LOCUL SI ROLUL EXPLORARILOR RADIOIMAGISTICE IN
DIAGNOSTICUL SI MONITORIZAREA LIMFOAMELOR MALIGNE
Cele mai frecvente afectiuni in patologia hematologica sunt reprezentate de limfoamele Hodgkin si non-Hodgkin. Complexitatea acestor boli face cA diagnosticul si monitorizarea ei sa fie deosebit de importante. Atat in diagnostic cat si in monitorizare pe langa celelalte tehnici de urmarire (analize hematologice, studii imunologice si de biologie moleculara, biopsia excizionala, documentarea subtipului histopatologic si electroforeza proteinelor serice), un rol major il au explorarile radioimagistice. Bolile hematologice, in special limfoamele, sunt boli dificile prin diagnostic, clinica si tratament. In contextul actual al medicinei bazate pe dovezi tehnicile radioimagistice sunt indispensabile pentru reusita in lupta dintre pacient si boala.
Dintre acestea unele sunt esentiale cum ar fi computertomografia, radiografia toracica, rezonanta magnetica, iar altele se dovedesc a fi extreme de utile in anumite circumstanta si amintim scintigrafia, ecografia.
Radiografia toracica este utilizata in mod special pentru evidentierea adenopatiilor mediastinale si hilare, revarsatelor pleurale si infiltrarii parenchimului pulmonar. Prezinta vantajul accesibilitatii, dar si pretul de cost relativ scazut.
In cadrul limfomului gastric primitiv examenul radiologic gastroduodenal constituie de obicei o prima etapa diagnostica atat datorita simptomatologiei bolnavului cat si datorita faptului ca este un mijloc de diagnostic simplu, neinvaziv si la indemana clinicianului. Examenul poate orienta de la inceput diagnosticul, poate influenta deciziile si specificitatea investigatiilor ulterioare, poate orienta spre un eventual examen endoscopic si nu in ultimul rand poate stabili contraindicatiile endoscopiei.
La cei cu afectare toracica demonstrabila intervine CT care defineste cu multa acuratete extensia bolii. Are rol in diagnostic, bilant complet net superior celorlalte tehnici, monitorizare la 3-6 luni. Astfel sensibilitatea si specificitatea acestei tehnici sunt crescute, rezolutia tisulara este superioara ecografiei, dar inferioara rezonantei magnetice, iar substantele de contrast (faze arteriala, portala, per os) cresc semnificativ calitatea diagnosticului. Un alt avantaj il constituie independenta fata de operator si de starea pacientului. Astfel evaluarea realizata este completa, usor de comparat cu examenele ulterioare. Din pacate exista si dezavantaje, si amintim aici faptul ca sensibilitatea scade cu talia leziunii si grosimea sectiunii si de asemenea, faptul ca riscul dozelor mari de radiatii ionizante este unul demn de luat in considerare (risc/ beneficiu).
CT are indicatie majora in explorarea bolnavilor cu limfom malign gastric. In timp prin perfectionarea tehnicilor de explorare si utilizare, CT a dobandit o mare valoare in evaluarea leziunilor digestive lumenale. Faptul ca este o completare a altor investigatii, costul ridicat al metodei si gradul inca relativ redus de accesibilitate fac ca CT sa nu fie un examen de rutina la pacientii cu limfom gastric. Totusi se furnizeaza informatii complete privind existenta adenopatiilor sau a leziunilor de organ, a modificarilor de mucoasa, extensia leziunilor gastrice, modificarea de grosime a peretelui gastric si nu in ultimul rand evidentierea ulceratiilor.(PET/CT examination in an anaplastic malignant lymphoma with extensive reactive involvement, Larsson P., Holzgraefe B., Kalzen H., 2008, www.pubmed.gov).
Limfangiografia este foarte utila in boala Hodgkin, in special in detectarea ganglionilor retroperitoneali infiltrati dar de marime normala. In limfoamele non-Hodgkin limfangiografia are indicatie majora la pacientii cu afectare inghinala localizata, care pot fi candidati pentru radioterapie locala si la care examenul computertomografic pentru afectarea abdominala este fals negativ.
Un numar mare de alte teste devin din ce in ce mai importante atat pentru stadializare cat si pentru imbunatatirea cunostiintelor despre biologia limfoamelor maligne. Explorarea cu galiu, cu doze mari de izotopi combinata cu tomografia computerizata cu emisie de pozitroni sunt foarte sensibile pentru determinarea infiltrarii tumorale.
Scintigrama cu taliu constituie o modalitate utila de diagnostic pentru evaluarea infiltrarii tumorale in special la limfoamele cu grad mic de malignitate. Limfoamele cu grad inalt sau mediu de malignitate capteaza taliul slab sau deloc. Pentru evaluarea creierului sau a coloanei vertebrale sau pentru determinarea infiltrarii oculte a maduvei, cea valoroasa tehnica este reprezentata de rezonanta magnetica. Prezinta un bilant superior computertomografiei prin sensibilitate si specificitate crescute, rezolutie tisulara maxima, iar substantele de contrast paramagnetice si superparamagnetice cresc mult calitatea diagnosticului (specificitate de organ si tesut - reticuloendotelial). Este absolut necesara pentru stabilirea unui diagnostic complet de etapa indispensabil unei decizii terapeutice optime. Pretul ridicat inca si accesibilitatea redusa, precum si existenta unor contraindicatii constituie dezavantajele rezonantei magnetice. Datorita rezolutiei tisulare superioare IRM este de neinlocuit in acest moment in investigarea pelvisului (si nu in ultimul rand a regiunii cervicale, parti moi cap si gat). Cu ajutorul substantelor de contrast superparamagnetice, IRM poate oferi informatii unice despre metastazele hepatice si afectarea ganglionara.
Cea mai utilizata metoda imagistica ramane fara indoiala ecografia. Are rol in depistare, evaluare primara (rapida si orientativa) si monitorizare. Prezinta ca avantaje lipsa efectelor nocive si pretul de cost relativ scazut. Ecografia apreciaza cu usurinta determinarile renale, la nivelul sanului si tiroidei, dar si hepatomegalia si splenomagalia. Prin Doppler pot fi evaluate traiecte vasculare si fluxuri sangvine, uneori foarte utile, iar substantele de contrast desi folosite rar pot creste sensibilitatea. Dezavantajul major il contituie incapacitatea realizarii unui bilant complet limitat de rezolutie, specificitate redusa, operator si nu in ultimul rand starea pacientului.
