EVALUAREA ULTRASONOGRAFICA A DETERMINARILOR GANGLIONARE SI PARENCHIMATOASE IN PATOLOGIA HEMATOLOGICA
INTRODUCERE
Afectiunile cele mai frecvente in patologia hematologica sunt reprezentate de limfoamele maligne - Hodgkin si non-Hodgkin - si de leucemii. Diagnosticul, stadializarea si monitorizarea acestor pacienti impun examinarea imagistica periodica a acestora.
Solutiile terapeutice multiple, aparitia de noi medicamente si urmarirea constanta a efectelor acestora necesita o colaborare stransa intre medicul hematolog si departamentul de radiologie-imagistica medicala. Medicul radiolog, cunoscand in detaliu avantajele si dezavantajele fiecarei metode imagistice, poate aprecia impreuna cu clinicianul utilitatea si frecventa folosirii acestora in functie de cerintele diagnostice si de monitorizare ale pacientului hematologic.
METODA SI DISCUTII
Metoda imagistica cel mai des utilizata, avand ca avantaje lipsa efectelor nocive si pretul de cost relativ scazut, este ultrasonografia. Principala manifestare cu importanta imagistica a limfoamelor si leucemiilor este aparitia adenopatiilor. Evaluarea primara a acestora si monitorizarea evolutiei lor sub efectul terapiei impun ecografia ca metoda cel mai usor de folosit, fara restrictii importante de frecventa si costuri.
. Este foarte bine cunoscut insa ca singur acest criteriu dimensional nu este suficient pentru caracterizarea adenopatiilor In literatura de specialitate se speculeaza cu privire la localizarea adenopatiilor din limfoame care ar fi mai frecvente retrocrurale. Din experienta proprie pot relata ca am intalnit in limfoamele non-Hodgkiniene numeroase adenopatii, unele chiar de mari dimensiuni, pana la 4-4,5 cm, in epigastru: peripancreatic, in hilul hepatic si adiacente trunchiului celiac. retroperitoneale nu par sa ajunga la dimensiuni atat de mari, avand in majoritatea cazurilor o ecogenitate redusa, cu sinusul imposibil de evidentiat ecografic. Unele intens hipoecogene ajung sa stearga, sa "silueteze" contururile vasculare aortice si cave.
Evident ca aprecierile morfologice ecografice sunt cu atat mai precare cu cat profunzimea zonei de interes este mai mare. Poate de aceea descrierile de mai sus sunt mai putin valabile pentru adenopatiile profunde lomboaortice si interaortico-cave investigate cu sonde de 3,5 MHz si mai frecvent intalnite la ganglionii superficiali din epigastru (la pacientii sub- sau normoponderali) si mai ales la cei laterocervicali, axilari, inghinali si chiar iliaci externi inferiori examinati cu sonde de 7,5-10 MHz. Din acest motiv sensibilitatea si specificitatea examenului ultrasonografic al ganglionilor profunzi sunt de aproximativ 42-45% respectiv 48-51% conform literaturii internationale. In cazul adenopatiilor superficiale criteriul dimensional ofera o sensibilitate de 74% si o specificitate de 78% in aprecierea infiltrarii maligne. La nivel laterocervical ganglionii de peste 8-9 mm sunt considerati anormali. Din experienta proprie, la acest nivel se pot diagnostica adenopatii maligne de pana la 3-4 mm diametru, rotunde, fara morfologie ecografica normala. Cazurile respective au fost verificate prin examene IRM si histopatologic. Raportul intre diametrul minim si cel maxim prezinta o specificitate de 63% si o sensibilitate de pana la 93% pentru adenopatiile laterocervicale. Putem aprecia ca valoarea mare a sensibilitatii se datoreaza capacitatii ecografului de a surprinde valorile exacte ale diametrelor maxim si minim prin rotirea transductorului in orice plan al spatiului in timp real. Din nou trebuie sa remarcam ca este extrem de dificil sa diferentiem cu adevarat adenopatiile limfomatoase primare de adenopatiile metastatice.
