterioara la un pacient donator arata prezenta unei artere renale unice (sageata) si a doua vene renale drepte (varfuri de sageti).
AngioCT este foarte potrivita si pentru evaluarea rinichiului post-transplant. O complicatie relativ frecventa dupa transplant este stenoza de artera renala, raportata la 3-15% din pacienti, in primii 3 ani post-transplant. Ea poate sa evidentieze neinvaziv pediculul rinichiului transplantat, permitand diagnosticarea stenozei. Ocazional, clipsurile chirurgicale pot da artefacte in apropierea arterei transplantate, limitand astfel evaluarea acesteia.
Stenoza de artera renala este importanta daca reprezinta o etiologie potentiala reversibila pentru hipertensiunea arteriala. Apare la mai putin de 5% din adultii hipertensivi. AngioCT reprezinta o metoda buna si neinvaziva de screening pentru diagnosticarea stenozei de artera renala, cu acuratete de pana la 96%. Este de asemenea foarte sensibila si specifica pentru demonstrarea ocluziei de artera renala. Imaginile axiale nu sunt suficiente pentru evaluarea stenozei deoarece arterele renale au deseori un traiect variabil si sinuos. Dar angioCT permite observarea arterelor renale in multiple planuri. In caz de calcificari extensive, sunt foarte utile imaginile 3D si cele angioscopice. Ea poate evidentia si semne secundare de stenoza de artera renala, incluzand dilatatii poststenotice si modificari de parenchim renal de tip atrofie si scadere a volumului corticalei. Este de asemenea foarte utila in evaluarea post tratament a grefelor renale si poate face diferenta intre materialul grefei si substanta de contrast intraluminala.
Embolia tumorala este o indicatie uzuala pentru evaluarea pediculului renal. Invazia tumorala a venei renale este cruciala in precizarea posibilitatilor chirurgicale de indepartare a unei tumori renale. Venele renale sunt foarte bine vizualizate pe angiografia CT in faza corticomedulara sau arteriala. Opacifierea completa a VCI de obicei necesita o achizitie secundara helicoidala la 90-120 de secunde post-injectare. Dilatatia venei renale stangi datorita unui sunt spontat splenorenal la pacientii cu hipertensiune portala poate fi de asemenea diagnosticata.
Se pot observa si anevrismele si disectiile de artere renale, angioCT definind cu exactitate extinderea si localizarea acestora. Angiografia computerizata nu evidentiaza numai anatomia vasculara renala, ci si modificarile parenchimatoase secundare, incluzand infarcte si atrofii. Anevrismele pot fi izolate sau in cadrul unei vasculite sistemice. Calcificarile pot obstrua imaginea unor anevrisme, in acest caz foarte utile fiind imaginile tridimensionale.
Aceasta metoda de investigatie are si unele dezavantaje:
1. cel mai important dintre acestea este expunerea la radiatii ionizante, in special datorita expunerii crescute a paccientului datorita multiplelor achizitii in fazele: arteriala, venoasa si tardiva.
2. vizualizarea vaselor intrarenale mici poare fi dificila cu angioCT spiral.
3. un alt dezavantaj este ca o calcificare murala poate interfera cu evaluarea unei stenoze de artera renala.
4. un dezavantaj potential al angio-CT este ca un volum relativ crescut de substanta de contrast este necesara pentru opacifierea adecvata a arterelor renale, ceea ce poate creste riscul nefrotoxicitatii. Cu toate acestea, la scannerul spiral multidetector cantitatea de substanta de contrast utilizata a scazut.
In plus, o afectiune renala preexistenta, insuficienta
cardiaca, intoleranta la substanta de contrast, pacienti cu
tulburari circulatorii sau necooperanti pot fi factori care sa
limiteze utilizarea acestui tip de investigatie.
In ciuda acestor neajunsuri, angiografia computerizata este o excelenta metoda de
investigatie imagistica.

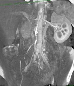
Carcinom renal - imagine CT 3D. Se observa cresterea diametrului venei renale drepte datorita trombozei (sageti). Se observa si vasele colaterale perirenale (varfurile de sageti).