Examenul ultrasonografic desi face parte din investigatiile de debut furnizeaza un numar mic de informatii privind starea tubului digestiv. Metoda este subiectiva, datorita faptului ca depinde de performantele instalatiei si ale examinatorului. Evidentiaza adenopatiile mai mari de 1 cm, modificari ale organelor de vecinatate determinate de compresii si deplasari si existenta unor leziuni difuze sau localizate de organ parenchimatos. Cea mai fiabila tehnica in depistarea determinarilor limfomatoase la nivelul stomacului ramane endoscopia care verifica si complecteaza examenul radiologic.(Limfomul gastric primitiv, Constantin Zaharia, Ioana Lupescu, Catalin Vasilescu).
Daca pentru adenopatiile profunde, abdominale, peritoneale si retroperitoneale, ultrasonografia are sensibilitate si specificitate reduse fata de tomografia computerizata (CT) sau imagistica prin rezonanta magnetica (IRM), pentru adenopatiile superficiale - laterocervicale, axilare si inghinale - metoda este comparabila cu investigatiile de inalta tehnologie mentionate. Analizand toate calitatile examenului ultrasonografic cu avantajele si dezavantajele sale putem aprecia ca aceasta metoda este indispensabila, in contextul impunerii din ce in ce mai categorice a medicinii bazate pe dovezi, pentru diagnosticul, stadializarea si monitorizarea bolnavului hematologic. Ecografia este un instrument care nu necesita precautiuni speciale, rapid, usor de folosit si care poate furniza informatii importante in mana unui practician experimentat.(Determinarile ganglionare si parenchimatoase in patologia hematologica, S. Petrescu, Ioana Petrescu, V. Efimov, Constantin Zaharia)
In concluzie, avand in vedere diagnosticul dificil al limfoamelor, metodele radioimagistice prezinta o importanta deosebita. O mare atentie trebuie insa acordata posibilelor localizari secundare, ce nu sunt simptomatice la momentul initial al diagnosticului si care fara tehnicile imagistice actuale ar ramane ascunse clinicianului. Implicit, de aici porneste un diagnostic gresit, pacientul fiind inclus intr-un stadiu mai mic de boala, si consecutiv, primeste un tratament inadecvat. Este indicata inceperea evaluarii determinarilor secundare subdiafragmatice printr-un examen ecografic. Este continuata obligatoriu de examene CT si IRM in functie de localizarea si complexitatea cazului pana la stabilirea unui diagnostic precis (de etapa), iar protocoalele de urmarire includ ecografia, CT si eventual IRM la intervale prestabilite.
Stadializarea limfoamelor, propusa initial doar pentru boala Hodgkin nu ar fi posibila fara participarea tehnicilor imagistice in special a computertomografiei. Descrierea extensiei bolii, evaluarea si analiza tuturor determinarilor metastatice ii revine de asemenea computertomografiei. Fara o stadializare corecta bolnavul este privat de sansa vindecarii si recuperarii dupa boala. Eficienta tratamentului este de asemenea evaluata tot prin analiza determinarilor primare si secundare prin intermediul tehnicilor imagistice. Natura si gravitatea complicatiilor (metastatice sau datorita tratamentului) sunt de asemenea evaluate imagistic.
Astfel rolul tehnicilor radioimagisticie in contextual stadializarii si tratamentului bolnavului in boala Hodgkin sau non-Hodgkin este unul indispensabil. Lipsirea bolnavului de beneficiile aduse de aceasta ramura importanta a medicinei ar fi de-a dreptul dezastruoasa, ducand la scaderea ratei de supravietuire si la cresterea ratei mortalitatii prin limfom. Este important de stiut ca ACR (Societatea Americana de Radiologie) elaboreaza la 4-6 ani "Criterii de Utilizare a Metodelor Imagistice" - Appropriatness Criteria - in functie de patologia de investigat.
In acest context limfoamele maligne constituie un grup aparte ce necesita colaborarea stransa si de lunga durata a radiologului cu hematologul.
TEHNICI DE EXPLORARE RADIOIMAGISTICA A LIMFOAMELOR
Radiografia toracica in incidenta postero-anterioara este cea mai frecventa investigatie, cu atat mai mult cu cat rezultatele sunt excelente, datorita contrastului mare intre tesuturile toracelui. In acelasi timp pretul de cost al unei radiografii este mic, ceea ce face ca sa fie considerate in plus prima metoda de explorare radioimagistica a toracelui.

Fig. 1 - radiografie toracica incidenta postero-anterioara
Folosirea unui voltaj mic (60-80 kV) produce un film de mare contrast in care umbrele si eventualele calcificari sunt mult mai evidente decat daca s-ar fi folosit un voltaj mare. Folosirea unui voltaj mare (120-170 kV) produce filme de contrast mai mic utile in vizualizarea ariilor pulmonare mai greu de penetrat datorita interpunerii celorlalte structuri.
Leziunile incerte pe radiografia de plaman postero-anterioara sunt mult mai clare pe radiografia de profil, mai ales in cazurile in care avem mase tumorale mediastinale anterioare sau lichid pleural inchistat. Dimpotriva, leziunile care se vad clar pe radiografia postero-anterioara sunt mai dificil de observat pe radiografia de profil.
Desi mai putin folosite, radiografiile oblice pun in evidenta aria retrocardiaca, unghiurile costofrenice posterioare si peretele toracic. De asemenea pentru vizualizarea portiunii apicale a plamanilor este necesara ridicarea claviculelor. Pentru vizualizarea revarsatelor pleurale este necesara realizarea a doua radiografii in ortostatism si decubit dorsal. Cupolele diafragmatice pot fi vizualizate coborate si orizontalizate in inspir si ascensionate in expir.