In aceasta privinta examenul Doppler spectral si power-angio incearca sa gaseasca solutii viabile. Astfel, valori ale indicelui de rezistivitate IR>0,8 si ale indicelui de pulsatilitate IP>1,8 sunt specifice 100% pentru infiltrarea maligna metastatica, in timp ce viteza diastolica minima (EDV) este mai mare in cazul limfoamelor, pana la 7-10 cm/s fata de metastazele ganglionare unde ajunge la maxim 3,5-6 cm/s. In cazul limfoamelor IR este de aproximativ 0,6-0,7, iar IP de circa 0,8-1,3, neajungand la valorile extreme ale determinarilor secundare. Analiza power-angio a ganglionilor superficiali stabileste ca vascularizatia adenopatiilor limfomatoase prezinta distorsiuni la nivelul hilului, nu este accentuata si, cel mai important, ganglionul nu are circulatie periferica amplificata. Prezenta circulatiei periferice accentuate este specifica adenopatiilor metastatice, insotita fiind de reducerea importanta a circulatiei in regiunea hilara, infiltrata. Adenopatiile inflamatorii acute se manifesta cu o amplificare masiva a vascularizatiei sinusale care se poate urmarii pana la periferie, in timp ce ganglionii reactivi au o circulatie mai saraca. Examenul power-Doppler este mult facilitat de administrarea de substante de contrast. Analizele Doppler prezentate pot contribui la selectarea mai riguroasa a pacientilor propusi pentru punctie diagnostica.
Valorile prezentate mai sus, ale sensibilitatii si specificitatii examenului ecografic indica fara dubiu ca ultrasonografia trebuie sa aiba un rol de evaluare primara si mai ales de urmarire frecventa a evolutiei pacientului hematologic, dupa obtinerea unui diagnostic cat mai exact cu ajutorul tomografiei computerizate si/sau al rezonantei magnetice, insotite de punctia bioptica. Chiar si dupa ce aceste conditii au fost indeplinite examenul computer-tomografic se impune la un interval cuprins intre 3 si 6 luni in functie de gravitatea, complexitatea si evolutia cazului.
In cazul determinarilor parenchimatoase ale limfoamelor non-Hodgkin ecografia se poate dovedi utila in evaluarea si monitorizarea formatiunilor nodulare evidentiabile prin aceasta metoda. Este unanim recunoscut faptul ca ultrasonografia nu poate identifica infiltrarile limfomatoase difuze hepatice, pancreatice sau splenice, insa poate orienta radiologul in alegerea optima a metodelor diagnostice pentru leziunile focale de la nivelul acestor organe. Ecografia poate aprecia cu usurinta hepato- si splenomegalia oferind si informatii morfologice asupra eventualelor infarcte splenice potential periculoase pentru pacient. Avantajul acestui examen consta si in posibilitatea aprecierii vascularizatiei leziunii inaintea administrarii de substante de contrast intravenos. Organe superficiale ca sanul si tiroida sunt cel mai bine evaluate ecografic pentru determinari limfomatoase de organ.
Rar putem identifica ecografic determinari secundare renale in mielomul multiplu, fara vreo semnificatie diagnostica certa in lipsa unor probe de laborator concludente. De asemenea determinarile limfomatoase renale pot fi surprinse ecografic atunci cand iau aspect tumoral. Examenele imagistice ulterioare cu administrarea substantelor de contrast sunt esentiale pentru stabilirea diagnosticului.
CONCLUZII
Analizand toate calitatile examenului ultrasonografic cu avantajele si dezavantajele sale putem aprecia ca aceasta metoda este indispensabila, in contextul impunerii din ce in ce mai categorice a medicinii bazate pe dovezi, pentru diagnosticul, stadializarea si monitorizarea bolnavului hematologic. Ecografia este un instrument care nu necesita precautiuni speciale, rapid, usor de folosit si care poate furniza informatii importante in mana unui practician experimentat.
Figuri


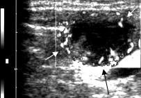
Fig.1.Adenopatie limfomatoasa cu flux hilar Fig.2.Adenopatie metastatica cu
distorsionat, fara accentuare semnificativa a accentuare importanta a circulatiei
vascularizatiei.Power-Doppler periferice.Power-Doppler

Fig.3.Adenopatii limfomatoase de ecogenitate Fig.4.Adenopatii metastatice care
medie care nu sterg conturul aortic si al venei sterg contururile vasculare
cave. adiacente.