Fistula arteriovenoasa - Angio CT, incidenta sagitala oblica. Se observa o masa vasculara densa cu vase nutritive si de drenaj (varfurile de sageti). Se observa de asemenea si raporturile fistulei cu artera renala stanga (sageti lungi) si cu vena omonima (sageti scurte).
AngioRMN
Angiografia RMN este o metoda sigura si sensibila pentru evaluarea arterelor renale, cu avantajul de a nu necesita folosirea unor substante de contrast iodinate potential alergenice, sau a radiatiilor ionizante, ca si absenta riscului inerent a unei cateterizari. Avand in vedere aceste aspecte, in marea majoritate a bolilor care afecteaza vascularizatia renala, leziunile sunt localizate la nivelul ramurilor mari ale arterei renale, angioRMN este o investigatie imagistica valoroasa. In plus, datorita progreselor in tehnologia imaginilor 3D cu folosirea unei substante de contrast venoase, aceasta devine o metoda excelenta, chiar si in centrele cu profesionisti de mare valoare in domeniul ultrasonografiei si tomografiei computerizate.
Stenoza este cea mai importanta leziune care afecteaza arterele renale si determina ischemie parenchimatoasa, fiind caracterizata printr-o crestere greu de controlat a tensiunii arteriale sistemice. Pe masura ce timpul trece, stenoza evolueaza spre ocluzie si diminuare permanenta a functiei renale. Deoarece hipertensiunea renovasculara a devenit o problema de sanatate publica cu consecinte dezastruoase pentru pacient in caz de insuficienta renala, s-a cautat o metoda sigura, rapida, neinvaziva si mai ieftina decat angiografia clasica, pentru diagnosticarea precoce a acestei boli. Aceasta metoda de investigatie s-a dovedit a fi angioRMN.
Imaginile sunt achizitionate cu pacientul in decubit dorsal. Acesta este rugat sa isi tina respiratia, daca este nevoie, sa stea nemiscat pe toata perioada de achizitie a imaginilor. Datele obtinute sunt reconstruite 2D multiplanar sau 3D, obtinandu-se imagini 3D atat arteriale cat si venoase. Examinarea angioRMN are aproximativ aceeasi durata cu RMN-ul abdominal, adica aproximativ 10 minute. Parametrii vasculari analizati sunt: diametrul (normal, neregularitati parietale, stenoze si anevrisme), traiect (normal sau sinuos) si flux (normal, redus sau absent). Substanta de contrast folosita este gadolinium.
Evaluarea rinichilor se face dupa aspectul conturului
(regulat sau neregulat), dupa volum (normal, scazut sau crescut)
si dupa nefrograma (omogena, absenta sau heterogena). ![]()

Rinichi drept cu volum crescut, prezentand contur neregulat si nefrograma heterogena. Rinichiul stang este de volum redus datorita stenozei de artera renala (sageata)>75%, slab individualizata de artefactul fluxului venos.

Rinichi stang cu volum redus, contur neregulat si nefrograma heterogena. Perfuzia sa este redusa datorita unei stenoze la nivelul treimii mijlocii a arterei renale. Se observa prezenta arterelor renale drepte accesorii.

Artere renale aceesorii spre polii superior respectiv inferior ai rinichiului drept. Stenoza (sageata) >50% cu dilatatie post-stenotica in treimea proximala a arterei renale stangi.