Traheea ar trebui examinata in caz de modificari de pozitie, leziuni intraluminale sau modificari de calibru. Pe radiorafia de fata este situata median, in partea superioara apoi coboara rectiliniu si deviaza usor spre dreapta la nivelul crosei aortice. In expir deviatia spre dreapta este mult mai marcata. Are forma unei benzi cu marginile paralele de calibru egal pe toata lungimea (25 mm pentru barbati si 21 mm pentru femei). Marginea paratraheala dreapta, unde traheea vine in contact cu plamanul poate fi vazuta la aproximativ 60 % din pacienti masurand in grosime mai putin de 5 mm. Aceasta linie paratraheala dreapta se poate ingrosa cel mai comun in cazul unei adenopatii mediastinale, dar si in neoplazii traheale, tumori mediastinale sau mediastinita. Linia paratraheala stanga nu poate fi vizualizata datorita faptului ca se gaseste langa marile vase si nu langa plaman. Vena azygos se gaseste in unghiul dintre bronsia primitiva dreapta si trahee, iar pe un film normal se regaseste sub forma unei opacitati nodulare ce ar trebui sa aiba mai putin de 10 mm in diametru. Marimea sa descreste in timpul manevrei Valsalva si in inspir, iar cresterea diametrului poate apare in graviditate, hipertensiune portala, pericardita constrictiva sau insuficienta cardiaca dreapta. Astfel traheea prezinta amprenta aortica pe marginea stanga si amprenta azygos pe marginea dreapta.
Mediastinul este reprezentat de o masa de tesut celulo-grasos, ce contine formatiuni anatomice de structuri diferite. Astfel rezolutia de densitate a radiografiei standard nu permite diferentierea acestor structuri intre ele. Pe radiografia de fata mediastinul apare ca o opacitate triunghilara cu baza pe diafragm si varful cranial, cu marginile bine conturate si continut relativ omogen. Singurele vizibile in mediastin sunt traheea si bronsiile primitive. Vizualizarea lor se face datorita contrastului negativ dat de aerul ce se gaseste in caile respiratorii in raport cu opacitatea mediastinala. Ganglionii limfatici mariti sau masele tumorale mediastinale pot duce la modificarea pozitiei esofagului observata cu usurinta la efectuarea unei radiografii, cu esofag baritat.
Examenul radiologic conventional cu raze dure permite punerea in evidenta a liniilor mediastinale care pot fi mediane, de partea dreapta si de partea stanga. Aceste linii sunt date de pleura mediastinala care se reflecta pe structuri anatomice cu densitati mai mari din mediastin. Ele reprezinta interfata creata intre transparenta pulmonara si opacitatea data de densitatile mai mari ale continutului mediastinal. De obicei nu pot fi vizualizate toate concomitent. Sunt mai bine puse in evidenta pe radiografiile penetrante si digitalizate. Aceste linii poarta numele structurilor pe care le determina, iar modificarea lor sugereaza modificari mediastinale sau ale structurilor anatomice de vecinatate.
Imediat retrosternal, cei doi plamani intra in contact prin doua langhete ale segmentelor anterioare intre orificiul de intrare in mediastin si proiectia celui de al patrulea cartilaj costal. Linia mediastinala anterioara este astfel reprezentata de un Y avand extremitatile bratelor scurte la marginea superioara a manubriului sternal, iar bratul lung rectiliniu, usor convex spre stanga.
Linia mediastinala posterioara se formeaza prin contactul intre marginile mediale superioare ale segmentelor posterioare ale celor doi lobi superiori pulmonari, ventral de coloana vertebrala si dorsal de esofag. De asemenea are forma unui Y, situat mai cranial decat linia mediastinala anteioara si cu extremitatile bratelor scurte aproximativ intre corpii vertabrali T1-T2. Bratul lung coboara oblic pe partea dreapta a liniei mediosagitale, extremitatea sa distala putand ajunge in contact cu linia paraazygos.
Linia paratraheala dreapta se formeaza ca o banda opaca intre transparenta plamanului si transparenta traheei, coborand de la clavicula pana in dreptul corpului vertebral T4-T5.
Linia paraazygos este o linie scurta, convexa spre dreapta, proiectata cam in dreptul corpului vertebral T5 si formata prin contactul dintre crosa venei azygos si plaman.
Linia paraesofagiana se formeaza de sub crosa venei azigos, lobul inferior drept insinuandu-se intre vena azygos si esofag. Aceasta linie are forma unui S alungit si coboara pana la diafragm. Treimea sa superioara este concava spre dreapta, iar cele doua treimi inferioare au concavitatea orientata spre stanga.
Linia paravertebrala dreapta se formeaza prin reflexia pleurei mediastinale drepte pe tesuturile moi paravertebrale. Este rectilinie si se intinde din dreptul corpului vertebral T8 pana la T12.
Linia paravertebrala stanga se formeaza prin reflexia pleurei mediastinale stangi de-a lungul partilor moi ale santului costovertebral stang si a tesuturilor moi paravertebrale. Are un traiect rectiliniu de sub butonul aortic pana in dreptul corpilor vertebrali T10-T11.
Linia paraaortica stanga se creeaza prin contactul dintre pleura mediastinala stanga si marginea externa a aortei descendente toracice. Are un traiect rectiliniu usor oblic dinspre lateral spre medial si se intinde de la butonul aortic la corpii vertebrali T11-T12.
In afara liniilor mediastinale prezentate mai sus mai pot fi intalnite si linii mediastinale accesorii cu valoare diagnosticala mai redusa cum sunt linia aortopulmonara si linia venelor pulmonare. Linia aortopulmonara este o linie inconstanta, cu dispozitie oblica dinspre cranial spre caudal si dinspre medial spre lateral, de partea stanga a liniei mediosagitale, care face legatura intre butonul aortic si proiectia aretrei pulmonare stangi. Uneori aceasta linie poate fi dublata de o alta cu aceeasi origine, dar care ajunge la bronhia principala stanga.(Ghid de diagnostic radiologic diferential mediastino-pulmonar, C. Zaharia, S. A. Georgescu).
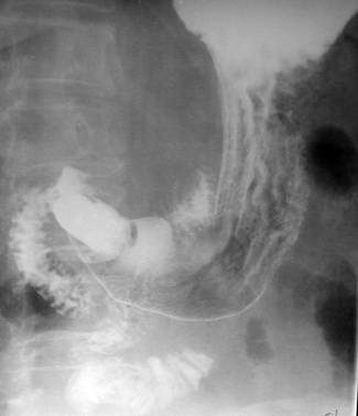
Radiografia reprezinta o metoda de analiza foarte accesibila si a stomacului si un document de evolutie a bolii. Explorarea esofagului, stomacului si doudenului se face de rutina concomitent, cu administrare de contrast per os si poarta numele de examen eso-gastro-duodenal. Cea mai folosita substanta de contrast este sulfatul de bariu chimic pur, substanta neutra din punct de vedere fizic si chimic care nu reactioneaza cu mediile cu pH diferit si care are in compozitie bariu cu numar atomic mare deci in concluzie cu absortie mare pentru fasciculul de raze X. Sulfatul de bariu este o substanta insolubila cu apa, insipida si inodora. Este utilizat sub forma de pulbere ale carei particule trebuie sa fie suficient de mici pentru a face o buna dispersie in apa. Suspensia obtinuta trebuie sa fie cat mai omogena si mai aderenta la tubul digestiv. Pentru cresterea aderentei se pot adauga agenti chimici de omogenizare. In general suspenia de sulfat de bariu nu are contraindicatii dar cand se suspicioneaza existenta unei fistule in peretele tubului digestiv ce poate comunica cu cavitatea peritoneala sau se suspicioneaza un sindrom ocluziv este contraindicata folosirea substantelor de contrast iodate.(Radiologie si imagistica medicala, Constantin Zaharia, S.A. Georgescu).
