PARTEA PERSONALA - CAZURI CLINICE - Conditionarea restaurarilor protetice fixe in vederea fixarii de durata
Cazul clinic 1
Pacienta C.G. , in varsta de 37 ani , s-a prezentat in serviciul de medicina dentara pentru un consult de rutina , in cadrul caruia a fost depistata pe dintele 3.7 o obturatie veche de compozit care si-a pierdut inchiderea marginala si necesita inlocuirea.

Fig. 1. Pacienta prezinta o obturatie fizionomica la nivelul dintelui 3.7.
Datorita imposibilitatii refacerii punctului de contact printr-o restaurare directa din compozit planul de tratament ales a constat in realizarea unei incrustatii total ceramice, prin tehnica Vita In Ceram.

Fig. 1.2 Dupa indepartarea obturatiei deficitare si exereza dentinei alterate planul de tratament consta in realizarea unei incrustatii total ceramice.
Amprenta a fost inregistrata cu un polivinil siloxan (silicon de aditie) - Elite (Zhermack) prin tehnica in dublu amestec.
Modelul a fost turnat din gips superdur si s-a folosit sistemul Accu Track. Incrustatia a fost conditionata prin gravare acida , urmata de silanizare.

Fig. 1.3 Incrustatia total ceramica a fost realizata prin sistemul Vita In Ceram , iar modelul este turnat din gips superdur.
Fixarea restaurarii a fost realizata dupa urmatorul protocol:
Dintele a fost izolat cu diga si igienizat cu o pasta abraziva fara fluor, care a fost indepartata apoi cu spray-ul de apa;
Pe o hartie cerata speciala au fost mixate Lichidul A si Lichidul B de la sistemul ED Primer (Kuraray);
Preparatia igienizata si uscata a fost conditionata cu un aplicator imbibat in solutia obtinuta din amestecul componentelor sistemului ED Primer;
Dupa 60 de secunde , componenta volatila este indepartata de la nivelul preparatiei prin aplicarea unui jet bland de aer de la spray-ul unitului;
Suprafata adeziva a incrustatiei a fost gravata acid cu Panavia Etching Agent V, care a fost aplicat 5 secunde, apoi indepartat prin spalare cu apa de la spray-ul de aer/apa de la unit si incrustatia a fost uscata;
Silanizarea a fost realizata cu putin timp inaintea fixarii , conform instructiunilor producatorului (Kuraray).
Pentru obtinerea agentului silanic s-au folosit cate o picatura din CLEARFIL SE BOND Primer si CLEARFIL PORCELAIN BOND ACTIVATOR, care au fost mixate pe o hartie cerata speciala si amestecul obtinut s-a aplicat pe suprafata ulterior supusa adeziunii;

Fig. 1.4 Sistemul Panavia 21
Se indeparteaza capacul tubului de Panavia 21 si se roteste capatul opus 360o in sens orar, doza de ciment rasinic rezultata fiind suficienta pentru fixare unei microproteze. Cele doua paste obtinute se amesteca pe o hartie cerata speciala pentru 20-30 secunde;
Se aplica un strat subtire de ciment la nivelul suprafetei ceramice. Nu se aplica ciment si la nivelul preparatiei deoarece conditionarea acesteia cu ED Primer va grabi priza cimentului.
Incrustatia este fixata la nivelul preparatiei cu usoara presiune;
Dupa 60 de secunde nu se mai exercita presiune si se incepe indepartarea excesului de ciment;
Dupa ce s-a indepartat excesul de ciment se aplica OXYGUARD II la marginea incrustatiei, care va fi indepartat dupa 3 minute;
Se finiseaza si se lustruieste restaurarea cu pasta abraziva.

Fig. 1.5 Dupa conditionarea prin gravaj acid si silanizare, fixarea incrustatiei se realizeaza prin intermediul cimentului rasinic Panavia 21.
Cazul clinic
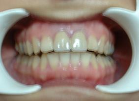
Pacienta B. S. s-a prezentat la medicul dentist din motive estetice, fiind nemultumita de fizionomia coroanelor metalo-ceramice de pe dintii 1.1 si 2.1.

Fig. 2.1 Pacienta s-a prezentat la medicul dentist din motive fizionomice , fiind nemultumita de aspectul restaurarilor metalo-ceramice de pe dintii 1.1 si 2.1.
S-a luat decizia inlocuirii RCR-urilor din Gaudent cu RCR din aur platinat si acoperirea acestora cu coroane total ceramice realizate prin sistemul Empress.