Bifurcatie a arterei renale drepte in treimea ei mijlocie.
Angiografia RMN a devenit o metoda dinamica de diagnostic, cu capacitate de diagnosticare diferentiala comparativ cu alte metode de examinare. Se pot identifica arterele accesorii, prezenta lor fiind semnificativa in evaluarea vascularizatiei renale, in special in cazul evaluarilor pretransplant. In acelasi timp angioRMN permite identificarea unei serii intregi de afectiuni ale vaselor renale. Angiografia cu substractie digitala este cosiderata cea mai buna metoda pentru studiul anatomic al vascularizatiei renale. Cu toate acestea, numeroase studii arata o crestere a sensibilitatii si specificitatii angioRMN, in principal dupa introducerea unor tehnici noi mai rapide si cu rezolutie mare, ca sa nu mai vorbim de avantajele metodei noninvazive, de neutilizarea radiatiilor ionizante, de absenta substantelor de contrast nefrotoxice si de existenta unor complicatii minime in comparatie cu angiografia digitala.
![]()
Ecografia Doppler
Ecografia Doppler (in particular Doppler color) se bazeaza pe principiul schimbarii frecventei de reflexie cauzata de miscarea reflectorului (lichid circulant). Permite analiza vitezei fluxului, a debitului si a directiei acestuia.
Exista doua metode folosite in evaluarea ultrasonografica a arterelor renale: directa sau indirecta. De obicei se recomanda o combinatie a acestor metode pentru a obtine rezultate optime. Metoda directa implica vizualizarea Doppler a intregii lungimi a arterei renale principale si a arterelor renale accesorii. Metoda indirecta implica evaluarea arterelor segmentare sau interlobare din interiorul parenchimului renal. Aceasta a doua tehnica poate diagnostica stenoza de artera renala prin recunoasterea alterarii aspectului normal al arterelor intrarenale.
|
A |
B |
||
|
Figura 1 Ecografie sagitala in nuante de gri (A) si color (B) arata VCI in axul lung si artera renala dreapta in traiectul sau posterior de VCI. B. Pe imaginea Doppler color se observa fluxul sangvin in VCI, venele hepatice si artera renala. |
|||
|
Figura 2. Schema cu raporturile vaselor renale stangi. Vena renala stanga trece prin pensa aortomezenterica, intre artera mezenterica superioara si aorta abdominala. Artera renala stanga este localizata posterior de vena renala. Prima imagine ecografica (dr. sus) este o vedere sagitala a aortei abdominale. Intre aorta si AMS se observa vena renala stanga. A doua imagine ecografica (dr. jos) este o ecografie Doppler transversala ce vizualizeaza raporturile anatomice dintre AMS, trunchiul celiac, aorta, VCI si vena renala stanga. |
|||
Arterele si venele renale se pot vizualiza in sinus si in portiunea extrasinusala. La nivelul hilului, arterele sunt situate posterior de vene. Artera renala dreapta este mai lunga decat cea stanga si are o portiune retrocava. Pentru efectuarea unui examen Doppler corect al vaselor renale este necesar ca pacientul sa ajuneze cu 8 ore inaintea examenului. Traductorul preferat pentru pentru acest examen este cel de 3 MHz.
|
Figura 3. Imagine Doppler color evidentiaza vascularizatia normala a rinichiului. Atat arterele cat si venele sunt codificate pe culori. Arterele sunt rosii, deaorece fluxul sangvin la nivelul lor are directia spre sonda, spre periferia rinichiului. Venele sunt albastre (atribuirea culorilor nu poate fi inversata). |
Variantele anatomice sunt relativ frecvente la nivelul vaselor renale. Aproximativ 30% din indivizi au mai mult de o artera renala. Arterele supranumerare pot aparea bilateral sau unilateral. Cele mai multe artere renale accesorii au origine in aorta abdominala, dar se pot desprinde si din arterele iliaca comuna, mezenterica superioara, mezenterica inferioara, suprarenala sau hepatica dreapta. Ramificarea precoce a arterei renale apare in aproximativ 15% din cazuri.
|
Figura 4 - Imagine sagitala in nuante de gri si imagine coronala color la doi pacienti cu artere supranumerare drepte. Pentru identificarea arterelor renale multiple, este utila obtinerea unei imagini a VCI in axul sau lung. O examinare atenta dedesubtul VCI evidentiaza doua artere renale drepte (A) si trei artere renale drepte (C). O alta imagine utila pentru a demonstra existenta arterelor renale supranumerare este o imagine coronara a aortei. Aceasta vedere asigura un unghi excelent pentru identificarea originii arterelor renale drepte si stangi folosind Doppler color. Figura B arata doua artere renale drepte si una stanga folosind power Doppler. Cum power Doppler nu arata directia fluxului, vena renala stanga are aceeasi culoare cu artera si poate fi usor luata drept o a doua artera renala stanga. O examinare atenta arata totusi ca vasul nu are origine in aorta, ci trece anterior de ea. Power Doppler a fost folosit si in cazul figurii D pentru a demonstra prezenta a 3 artere renale drepte si una stanga. |
||
|
Figura 5- identificarea prin Doppler color a arterelor renale supranumerare. In comparatie cu partea dreapta, detectarea arterelor supranumerare de partea stanga este mai dificila decat pe dreapta. Imaginea A evidentiaza aorta in plan coronal precum si o artera renala dreapta si doua artere renale stangi. Un Doppler transversal color la acelasi pacient (B) arata cele doua artere renale stangi si emergenta lor din aorta. In aceeasi imagine se observa artera renala dreapta unica, precum si vena renala stanga care trece anterior de artere. Sonda se deplaseaza usor spre superior sau inferior pentru a cauta arterele supranumerare. Fiecare astfel de vas identificat trebuie urmarit pana la rinichi pentru a-i confirma identitatea. Arterele renale supranumerare sunt deseori usor de identificat in utero in trimestrul al doilea sau al treilea de sarcina. In imaginile C si D se observa artere renale multiple la fetusi , folosind dopplerul color in plan coronal. |
||
Variantele anatomice pot fi intalnite si la nivelul drenajului venos ca si la nivel arterial. Vena renala stanga poate avea un traiect retroaortic in locul celui clasic prin pensa aortomezenterica. Alta varianta poate fi vena renala circumaortica, divizandu-se inainte de a ajunge la aorta intr-o ramura care trece anterior si una care trece posterior de aorta.
|
Figura 6 Anomalii la nivelul venei renale stangi. Figura A arata intr-o imagine Doppler color transversala, vena renala stanga ce trece posterior de aorta inainte de a ajunge la VCI. O imagine sagitala power Doppler arata vena renala stanga in sectiune imediat sub aorta abdominala (B). In figurile C si D se observa un caz de vena renala stanga circumaortica. Imaginea transversala arata vena renala stanga care se divide inainte de a ajunge in aorta intr-o ramura care trece anterior si alta care trece posterior de aorta, in pensa aortomezenterica (C). Imaginea doppler color sagital capturata in diastola arata vena renala in sectiune de fiecare parte a aortei abdominale (D). |
||
Imagini computertomografice ale vaselor renale: anatomia normala si variante anatomice