In timpul explorarii se folosesc diverse pozitii si incidente pentru cresterea informatiei diagnostice.
Pozitia in ortostatism, incidenta frontala permite aprecierea formei stomacului, aprecierea polului inferior si a tonusului tunicii musculare si ofera unele informatii despre pliurile de mucoasa. Se observa cu usurinta amprentarile date de organele de vecinatate (ficat, splina, pancreas, rinichi), in cazul unor eventuale mariri de volum.

Fig. 2 - stomac in repletie completa, examen in ortostatism
Pozitia in ortostatism, incidenta O.A.D. duce la aprecierea mai in detaliu a jonctiunii eso-gastrice. Sunt vizualizate bine versantul posterior al micii curburi si versantul anterior al marii curburi. Incidenta O.A.S. pune in evidenta versantul anterior al micii curburi si versantul posterior al marii curburi.
Situatia stomacului fata de axul antero-posterior si planul frontal si conturul fetelor (anterioara si posterioara) este pusa in evidenta in incidenta de profil (pozitie in ortostatism).
Pozitia in decubit dorsal, incidenta postero-anterioara duce la modificarea orientarii stomacului care se orizontalizeaza si se ascensioneaza. Deplasarea aerului din fornix in antru permite vizualizarea "in strat subtire" a mucoasei antrale. Pentru acest lucru este necesar ca suspensia baritata sa fie in cantitate mica. Trebuie avut in vedere ca pot exista, din aceasta cauza, defectiuni de umplere a fornixului si de aici un diagnostic incomplet sau eronat. De asemenea utilizarea contrastului negativ concomitent cu cel pozitiv realizeaza examenul in dublu contrast, mult mai fidel in evidentierea unor leziuni mici, de obicei ale mucoasei.

Fig. 3 - stomac in semirepletie, examen in decubit dorsal,
permite vizualizarea in dublu contrast a pliurilor de mucoasa
Pozitia in decubit ventral, incidenta antero-posterioara duce la o buna evaluare a peretilor, peristalticii si a regiunii mediale a fornixului (in dublu contrast).(Limfomul gastric primitv, Constantin Zaharia, Ioana Lupescu, Catalin Zamfirescu).
La nivelul abdomenului, modificarile radiologice sunt aceleasi cautate in orice suspiciune de neoplazie cu localizare gastrica. Exista unele caracteristici specifice. Examenul radiologic standard analizeaza lacunele (numarul, localizarea, dimensiunile si conturul lor), ulceratiile (numarul, localizarea, dimensiunile si conturul lor), starea pliurilor (normale, ingrosate, dezordonate sau intrerupte), infiltratiile, modificarile de tonus si peristaltica si autoplastica prezenta sau absenta.
Formatiunile dezvoltate endolumenal sunt reprezentate prin lacune, care se traduc in semiologia radiologica ca imaginile unor formatiuni protruzive, de origine inflamatorie sau tumorala, in lumenul unui segment de tub digestiv. Cand sunt localizate intralumenal nu altereaza integritatea conturului lumenului, iar cand sunt periferice afecteaza conturul lumenului. Pot fi unice sau multiple, cu contur bine precizat sau nu, regulat sau nu, posibil sters partial. Forma poate fi rotunda, ovalara sau neregulata. La periferie pot prezenta zone de semiton. Dimensiunile lacunelor reproduc de multe ori dimensiunile tumorei maligne, iar caracteristic sunt unice (rar multiple), de obicei marginale, prezentand imagini de semiton la periferie, iar racordul cu conturul lumenului este afectat de existenta pintenilor maligni. Pliurile mucoasei pot fi impinse, intrerupte, ingrosate si neregulate. Nu in ultimul rand pot prezenta ulceratii. Acestea din urma traduc existenta unor solutii de continuitate la nivelul suprafetelor mucoasei, respectiv a masei tumorale. De obicei nisele sunt incastrate (nu proemina din conturul gastric), suprafata este mai tot timpul mai mare decat adancimea, au pliuri intrerupte in jurul lor, in incindenta ortograda sunt situate in interiorul lacunelor, versantii sunt neregulati, iar portiunea decliva are conturul sters.
O alta modificare radiologica importanta care traduce infiltrarea mucoasei este rigiditatea. Aceasta se insoteste de obicei de abolirea peristalticii. Radiologic apare o portiune de contur cu aspect rectiliniu si dimensiuni variabile ce poate afecta conturul in intregime. La modificarea pozitiei nu se modifica aspectul regiunii, dar poate duce la modificarea formei stomacului.
Lacunele si ulceratiile duc si la modificarii ale pliurilor care pot fi : ingrosarea lor, alterarea dispozitiei normale, intreruperea sau stergerea lor. Autoplastica de mucoasa este un semn de importanta majora care reprezinta infiltrarea muscularei mucoasei si de multe ori constituie un semn premonitor. Desi apar tardiv, hipootoniile gastrice, mult mai frecvente decat hipertoniile, sunt insotite frecvent de staza. De obicei aceste modificari de peristaltica sunt corelate cu aparitia rigiditatii.
La radiografia simpla a abdomenului ficatul poate fi vizualizat prin contrast cu mediile inconjuratoare, plaman care contine aer si stomac sau duoden. De asemenea poate fi apreciata hepatomegalia prin ascensionarea diafragmului, insa nu trebuie confundata cu paralizia de diafragm drept sau cu prezenta unei pleurezii diafragmatice. In caile bialiare se poate vizualiza prezenta calcificarilor sau a aerului. De asemenea se poate vizualiza marginea anterioara a splinei datorita contrastului cu continutul aeric al polului superior gastric sau al flexurii splenice a colonului.