Fig. 2.2 RCR- urile din Gaudent au fost inlocuite cu RCR-uri din aur platinat.
Amprenta a fost inregistrata in silicon de aditie prin tehnica in dublu amestec Elite (Zhermack), iar modelul a fost turnat din gips super dur si a fost folosit sistemul Accu Track.
Coroanele de acoperire total ceramice au fost conditionate prin gravare acida si silanizare, iar cimentul folosit pentru fixare a fost Variolink II.

Fig. 2.3 Coroanele de acoperire metalo-ceramice au fost inlocuite cu restaurari protetice fixe total ceramice, obtinute prin tehnica Empress.
Fixarea a fost realizata respectand urmatorii pasi , indicati de producator (Ivoclar) :
Dupa indepartarea obturatiei provizorii (realizata din ciment provizoriu fara eugenol) si proba restaurarilor , se realizeaza izolarea;
Preparatiile sunt igienizate cu pasta abraziva fara fluor;
Restaurarile protetice fixe sunt conditionate dupa igienizare prin gravare acida cu acid fluorhidric IPS Ceramic Etching Gel aplicat timp de 60 de secunde si indepartat cu un jet bland de apa de la spray-ul unit-ului , urmata de silanizare prin aplicarea de Monobond S timp de 60 de secunde si uscare;
Preparatia este conditionata prin gravarea acida a dentinei 10-15 secunde (acid ortofosforic 37% , Total Etch) , urmata de spalarea cu jet de apa de la spray-ul de aer/apa al unit-ului si uscare;
Se aplica la nivelul preparatiei sistemul adeziv Excite DSC , care se disperseza usor cu spray-ul de aer, dupa care se fotopolimerizeaza;
Cele 2 paste in care se prezinta cimentul rasinic Variolink II se mixeaza timp de 10 secunde pe o hartie cerata speciala;
Cimentul se aplica la nivelul preparatiei si /sau la nivelul intradosului restaurarilor , restaurarile se pozitioneaza in situ cu o presiune usoara si se indeparteaza excesul de ciment de la marginile restaurarii;
Se fotopolimerizeaza cimentul 40 de secunde;
Restaurarile se finiseaza si se lustruiesc;
La nivelul marginilor restaurarii se aplica preparate fluorurate.

Fig. 2.4 Dupa conditionarea prin gravare acida si silanizare , restaurarile au fost fixate cu cimentul rasinic Variolink II.
Cazul clinic 3
Pacienta M. M. s-a prezentat in serviciul de medicina dentara cu o edentatie de 2.2 pe care o dorea protezata. Pacienta a refuzat atat tratamentul implanto-protetic , cat si cel ortodontic care i s-au propus. S-a optat pentru ca planul de tratament sa fie reprezentat de o punte adeziva metalo-ceramica.

Fig 3.1. Pacienta s-a prezentat la medicul dentist cu o edentatie de 2.2.
Amprenta a fost inregistrata intr-un elastomer de sinteza - siliconul de aditie Elite (Zhermack), folosit prin tehnica in dublu amestec.
Modelul tip Pindex a fost turnat intr-un gips superdur.

Fig. 3.2 Modelul a fost realizat din gips superdur.
Conditionarea elementelor de agregare metalice s-a realizat prin sablare si silanizare cu primeri metalici.
Fixarea s-a realizat cu cimentul Multilink Automix(Ivoclar), un ciment compozit autopolimerizabil si, optional, fotopolimerizabil.

Fig. 3.3 Dintii pe care se vor fixa elementele de agregare sunt izolati si conditionati.
Fixarea s-a realizat dupa intructiunile de utilizare recomandate de producator (Ivoclar) :
Dupa realizarea probei restaurarii, se izoleaza dintii pe care se vor fixa elementele de agregare cu diga si se igienizeaza cu o pasta abraziva fara fluor;
Restaurarea se conditioneaza prin sablare; daca este nevoie restaurarea se curata intr-o baie ultrasonica timp de 1 minut si apoi se usuca;
Pe suprafata anterior sablata a restaurarii se aplica Monobond Plus si dupa 1 minut se disperseaza cu un jet puternic de aer;
Sistemul adeziv compus din Multilink Primer A si Multilink Primer B se amesteca intr-o proportie de 1:1 pe o hartie cerata speciala si intr-un interval de 10 minute se pot aplica la nivelul preparatiei ( se poate obtine o adeziune superioara prin folosirea unui sistem adeziv ce contine agentul gravant - acid ortofosforic 37% - separat) ;
Mix-ul obtinut este lasat sa actioneze timp de 15 secunde la nivelul dentinei si 30 de secunde la nivelul smaltului , fiind ulterior uscat cu un jet puternic de aer - nu este nevoie de fotopolimerizare , primerul fiind autopolimerizabil;
Dupa indepartarea capacului seringii de Multilink Automix si inlocuirea varfului aplicator, cimentul se aplica direct la nivelul suprafetei adezive a restaurarii;
Restaurarea se pozitioneaza in situ si se mentine cu o presiune usoara ;
Cimentul Multilink Automix este un ciment rasinic compozit autopolimerizabil , insa daca se doreste accelerarea reactiei de priza se poate activa si priza foto , exploatand astfel calitatea acestui ciment de a fi optional fotopolimerizabil. Înainte de obtinerea prizei se indeparteaza excesul de ciment de la marginile restaurarii;
Nota : este cunoscut faptul ca Multilink Automix , ca orice alt ciment compozit are o reactie de priza asupra careia oxigenul are efect inhibitor si de aceea stratul superficial de ciment de la nivelul marginilor restaurarii ramane nepolimerizat. Pentru a impiedica producerea acestui fenomen,imediat dupa indepartarea excesului de ciment se poate aplica glicerina , cu rol izolator, la nivelul marginilor restaurarii.
Dupa realizarea prizei cimentului, restaurarea fixata adeziv se finiseaza si se lustruieste.

