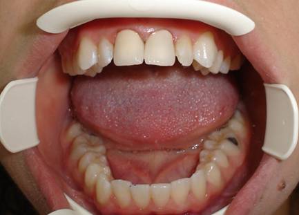
Pacienta S.L in varsta de 25 ani s-a prezentat pentru corectarea modificarilor de culoare a incisivilor superiori si refacerea aspectului estetic al zambetului.

Examen endobucal:
Odontal:
- 1.1 obturatie compozit la nivelul unghiului mezio-incizal
- 2.1 discromie intrinseca secundara tratamentului endodontic, obturatie compozit in urma fracturarii treimii incizale si medii a coroanei dentare
- 3.6 - obturatie de amalgam in foseta V.
Examenul ocluziei : denivelearea planului de ocluzie, cu interferente pasive in lateralitate stanga datorita rotatiilor, gresiunilor dentare.
Diagnostic :
de urgenta : nu este cazul
parodontal : pacienta tanara cu parodontiu sanatos si igiena foarte buna
protetic : nu este cazul
ortodontic : DDM bimaxilar
chirurgical : nu este cazul
odontal :
1.1 - obt compozit veche cu modificari de culoare, pulpita cronica
1.2 - discromie severa, cu obturatie de compozit necorespunzatoare, cu tratament endodontic corect
3.6 - obt de amalgam corecta
Tratament
a) Obiective : tratamentul isi propune :
- sa refaca morfologia si culoarea grupului frontal superior prin :
I. Tratamente chimice de albire :
- adresate discromiei dintelui 2.1 (1 saptamana tehnica « walking technique » cu Opalescnece Endo 35%) si
- La cererea pacientei s-a realizat si albirea la domiciliu cu gutiere individuale a tuturor dintilor maxilari si mandibulari :
Albirea : - s-a realizat la domiciliu cu Opalescence 15% peroxid de carbamida, cu ajutorul gutierelor realizate in laborator
s-au realizat aplicari ale gelului timp de 10 zile (1 noapte gel Opalescence 15% alternativ 1 noapte gel desensibilizant UltraEZ), rezultand 5 aplicatii de gel de albire la domiciliu.
Dupa cele 10 zile de tratament la domiciliu pacienta s-a declarat multumita de rezultatul obtinut ;
Am trecut la etapa de tratament restaurativ :
II. Tratamente odontale de restaurare
- tratamente endodontice :
1.1. - tratament endodontic corect cu realizarea in aceeasi sedinta a obturatiei radiculare ( cu SealApex (Kerr) si gutaperca prin metoda condensarii laterale la rece)
- tratamente restaurative :
1.1, 2.1 - dinti devitali, armarea cu ivoti de fibre de sticla dupa tehnica indicata de fabricant :
- dezobturarea canalului radicular pe 6-7 mm
- proba pivotului in canalul radicular (am folosit pivoti 0,50 mm)
- tehnica obtinerii legaturii adezive: aplicarea acidului de gravaj, bonding-ului in canalul pregatit si fixarea adeziva cu ciment dual de fixare Built-It (Pentron)
- refacerea portiunii coronare a bontului cu o capa prefabricata
III. Tratamente protetice :
- aplicarea de coroane integral ceramice din ceramica feldspatica pe masa refractara.
Preparatia clinica
-s-a realizat cu prag in sanfren de aproximativ 1,2 mm.
- reductia marginii incizale de 1,5-2 mm , cu unghiuri rotunjite.
- preparatia dintelui s-a realizat in dubla convergenta a suprafetei vestibulare si orale, cu plasarea marginii cervicale mai profund in sulcus din considerente de ordin estetic.
b) Materiale : - gutiere individuale realizate in laborator

- Opalescence 15% peroxid de carbamida
(Ultradent) pentru albirea dintilor la ambele arcade
- pivoturi de sticla pentru armare
- ciment dual (Bild It-Pentron) pentru refacerea bonturilor
- freze diamantate, in forma de para pentru suprafata ocluzala, cu diametru de 1mm pentru prepararea pragului.
- material de amprentare polieter monofazic (Pentamix 2), silicon de aditie (Zeta Plus), lingura individuala
- rasina compozit autopolimerizabil (Keer- Fill In) pentru realizarea coroanelor provizorii.

suprafata vestibulara si orala s-a preparat prin sectionarea « in canal » a suprafetelor proximale, si ingustarea progresiva pe fata ocluzala cu scopul cresterii retentiei si stabilizarii

4. Amprentarea: - s-a realizat amprenta campului protetic in portamprenta standard cu silicon de aditie (Zeta Plus) de consistenta chitoasa pentru realizarea coroanelor provizorii prin tehnica Scutan, inainte de preparatia coroanelor.

- s-a folosit fir de dilatare (Ultradent) pentru conformarea gingiei in vederea amprentarii.
- s-a realizat amprenta campului protetic in portamprenta individuala cu Pentamix 2, polieter monofazic, pentru realizarea modelului pentru fabricarea coroanelor Jacket


5. Realizarea coroanelor provizorii
- s-a folosit rasina compozit autopolimerizabila( Fill In- Keer), care s-a incarcat in amprenta situatiei initiale,(ulei de parafina) si s-a repus pe campul protetic, asteptandu-se priza materialului.
- s-au lustruit cu pufuri si gume
- s-au cimentat cu material de cimentare provizoriu fara eugenol (Temp-Bond-Keer)

6.Proba coroanelor integral ceramice

7.Cimentarea : - cimentarea finala s-a realizat cu ciment compozit 2 Bond 2(Kultzer) dupa curatarea, degresarea si uscarea in prealabil a coroanelor si preparatiei.
- am realizat gravarea acida a bonturilor cu acid fosforic 37% si gravarea coroanelor integral ceramice cu acid fluorhidric

Situatia initiala si dupa tratament



|
Politica de confidentialitate |
| Copyright ©
2025 - Toate drepturile rezervate. Toate documentele au caracter informativ cu scop educational. |
Personaje din literatura |
| Baltagul – caracterizarea personajelor |
| Caracterizare Alexandru Lapusneanul |
| Caracterizarea lui Gavilescu |
| Caracterizarea personajelor negative din basmul |
Tehnica si mecanica |
| Cuplaje - definitii. notatii. exemple. repere istorice. |
| Actionare macara |
| Reprezentarea si cotarea filetelor |
Geografie |
| Turismul pe terra |
| Vulcanii Și mediul |
| Padurile pe terra si industrializarea lemnului |
| Termeni si conditii |
| Contact |
| Creeaza si tu |