Radiografia reno-vezicala simpla se executa de obicei in decubit dorsal cu o incadrare ce trebuie sa cuprinda ultimele doua coaste si simfiza pubiana. Este prima explorare radiologica folosita pentru evaluarea morfologiei renale, a umbrelor renale, a spatiului perirenal, a contururilor renale si a muschilor psoas. Ea este deseori urmata de urografia intravenoasa, care foloseste substante de contrast iodate, administrate intravenos. Obtinerea informatiilor urografice se bazeaza pe timpul parenchimatos, evidentiabil sub forma nefrogramei pe cliseele precoce, in general sub 3 minute de la terminarea injectarii, si timpul excretor al substantei de contrast a cailor excretorii sub forma urogramei, ce reprezinta opacifierea cu substanta de contrast a cailor excretorii, vizibila dupa 3 minute de la terminarea injectarii. Atat RRVS cat si UIV sunt utile in evaluarea sindromului obstructiv, a sindromului tumoral renal, a malformatiilor aparatului reno-urinar, a traumatismelor si a inflamatiilor.
CT de torace este o investigatie iradianta, efectuarea unei coputertomografii corespunzand cu efectuarea a aproximativ 50 radiografii pulmonare, la nivel de iradiere. Doza de iradiere variaza in functie de tehnicile folosite de diversi operatori. Totusi aparitia si dezvoltarea computertomografiei constituie un mare beneficiu in radioimagistica toracelui. Astfel intreg toracele poate fi acoperit in timpul unei pauze expiratorii. Eficienta agentilor de contrast intravenosi este de asemenea strans legata de rapiditatea scanarii. Astfel computertomografia permite scanarea volumelor mari in foarte multe sectiuni intr-un timp foarte scurt. Computertomografia este o tehnica foarte folositoare pentru realizarea biopsiei atat a celei fine aspirative cat si a biopsiei maselor tumorale mari pleurale, pulmonare sau mediastinale. Computertomografia combinata cu fluoroscopia poate fi utilizata pentru a creste acuratetea tehnicii dar expune la radiatii atat pacientul cat si operatorul.
Densitatea parenchimului pulmonar este puternic dependenta de faza respiratorie, astfel in expir avand o crestere a densitatii in mod particular in partile inalt functionale ale plamanilor. Parenchimul pulmonar poate fi mult mai bine evaluat imediat post inspir complet. Este important de stiut ca structurile mediastinale isi pot modifica considerabil pozitia sub influenta posturii in special la pacientii cu enfizem.
Radiografia de torace normala pune in evidenta distributia lobara sau segmentara a bolii si anomaliile parenchimului pulmonar (generalizate sau difuze). Computertomografia de inalta rezolutie confirma insa localizarea si extensia bolii si da informatii caracteristice ale localizarii bolii. Infiltrarea mediastinului sau a peretelui pulmonar de catre diverse patologii ale parenchimului pulmonar pot fi demonstrate de asemenea de catre computertomografie. Alte roluri importante ale computertomografiei ar fi descrierea nodulilor pulmonari, descoperirea unor noi formatiuni nodulare, determinarea probabilitatii de malignitate si nu in ultimul rand stadializarea in vederea monitorizarii bolii si a tratamentului.
Computertomografia de inalta rezolutie foloseste sectiunile subtiri (1-3 mm) combinate cu un inalt algoritm de constructie spatiala, ce face ca aceasta tehnica sa fie extrem de valoroasa in demonstrarea unor boli pulmonare interstitiale dar si in diagnosticul lor diferential. Tehnica pune in evidenta regiunile susceptibile de biopsie in conditiile in care radiografia pulmonara este normala.(American Society of Hematology, Education Program, www.pubmed.gov).
Computertomografia este cea mai sensibila tehnica imagistica ce poate identifica noduli pulmonari de 3 mm sau chiar mai mari. Din pacate specificitatea pentru nodulii mai mici de 3 mm este mica. Evaluarea marginilor nodulilor pulmonari din pacate nu este de incredere in diferentierea bolii maligne de cea benigna. Totusi leziunile pulmonare benigne nu ar trebui sa depaseasaca 3 cm in diametru, iar stagnarea cresterii unui nodul intr-o periada de doi ani este de asemenea un indicator de benignitate. Majoritatea metastazelor pulmonare se gasesc subpleural si inspre bazele pulmonare. In malignitatile pulmonare computertomografia poate demonstra infiltrarea hilului mediastinului, pleurei sau a peretelui toracic, dar permite si evaluarea nodulilor limfatici mediastinali, un loc comun in diseminare. Computertomografia de asemenea ghideaza biopsia necesara leziunilor pulmonare. Diferenta unei boli pulmonare de una pleurala este posibila datorita coputertomografiei. Tumorile pleurale sunt puse in evidenta la computertomografie prin capacitatea lor de a incastra plamanul, reducandu-i volumul.(Richard W. Whitehouse, Andrew R. Wright, David Sutton, Textbook of radiology).
CT este cea mai utila tehnica in explorarea continutului mediastinal, formatiunile lumenale putand fi vizualizate prin umplerea lor cu substante de contrast specifica. De asemenea CT este extrem de utila in descrierea calcificarilor si a chisturilor putandu-le diferentia de o tumora solida. Face diferenta intre adenopatii si diverse lipoame sau tumori vasculare cu multa acuratete. Cel mai important, pune diagnosticul in situatia in care exista adenopatii oculte care pot fi trecute usor cu vederea pe o radiografie simpla, chiar si de catre un radiolog cu experienta. Un ganglion mediastinal este considerat normal atat timp cat diametrul sau nu depaseste 10 mm. Din pacate CT sau IRM nu pune diagnosticul etiologic al maririi unui ganglion.
In mod normal la CT se disting cu usurinta marile vase, esofagul si traheea si la fel si orice masa tumorala. La nivelul articulatiei sternoclaviculare traheea apare situata central ca un cerc in mijloc avand aer. In jurul traheei in directia acelor de ceasornic dinspre anterolateral dreapta spre posterior stanga se afla trunchiul brahiocefalic, artera carotida comuna stanga, subclavia stanga si esofagul. Anterior la dreapta si la stanga se afla venele brahiocefalice. O sectiune la nivelul articulatiei manubriosternale pune in evidenta arcul aortic in stanga traheei, iar in dreapta vena cava superioara si esofagul. Caudal de aceasta articulatie se afla vena azygos posterolateral catre dreapta esofagului. Aproximativ la nivelul vertebrei a cincea traheea se divide in cele doua bronaii. Artera pulmonara stanga apare pe aceasta sectiune trecand pe deasupra bronsiei primitive stangi, in timp ce artera pulmonara dreapta apare pe sectiuni situate caudal. Pe sectiunea imediat subcarinal putem observa ca atriul stang apare anterior fata de aorta descendenta si esofag. Vena cava superioara se varsa in atriul drept si devine mai mare si mai putin rotunda ca forma. Posterior de aorta ascendenta, fosa pericardica posterioara poate fi cauza unei mase cu densitate lichidiana care nu trebuie confundata cu un ganglion limfatic. La nivelul ventriculilor, septul interventricular poate fi identificat usor datorita contrastului crescut intre sept (apare ca un tesut moale) si sangele din ventriculi (densitate lichidiana). Spatiul retrocrural este ultimul analizat de CT, iar ganglionii de aici nu ar trebui sa fie mai mari de 6 mm.