Fig. 3.4 Restaurarea este agregata adeziv cu cimentul compozit Multilink Automix.
Cazul clinic
Pacienta D. E. s-a prezentat la medicul dentist cu o edentatie de 1.4 pe care o dorea protezata; dintii vecini edentatiei erau integri. Pacienta a refuzat tratamentul implanto-protetic propus si s-a optat pentru realizarea unei punti adezive metalo-ceramice.

Fig. 4.1 Pacienta s-a prezentat cu o edentatie de 1.4 , avand dintii vecini integri.
Amprenta a fost inregistrata in siliconul de aditie Elite (Zhermack), folosit prin tehnica in dublu amestec.
Modelul tip Pindex a fost turnat intr-un gips superdur.

Fig. 4.2 Modelul Pindex a fost turnat din gips superdur.
Conditionarea elementelor de agregare metalice s-a realizat prin sablare si silanizare cu primeri metalici.
Fixarea s-a realizat cu cimentul Multilink Automix(Ivoclar).

Fig. 4.3 Planul de tratament este reprezentat de o punte adeziva metalo-ceramica fixata cu cimentul Multilink Automix.
Fixarea s-a realizat dupa intructiunile de utilizare recomandate de producator (Ivoclar) :
Dupa realizarea probei restaurarii, se izoleaza dintii pe care se vor fixa elementele de agregare cu diga si se igienizeaza cu o pasta abraziva fara fluor;
Restaurarea se conditioneaza prin sablare; daca este nevoie restaurarea se curata intr-o baie ultrasonica timp de 1 minut si apoi se usuca;
Pe suprafata anterior sablata a restaurarii se aplica Monobond Plus si dupa 1 minut se disperseaza cu un jet puternic de aer;
Sistemul adeziv compus din Multilink Primer A si Multilink Primer B se amesteca intr-o proportie de 1:1 pe o hartie cerata speciala si intr-un interval de 10 minute se pot aplica la nivelul preparatiei;
Mix-ul obtinut este lasat sa actioneze timp de 15 secunde la nivelul dentinei si 30 de secunde la nivelul smaltului, fiind ulterior uscat cu un jet puternic de aer - nu este nevoie de fotopolimerizare, primerul fiind autopolimerizabil;
Dupa indepartarea capacului seringii de Multilink Automix si inlocuirea varfului aplicator, cimentul se aplica direct la nivelul suprafetei adezive a restaurarii;
Restaurarea se pozitioneaza in situ si se mentine cu o presiune usoara ;
Cimentul Multilink Automix este un ciment rasinic compozit autopolimerizabil, insa daca se doreste accelerarea reactiei de priza se poate activa si priza foto, exploatand astfel calitatea acestui ciment de a fi optional fotopolimerizabil.
Înainte de obtinerea prizei se indeparteaza excesul de ciment de la marginile restaurarii si pentru a impiedica efectul inhibitor pe care il are oxigenul asupra reactiei de priza, se poate aplica glicerina, cu rol izolator, la nivelul marginilor restaurarii;
Dupa realizarea prizei cimentului, restaurarea fixata adeziv se finiseaza si se lustruieste.

Fig. 4.4 Dupa fixarea adeziva, restaurarea protetica este finisata si lustruita.
Cazul clinic 5
Pacienta P. A. s-a prezentat la medicul dentist din motive fizionomice, dorind schimbarea coroanelor de acoperire metalo-ceramice de pe dintii 1.1 si 2.1. Planul de tratament ales a fost realizarea de coroane total ceramice obtinute prin tehnica Empress.