Aa.renale normale

Ramificare prehilara a aa.renale stangi

Doua artere renale stangi Doua aa.renale stangi; ramificare prehilara
a aa.renale drepte; v.renala stg. retroaortica

Doua aa.renale stangi

A.renala accesorie stanga Aa.renale multiple

Rinichi pentru transplant cu multiple aa. renale
bilateral

Vene renale normale

A doua v. renala stanga se varsa in iliaca V.renala stanga bifida
comuna stanga

V.renala stanga retroaortica V.renala stanga retroaortica si v.genitala
foarte voluminoasa
|
Politica de confidentialitate |
| Copyright ©
2025 - Toate drepturile rezervate. Toate documentele au caracter informativ cu scop educational. |
Personaje din literatura |
| Baltagul – caracterizarea personajelor |
| Caracterizare Alexandru Lapusneanul |
| Caracterizarea lui Gavilescu |
| Caracterizarea personajelor negative din basmul |
Tehnica si mecanica |
| Cuplaje - definitii. notatii. exemple. repere istorice. |
| Actionare macara |
| Reprezentarea si cotarea filetelor |
Geografie |
| Turismul pe terra |
| Vulcanii Și mediul |
| Padurile pe terra si industrializarea lemnului |
| Termeni si conditii |
| Contact |
| Creeaza si tu |