Fig.5.Leziuni nodulare limfomatoase Fig.6.Adenopatie limfomatoasa de
splenice hipoecogene sau cu halou mari dimensiuni (>4 cm) neomogena
hipoecogen

Fig.7. Determinare limfomatoasa de san Fig.8.Determinare limfomatoasa
hepatica
![]()
Fig.9. Leziune nodulara renala intr-un mielom
multiplu (determinare renala?)
EVALUAREA ULTRASONOGRAFICA A DETERMINARILOR GANGLIONARE SI PARENCHIMATOASE IN PATOLOGIA HEMATOLOGICA
REZUMAT
Introducere. In patologia hematologica (limfoame, leucemii) evaluarea imagistica a adenopatiilor este un instrument important pentru un diagnostic complet si monitorizarea pacientilor.
Metoda si discutii. Concluzii. Ultrasonografia este indispensabila diagnosticului, stadializarii si monitorizarii bolnavului hematologic, cu cel putin doua examene pe trimestru.
CUVINTE CHEIE
Ultrasonografie, Doppler, limfom, adenopatie, determinari parenchimatoase.
Referinte bibliografice
1. van den Brekel MW, Stel HV, Castelijns JA, et al. Cervical lymph node metastasis:
assessment of radiologic criteria. Radiology 1990 -84.
2. van den Brekel MW, Bartelink H, Snow GB. The value of staging of neck nodes in patients treated with radiotherapy. Radiother Oncol 1994;32:193-6.
3. Brown G, Richards CJ, Bourne MW, et al. Morphologic predictors of lymph node status in rectal cancer with use of high-spatial resolution MR imaging with histopathologic comparison. Radiology 2003;227:371-7.
4. Sakai O, Curtin HD, Romo LV, Som PM. Lymph node pathology. Benign proliferative. Radiol Clin N Am 2000 -98.
5. Van den Brekel M, Castelijns JA. Imaging of lymph nodes in the neck. Semin Roentgenol 2000 -53.
Dorfman RE,
7. Metreweli C, Ward SC. Ultrasound demonstration of lymph nodes in the hepatoduodenal ligament (daisy chain nodes) in normal subjects. Clin Radiol 1995;50:99-101.
Ito K, Choji T, Fujita T, et al. Imaging of the portacaval space. AJR Am J Roentgenol 1993;161:329-34.
Van Den Brekel M, Stel HV, Castelijns JA, Nauta JJ, Van Der Waal I, Valk J, Meyer CJ, Snow GB. Cervical lymph node metastasis: assessment of radiologic criteria. Radiology 1990 - 84.
10. Chang DB, Yuan A, Yu CJ, Luh KT, Kuo SH, Yang PC (1994) Differentiation of benign and malignant cervical lymph nodes with color Doppler sonography. Am J Roentgenol 162:965-968
11. Tschammler A, Ott G, Schang T, Seelbach-Goebel B, Schwager K, Hahn D (1998) Lymphadenopathy: differentiation of benign from malignant disease-color Doppler US assessment of intranodal angioarchitecture. Radiology 208:117-123
12. Steinkamp HJ, Teichgraber UK, Mueffelmann M, Hosten N, Kenzel P, Felix R (1999) Differential diagnosis of lymph node lesions. A semiquantitative approach with power Doppler sonography. Invest Radiol 34:509-515
13. Adibelli ZH, Unal G, Gul E, Uslu F, Kocak U, Abali Y (1998) Differentiation of benign and malignant cervical lymph nodes: value of B-mode and color-Doppler sonography. Eur J Radiol 28:230-234
14. Moritz DJ, Ludwig A. Color Doppler boosts staging of lymph nodes. Eur J Ultrasound 1999; 11: 49-54
|
Politica de confidentialitate |
| Copyright ©
2025 - Toate drepturile rezervate. Toate documentele au caracter informativ cu scop educational. |
Personaje din literatura |
| Baltagul – caracterizarea personajelor |
| Caracterizare Alexandru Lapusneanul |
| Caracterizarea lui Gavilescu |
| Caracterizarea personajelor negative din basmul |
Tehnica si mecanica |
| Cuplaje - definitii. notatii. exemple. repere istorice. |
| Actionare macara |
| Reprezentarea si cotarea filetelor |
Geografie |
| Turismul pe terra |
| Vulcanii Și mediul |
| Padurile pe terra si industrializarea lemnului |
| Termeni si conditii |
| Contact |
| Creeaza si tu |