Fig. 5.1 Pacienta s-a prezentat la medicul dentist pentru a-si schimba coroanele de acoperire metalo-ceramice de pe dintii 1.1 si 2.1.
Amprenta a fost inregistrata cu silicon de aditie Elite (Zhermack) , iar modelul Pindex a fost turnat in gips superdur.

Fig. 5.2 Modelul tip Pindex a fost turnat in gips superdur.
Restaurarile protetice au fost conditionate prin gravare acida si silanizare si fixate adeziv cu cimentul dual Duolink (Bisco Dental Products , Canada).

Fig. 5.3 Restaurarile protetice au fost conditionate prin gravare acida si silanizare si fixate adeziv cu cimentul dual Duolink.
Fixarea a fost realizata in conformitate cu indicatiile producatorului (Bisco) :
Restaurarile provizorii au fost indepartate , iar preparatiile au fost izolate si igienizate cu pasta abraziva fara fluor;
Se aplica agentul adeziv ONE STEP la nivelul preparatiei anterior uscate;
Restaurarile protetice se conditioneaza prin gravare cu acid fluorhidric Porcelain Etch (Bisco) care dupa 60 de secunde este indepartat prin spalare cu apa de la spray-ul unit-ului;
Fig. 5.4 Intradosul pieselor protetice a fost conditionat cu acid fluorhidric , apoi silanizat.
Dupa gravarea acida, intradosul pieselor protetice este silanizat prin aplicarea a 1-2 straturi subtiri de Bis-Silane sau Porcelain Primer , care este lasat sa actioneze 30 de secunde , dupa care este indepartat cu un jet de aer;
Cimentul rasinic Duolink se prezinta sub forma de 2 paste incorporate intr-un tub. Cele 2 paste se amesteca in proportii egale pe o hartie cerata speciala timp de 10-15 secunde , pana cand se omogenizeaza;
Cimentul se aplica la nivelul intradosului pieselor protetice , care se vor pozitiona in situ si la nivelul lor se va aplica o presiune usoara;
Se indeparteaza excesul de ciment de la marginile restaurarii;

Fig. 5.5 Dupa aplicarea restaurarilor in situ aplicand o presiune usoara, excesul de ciment se indeparteaza de la marginile restaurarii.
Se fotopolimerizeaza fiecare suprafata a restaurarilor timp de 40 de secunde;
Restaurarile sunt finisate si lustruite.
Cazul clinic 6
Pacientul N. C. s-a prezentat in serviciul de medicina dentara pentru reabilitare orala completa. La nivelul dintelui 3.7 pacientul prezenta o leziune carioasa profunda ce submina partial cuspizii vestibulari. S-a optat pentru realizarea unei incrustatii dintr-un material polimeric, un ceromer produs de firma Shofu - Ceramage.

Fig. 6.1 Pacientul prezinta la nivelul dintelui 3.7 o leziune carioasa profunda.
Amprenta a fost inregistrata cu siliconul de condensare Speedex (Coltene)prin tehnica wash technique, iar modelul a fost turnat in gips superdur.
Incrustatia a fost conditionata prin sablare si aplicarea unui activator pentru compozit - Composite Activator (Bisco), iar fixarea adeziva a fost realizata cu cimentul rasinic Maxcem Elite (Kerr), un ciment rasinic dual.
Fixarea a fost realizata conform instructiunilor producatorului (Kerr):
Dupa indepartarea obturatiei provizorii si proba restaurarii, preparatia a fost izolata cu diga si igienizata cu o pasta abraziva fara fluor;
Piesa protetica a fost conditionata prin sablare si aplicarea unui metil metacrilat cu rolul de a scadea tensiunea de suprafata a ceromerului - Composite Activator (Bisco). Composite Activator a fost lasat sa actioneze 30 de secunde apoi dispersat usor cu jetul de aer de la spray-ul unit-ului;

Fig. 6.2 Incrustatia a fost conditionata prin sablare si aplicarea unui activator pentru compozit.
Cimentul rasinic dual Maxcem Elite este un ciment autogravant , ce nu necesita o conditionare anterioara a suprafetelor dentare. El se aplica foarte usor la nivelul restaurarilor, datorita varfului aplicator special , care faciliteaza mixarea omogena a celor 2 paste componente ale cimentului;
Dupa aplicarea la nivelul preparatiei cu o presiune usoara, se va indeparta excesul de ciment de la marginile restaurarii;