Desi nu se adreseaza explorarii stomacului CT are indicatii majore in explorarea bolnavilor cu limfom gastric malign. Conditiile de examinare sunt ca bolnavul sa fie "a jeun" , iar cu jumatate de ora inaintea examinarii sa ii fie administrata substanta de contrast hidrosolubila, aproximativ 500 ml pentru opacierea intestinului subtire si gros si a inca 400 ml la debutul examinarii pentru opacierea stomacului. Daca se doreste evaluarea grosimii peretelui gastric se adminstreaza apa si exista protocoale de examinare in care este util aerul ca mediu de distensie gastrica. Pentru evaluarea ficatului, pancreasului, splinei, rinichiului si glandelor suprarenale este necesara folosirea substantelor de contrast iodate (produsi iodati non-ionici) intravenos.
Examinarea standard se face in decubit dorsal cu bratele in sus. Daca se doreste evaluarea antrului este necesara pozitia in decubit lateral drept, iar pentru evaluarea regiunii cardiei este necesar decubitul lateral stang. Sectiunile efectuate sunt de 10 mm cu pas de 10 mm, iar pentru zonele cu suspiciuni pot fi sectiuni contigue subtiri de 5 mm. Este obligatorie explorarea atat nativ cat si cu substanta de contrast administrata intravenos si se poate face secvential sau spiral. Astfel CT ofera posibilitati deosebite de explorarea radiologica standard de studiu al modificarilor tubului digestiv. Metoda permite analiza concomitenta a organelor parenchimatoase intraabdominale, a axelor vasculare si a ganglionilor. Datorita sensibilitatii sale permite studiul tesutului grasos si a calcificarilor. In concluzie are rol semnificativ in depistarea si stadializarea tumorilor tubului digestiv, monitorizarea post terapeutica a acestora si descoperirea unei patologii asociate intraabdominale. (Radiologie si imagistica medicala, Constantin Zaharia, S.A. Georgescu).
La nivelul stomacului CT analizeaza peretele ingrosat segmentar sau difuz, prezenta ulceratiilor, existenta adenopatiilor (supra sau infradiafragmatice), dar si existenta altor leziuni limfomatoase de organ (ficat, splina, pancreas, rinichi, suprarenala). Astfel CT este singura explorare care deceleaza ingrosarea peretelui gastric, care poate fi segmentara, cand afecteaza doar o anumita portiune, sau poate fi extinsa cand afecteaza intreg peretele gastric. Un avantaj major al CT este acela ca poate furniza concomitent date importante asupra extensiei procesului tumoral in spatiul perigastric. Astfel CT depisteaza si stadilizeaza tumorile de tub digestiv, monitorireaza postterapeutica acestora si depisteaza existenta patologiilor asociate. Dar, datorita complexitatii si fiabilitatii sale, dar si a pretului de cost mult mai ridicat este considerata totusi o metoda complementara radiografiei standard.
CT este o etapa complementara si succesiva examenului radiologic gastro-duodenal care confirma si evalueaza leziunile descoperite prin mijloace radiologice standard. Pe langa faptul ca apreciaza cu exactitate ingrosarile de perete gastric, este singura metoda radiologica ce poate pune in evidenta depasirea seroasei si invazia spatiului perigastric de catre limfom. Prin posibilitatea efectuarii punctiei bioptice, CT ofera diagnosticul histologic de limfom.
Analiza ficatului prin computertomografie a devenit performanta odata cu perfectionarea tehnica a instalatiilor si ameliorarea tehnicilor de administrare a substantelor de contrast. Examinarea consta in explorarea cu sectiuni contigue, groase de 0,8-1 cm a intregului parenchim, la inceput fara contrast si in functie de rezultatele obtinute, in continuare cu administrare de contrast. Astfel se realizeaza diferenta de densitate intre parenchimul normal si leziunile inlocuitoare de parenchim, diferenta datorata vascularizatiei si iodofilei diferite. Astfel leziunile focalizate sunt in marea lor majoritate spontan hipodense si mai putin iodofile fata de parenchimul inconjurator. Limfoamele dau leziuni difuze neidentificabile ca mase inlocuitoare de spatiu. CT este de asemenea metoda de baza de studiu al afectiunilor pancreatice, putandu-se pune in evidenta leziuni heterodense sau hipodense. Asupra splinei CT face aprecieri de forma, marime, volum, structura. Un avantaj al metodei il constituie faptul ca vizualizeaza concomitent ganglionii limfatici si vasele splenice.
Privind aparatul reno-urinar, datorita capacitatii de a demonstra densitati specifice si de a evalua vascularizatii, CT este explorarea ce aduce cele mai multe informatii. Depisteaza si caracterizeaza masele renale, stadializeaza si urmareste postoperator tumorile maligne si depisteaza obstructiile urinare inalte.
CT craniana este cel mai sigur mod de detectie a unei posibile localizari limfomatoase cerebrale. Astfel se poate analiza forma (ovoidala, rotunda, cu contururi bine sau prost delimitate, neregulate) si structura leziunii, care poate fi omogena sau heterogena. De asemenea localizeaza leziunea care poate fi intraparenchimatoasa sau extraparenchimatoasa. Notiunea de masa tumorala cuprinde orice volum suplimentar intracranian care duce la diminuarea taliei structurilor reductibile (ventriculi, spatii subarahnoidiene), datorita inextensibilitatii cutiei craniene. Tesutul cerebral nu este compresibil dar poate fi deplasat de catre procesul expansiv, avand ca rezultat stergerea spatiilor arahnoidiene. Cand spatiile arahnoidiene sunt "pline", ventriculii colabati, cresterea in continuare a dimensiunii leziunii va duce la aparitia fenomenului de angajare, adica trecerea parenchimului cerebral prin orificiile durei mater. De aceea, ventriculii pot fi colabati si deplasati de partea opusa a leziunii sau dilatati secundar unui proces expansiv subiacent. Spatiile subarahnoidiene pot fi colabate, intinse, santurile corticale sterse sau deplisate, iar cisternele pot fi diminuate, disparute sau asimetrice. Coasa creierului, strucurile celulare intracerebrale si glanda pineala pot fi de asemenea deviate de partea opusa.