Fig. 6.3 Restaurarea se fotopolimerizeaza 40 de secunde pentru fiecare suprafata.
Restaurarea se fotopolimerizeaza timp de 40 de secunde pentru fiecare suprafata.
Dupa priza finala, restaurarea se finiseaza si se lustruieste;
Optional se pot aplica preparate fluorurate sau varnish-uri la nivelul marginilor restaurarii.
Fig. 6.4 Incrustatia a fost fixata cu cimentul rasinic dual Maxcem Elite.
CONCLUZII
În conditionarea restaurarilor protetice fixe trebuie sa avem in vedere doua directii principale: conditionarea micromecanica , ce grupeaza totalitatea metodelor de conditionare ce creaza microretentii la nivelul intradosului piesei protetice , cu scopul de a mari suprafata de adeziune si conditionarea chimica, cu scopul de a crea legaturi chimice intre materialul din care este confectionata restaurarea si materialul utilizat pentru fixarea ei.
Aliajele nenobile pe baza de Ni-Cr se conditioneaza in vederea fixarii de durata prin gravare electrolitica si silanizare sau sablare si silanizare.
Aliajele Co-Cr si Ni-Cr se pot trata prin tehnica Silicoater MD sau Rocatec, ultima dand cele mai bune valori.
Aliajele nobile nu se pot trata prin gravare electrolitica, folosindu-se insa ca metode de conditionare sablarea si cositorirea in combinatie cu silanizarea. Valorile obtinute prin aplicarea primerilor pentru metal (Alloy Primer) pe suprafata sablata a aliajului nobil sunt comparabile cu cele obtinute prin cositorire.
Ceramica sticloasa si ceramica feldspatica se conditioneaza prin gravare cu acid fluorhidric si silanizare. Ca alternativa la gravajul acid se pot utiliza sablarea, conditionarea cu laser, silicatizarea prin metodele Silicoater, Rocatec sau Cojet.
Gravajul acid este ineficient in cazul ceramicii zirconice sau aluminice.
Ceramica pe baza de oxizi de aluminiu si zirconiu se conditioneaza prin sablare sau silicatizare si silanizare.
Restaurarile din materiale polimerice (rasini compozite, polisticle, ceromeri) se conditioneaza prin sablare si silanizare sau sablare si aplicarea unui activator pentru compozit pe baza de metil metacrilat cu rolul de a scadea tensiunea de suprafata a materialului.
Pentru fixarea coroanelor de invelis metalo-ceramice se poate folosi orice tip de ciment. Pentru coroanele sau protezele partiale fixe cu retentie slaba sau agregate adeziv se indica folosirea doar a cimenturilor rasinice.
Coroanele total ceramice obtinute prin presare, fatetele, inlay-urile si onlay-urile total ceramice se pot fixa numai cu cimenturi rasinice.
Coroanele total ceramice cu nucleu de oxid de zirconiu sau aluminiu se pot fixa cu cimenturi rasinice, ciment cu ionomeri de sticla sau prin metoda conventionala cu ciment fosfat de zinc.
Compomerii sunt indicati pentru fixarea conventionala a inlay-urilor, onlay-urilor, coroanelor de invelis, protezelor partiale fixe si RCR-urilor si pentru fixarea adeziva a inlay-urilor, onlay-urilor, coroanelor de invelis si fatetelor ceramice, cu rezerva ca acestia prezinta proprietati mecanice inferioare cimenturilor rasinice.
Viitoare posibile directii de cercetare ar putea viza noi metode de conditionare pentru materialele polimerice inca insuficient explorate si evaluarea calitatii adeziunii restaurarilor total ceramice pe baza de oxizi de zirconiu conditionate doar chimic prin silanizare. Aceasta ultima idee a fost pusa in evidenta de numeroase studii care au aratat ca desi rezultatele conditionarii micromecanice prin diverse tehnici (sablare, silicatizare) a ceramicii aluminice si zirconice au fost mai slabe decat in cazul ceramicii feldspatice sau sticloase, valoarea puterii de adeziune era similara dupa silanizare si fixare.
|
Politica de confidentialitate |
| Copyright ©
2025 - Toate drepturile rezervate. Toate documentele au caracter informativ cu scop educational. |
Personaje din literatura |
| Baltagul – caracterizarea personajelor |
| Caracterizare Alexandru Lapusneanul |
| Caracterizarea lui Gavilescu |
| Caracterizarea personajelor negative din basmul |
Tehnica si mecanica |
| Cuplaje - definitii. notatii. exemple. repere istorice. |
| Actionare macara |
| Reprezentarea si cotarea filetelor |
Geografie |
| Turismul pe terra |
| Vulcanii Și mediul |
| Padurile pe terra si industrializarea lemnului |
| Termeni si conditii |
| Contact |
| Creeaza si tu |