Procesul expansiv poate impinge parenchimul cerebral prin orificiile durei mater, sub coasa creierului, in foramen oval Pacchioni sau in gaura occipitala, care poate fi ocupata de bulb si amigdalele cerebeloase datorita hipertensiunii din fosa cerebrala posterioara.(American Society of Hematology, Education Program, www.pubmed.gov).
Rolul rezonantei magnetice este unul foarte important. Principalul avantaj al IRM il constituie marea diferentiere in contrastul tesuturilor moi intrinseci. Astfel IRM permite ca structurile vasculare si leziunile mediastinale si a regiunilor hilare sa fie definite separat de alte tesuturi fara necesitatea administrarii unui mediu de contrast.
Atat CT cat IRM sunt fara nici un dubiu investigatiile de electie in cazul studierii largirii mediastinului, unor hiluri anormale, in cazul existentei unor mase evidente si nu in ultimul rand in stadializare.
IRM dar si CT pot confirma si sustine dignosticul de anevrism, disectie aortica sau embolie pulmonara, dar IRM poate fi utila mai ales la pacientii care sunt alergici la sustantele de contrast. Sunt situatii in care IRM poate stadializa anumite leziuni mediastinale cu mai multa acuratete decat CT. Printre avantaje se numara diferentierea maselor solide de vase de sange, vizualizarea directa a canalului spinal si a continului sau si nu in ultimul rand diferentierea intre fibroza cronica (semnal redus) si cea consecutiva limfoamelor sau tumorilor (semnal intermediar). La copii este de preferat utilizarea IRM, pentru a se evita folosirea substantelor de contrast sau in caz de contraindicatii, dar la adulti este deseori folosita impreuna cu CT. La pacientii cu suspiciune de boala reziduala sau recurenta, modificarile hilare sau ale anatomiei mediastinului pot fi evaluate mai bine de catre IRM.
IRM se adreseaza studiului organelor lumenale ale tubului digestiv si este extrem de utila in studiul ficatului si cailor biliare. Fiind neivaziva fata de CT, pune in evidenta foarte bine structurile cu continut fluid, biliare si vasculare fara a necesita substanta de contrast si permite reconstructia de imagini in oricare din planuri. In schimb este mai lunga si mai laborioasa, iar calitatea imaginii nu este atat de buna ca la CT.
IRM reprezinta gold standard in examinarea sistemului nervos central si a maduvei spinarii. Sensibilitatea IRM in patologia cranio-cerebrala si vertebro-medulara este superioara fata de CT, dar specificitatea este limitata. Produsele de contrast utilizate in rezonanta magnetica sunt paramagnetice tip Gadolinium. Ele amelioreaza contrastul intre tesuturile normale si patologice. Printre avantajele examenului IRM se numara faptul ca permite o mai buna rezolutie in contrast, perimte studiul unei leziuni in cele trei planuri ale spatiului, este ideala pentru studiul fosei cerebrale posterioare, nu exista iradiere, iar riscul de soc anafilactic este exceptional. Examenul IRM este limitat de timpul de examinare relativ lung, de faptul ca rezolutia spatiala este inca inferioara fata de CT highresolution si de faptul ca nu evidentiaza foarte bine calcificarile. Este contraindicata efectuarea acestui examen la persoane care au clipuri feromagnetice intracraniene, pacemaker cardiaci, proteze metalice valvulare si corpi straini metalici intraoculari.(Magnetic Resonance Imaging, Physical Principles and Applications, Vadim Kuperman). Marea sensibilitate, lipsa artefactelor "de os", precum si utilizarea Gadoliniumului permit punerea in evidenta a leziunilor de mici dimensiuni, uneori invizibile la examenul CT. Studiul in cele trei planuri de referinta ale spatiului (sagital, coronal, axial) furnizeaza un diagnostic topografic si un bilant al extensiei si raporturile leziunii. IRM precizeaza sediul si intinderea exacta atat a proceselor tumorale intramedulare cat si extramedulare. Injectarea de Gadolinium permite diferentierea chisturilor tumorale de cele netumorale.
Ultrasonografia este cel mai des utilizata in evaluarea primara si monitorizarea adenopatiilor si determinarilor parenchimatoase hematologice. Nu exista efecte nocive, are costuri reduse, adresabilitate mare si este usor repetabila. Valorile sensibilitatii si specificitatii variaza de la 42-51 % pentru adenopatiile profunde si pana la 74-78 % pentru adenopatiile superficiale. Criteriile morfologice ofera o sensibilitate de pana la 93 % pentru adenopatiile superficiale. Examenele Doppler si power-angio sunt foarte utile pentru diagnosticul diferential. Determinarile limfomatoase parenchimatoase necesita totdeauna examene imagistice suplimentare.
Adenopatiile retroperitoneale sunt prezente in proportie de 40-45 % in limfoamele non-Hodgkin si de pana la 25 % in boala Hodgkin. Ganglionii mai mari de 1,5 cm sunt considerati anormali la acest nivel. Pot exista adenopatii mai mici cu determinari limfomatoase, in timp ce adenopatii de mari dimensiuni pot fi rezultatul unor procese inflamatorii cronice sau acute. Diferentierea intre adenopatiile reactive si cele metastatice se poate face analizand morfologia ecografica a ganglionilor. Astfel raportul intre diametrul minim si cel maxim, mai mic de 0,5 - 0,55 (indice Solbiati) indica o adenopatie maligna. De asemenea modificarile importante la nivelul sinusului ganglionar: contur neregulat, neomogenitate accentuata, reducerea dimensiunilor pana la disparitie, semnaleaza o patologie cronica de aceeasi gravitate. Ingrosarea neuniforma, localizata a corticalei ganglionare sugereaza o posibila infiltrare maligna la acest nivel. Diferentierea intre adenopatiile maligne primare (limfomatoase) sau secundare (metastatice) nu este posibila cu ajutorul examenului ecografic.
Desi se crede ca in limfoamele non-Hodgkin ar fi mai frecventa localizarea retrocrurala a adenopatiilor, ele se pot intalni si in epigastru: peripancreatic, in hilul hepatic, si adiacente trunchiului celiac si pot avea dimensiuni de pana la 4 cm. Majoritatea pot prezenta o ecogenitate superioara celor metastatice (secundare) sau o structura reticulara hiperecogena cu posibil substrat fibros, reparator, in urma opririi evolutiei bolii. Adenopatiile metastatice retroperitoneale pot sa nu ajunga la dimensiuni atat de mari, avand in majoritatea cazurilor o ecogenitate redusa, cu sinusul imposibil de evidentiat ecografic. Unele intens hipoecogene ajung sa stearga, sa "silueteze" contururile vasculare aortice si cave.
Cu cat profunzimea zonei de interes este mai mare, cu atat aprecierile morfologice ecografice sunt mai precare. De aceea datele de mai sus nu sunt valabile pentru adenopatiile profunde lomboaortice si interaortico-cave. De aceea sensibilitatea si specificitatea examenului ultrasonografic al ganglionilor profunzi sunt de aproximativ 42-45 % respectiv 48-51 % conform literaturii internationale. In cazul adenopatiilor superficiale criteriul dimensional ofera o sensibilitate de 74 % si o specificitate de 78 % in aprecierea infiltrarii maligne. La nivel laterocervical ganglionii de peste 8-9 mm sunt considerati anormali. Atfel la acest nivel se pot diagnostica adenopatii maligne de pana la 3-4 mm diametru, rotunde, fara morfologie ecografica normala. Raportul intre diametrul minim si cel maxim prezinta o specificitate de 63 % si o sensibilitate de pana la 93 % pentru adenopatiile laterocervicale. Putem aprecia ca valoarea mare a sensibilitatii se datoreaza capacitatii ecografului de a surprinde valorile exacte ale diametrelor maxim si minim prin rotirea transductorului in orice plan al spatiului in timp real. Din nou, trebuie sa remarcam ca este extrem de dificil sa diferentiem cu adevarat adenopatiile limfomatoase primare de adenopatiile metastatice.
De aceea examenul Doppler spectral si power-angio incearca sa gaseasca solutii. Astfel, valori ale indicelui de rezistivitate IR>0,8 si ale indicelui de pulsatilitate IP>1,8 sunt specifice 100 % pentru infiltrarea maligna metastatica, in timp ce viteza diastolica minima (EDV) este mai mare in cazul limfoamelor, pana la 7-10 cm/s fata de metastazele ganglionare unde ajunge la maxim 3,5-6 cm/s. In cazul limfoamelor IR este de aproximativ 0,6-0,7, iar IP de circa 0,8-1,3, neajungand la valorile extreme ale determinarilor secundare.
Astfel analiza power-angio a ganglionilor superficiali stabileste ca vascularizatia adenopatiilor limfomatoase prezinta distorsiuni la nivelul hilului, nu este accentuata si, cel mai important, ganglionul nu are circulatie periferica amplificata. Prezenta circulatiei periferice accentuate este specifica adenopatiilor metastatice, insotita fiind de reducerea importanta a circulatiei in regiunea hilara, infiltrata. Adenopatiile inflamatorii acute se manifesta cu o amplificare masiva a vascularizatiei sinusale care se poate urmari pana la periferie, in timp ce ganglionii reactivi au o circulatie mai saraca. Examenul power-Doppler este mult facilitat de administrarea de substante de contrast. Analizele Doppler prezentate pot contribui la selectarea mai riguroasa a pacientilor propusi pentru punctie diagnostica.
Valorile sensibilitatii si specificitatii examenului ecografic indica fara dubiu ca ultrasonografia trebuie sa aiba un rol de evaluare primara si mai ales de urmarire frecventa a evolutiei pacientului hematologic, dupa obtinerea unui diagnostic cat mai exact cu ajutorul tomografiei computerizate si/sau al rezonantei magnetice, insotite de punctia bioptica. In cazul determinarilor parenchimatoase ale limfoamelor non-Hodgkin ecografia se poate dovedi utila in evaluarea si monitorizarea formatiunilor nodulare evidentiabile prin aceasta metoda. Este unanim recunoscut faptul ca ultrasonografia nu poate identifica infiltrarile limfomatoase difuze hepatice, pancreatice sau splenice, insa poate orienta radiologul in alegerea optima a metodelor diagnostice pentru leziunile focale de la nivelul acestor organe. Ecografia poate aprecia cu usurinta hepato- si splenomegalia oferind si informatii morfologice asupra eventualelor infarcte splenice potential periculoase pentru pacient. Avantajul acestui examen consta si in posibilitatea aprecierii vascularizatiei leziunii inaintea administrarii de substante de contrast intravenos. Organe superficiale ca sanul si tiroida sunt cel mai bine evaluate ecografic pentru determinari limfomatoase de organ. Determinarile limfomatoase renale pot fi surprinse ecografic atunci cand iau aspect tumoral. Examenele imagistice ulterioare cu administrarea substantelor de contrast sunt esentiale pentru stabilirea diagnosticului.(Determinarile ganglionare si parenchimatoase in patologia hematologica, S. Petrescu, Ioana Petrescu, V. Efimov, Constantin Zaharia).
Ecografia la nivelul abdomenului analizeaza existenta determinarilor limfomatoase de organ parenchimatos si a adenopatiilor subdiafragmatice si evidentierea unor ulceratii sau ingrosari ale peretelui gastric.
Ecografia aparatului reno-urinar ofera informatii morfologioce, in timp ce explorarea Doppler evidentiaza fluxuri, fiind indicata in patologia vasculara.
|
Politica de confidentialitate |
| Copyright ©
2025 - Toate drepturile rezervate. Toate documentele au caracter informativ cu scop educational. |
Personaje din literatura |
| Baltagul – caracterizarea personajelor |
| Caracterizare Alexandru Lapusneanul |
| Caracterizarea lui Gavilescu |
| Caracterizarea personajelor negative din basmul |
Tehnica si mecanica |
| Cuplaje - definitii. notatii. exemple. repere istorice. |
| Actionare macara |
| Reprezentarea si cotarea filetelor |
Geografie |
| Turismul pe terra |
| Vulcanii Și mediul |
| Padurile pe terra si industrializarea lemnului |
| Termeni si conditii |
| Contact |
| Creeaza si tu |