PATOLOGIA FICATULUI
MALFORMATII
Agenezia ficatului - absenta organului - malformatie incompatibila cu viata.
Hipoplazia ficatului - dezvoltarea insuficienta (lob stang)
Ficat chistic - solitar/boala polichistica prin anomalii in dezvoltarea cailor biliare
LEZIUNI DISTROFICE
2.1. Degenerescenta hepatica - etiologie: hipoxie, intoxicatii, boli infecto-contagioase; mecanism: deficit ale sistemelor energetice celulare T dezechilibre ionice cu iesirea K din celula si intrarea Na + apa
MACRO - ficat marit de volum, culoare rosie-palida, capsula sub tensiune; consistenta si elasticitate reduse; pe sectiune aspect palid, umed si mat, comparat cu "carnea fiarta"
MO:
intumescenta tulbure - hepatocite mari cu membrane vizibile, citoplasma fin granulara, nucleu normal
degenerescenta vacuolara - hepatocite marite de volum cu vacuole intracitoplasmatice inegale, imprecis delimitate si nucleu cu marginatie cromatiniana
degenerescenta granulara - hepatocite ce prezinta intracitoplasmaic granulatii acidofile neregulate si modificari nucleare de tipul cariopicnozei
2.2. Steatoza hepatica - acumularea de trigliceride in exces la nivelul citoplasmei hepatocitelor prin aport alimentar excesiv, carente proteice, hipoxia ce deficit de oxido-reducere
MACRO - ficat marit de volum, dar cu greutate normala, consistenta pastoasa, friabila; pe sectiune urma de grasime pe cutit; steatoze centrolobulare, steatoze exolobulare, steatoze difuze
MO - citoplasma hepatocitara contine vacuole optic goale bine delimitate, dimensiuni variabile, nuclei normali impinsi la periferie sau cu aspect de picnoza, liza, rexa (coloratii pentru grasimi Sudan, Scharlach)
Fig 1 Degenerescenta
intralobulara moderata. HE, 10x
Fig 2 Steatoza + degenerescenta
granulo-vacuolara. HE, 10x
Atrofia hepatica:
atrofia bruna - in senescenta si la finalul evolutiei bolilor cronice casectizante; MACRO - ficat redus de volum, culoare bruna, margini ascutite, consistenta crescuta; MO - hepatocite mici cu pigment brun-negricios (lipofuscina) intracitoplasmatic
atrofie galbena - in hepatitele epidemice fulminante si intoxicatii; MACRO - ficat mult redus de volum, culoare galbena, margini ascutite, consistenta friabila; MO - steatoza degenerativa cu pastrarea arhitecturii hepatice, in care hepatocitele au citoplasma vacuolizata si nuclei picnotici
atrofia rosie - in caz de supravietuire a bolnavilor cu atrofie galbena; MACRO - ficat redus de volum / volum normal, culoare galben-cenusie ce alterneaza cu zone rosietice, consistenta friabila; MO - bulversarea arhitecturii hepatice ce prezinta zone de parenchim hepatic normal ce alterneaza cu zone de tesut de granulatie bogat vascularizat si zone de hemoragie.
LEZIUNI CIRCULATORII
Infarct alb - obstructia embolica a unui ram al arterei hepatice; MACRO - forma triunghiulara, baza la periferie, net delimitata de un lizereu de demarcatie, culoare albicioasa-cenusie, consistenta ferma; MO - necroza de coagulare
Infarct rosu (infarct Zhan) - obstructia unui ram vena porta, in conditiile unei hipertensiuni portale; MACRO - forma triunghiulara, culoare violacee, dimensiuni mari, zona mai putin bine delimitata; MO -
staza hepatica T degenerescente
4. INFLAMATII (HEPATITE)
Etiologie: infectioasa: virusuri (hepatitice, Epstein-Barr, citomegalic), bacterii (febra tifoida, scarlatina, difterie, lepra, bruceloza), paraziti (malarie), fungi (candida); neinfectioasa: toxice medicamentoase (tuberculostatice, antibiotice), iradierea, alcoolul.
Modificari morfologice generale in hepatite:
4.1. EPATITELE ACUTE - frecvent origine virala - virusurile hepatitice A, B, C, D, E
HEPATITA VIRALA ACUTA - FORMA COMUNA
MACRO - ficat marit de volum, culoare normala/diverse nuante de verde (dupa intensitatea colostazei)
MO - necroza, degenerescenta + colostaza, inflamatie, regenerare; caracteristica este dezorganizarea trabeculelor hepatice, dar cu pastrarea arhitecturii lobulare normale. Aspectul corespunde unui polimorfism lezional "pestrit" , datorat hipercelularitatii si polimorfismului celular:
MO: necroza hepatocitara masiva in special centro si mediolobulara / necroza de lichefactie difuza cu colabarea /interesarea retelei de reticulina; daca supravietuieste si a fost afectata reteaua de reticulina regenerare sub forma de noduli separati de benzi late de tesut fibro-colagen cicatricial
boala infecto-contagioasa, transmitere orala prin apa si alimente contaminate;
morfologic - hepatita acuta forma comuna
evolutie - favorabila, rar forme fulminante, nu se cronicizeaza, nu malignizeaza
caracter endo-epidemic, transmitere parenterala (transfuzii, perfuzii, dializa, secretii, contact sexual)
morfologic - hepatita acuta forma comuna
evolutie: rar (1-4%) forme fulminante, hepatita cronica T ciroza, hepatocarcinom
transmitere parenterala / prin contact personal
morfologic - hepatita acuta forma comuna, hepatocarcinom
evolutie: rar forme fulminante, hepatita cronica T ciroza hepatica
transmitere parenterala, coexista cu virusul B
morfologic - hepatita acuta forma comuna
evolutie: forme fulminante, hepatita cronica T ciroza, hepatocarcinom
boala epidemica, transmitere orala
morfologic - hepatita acuta forma comuna
evolutie: rar forme fulminante, nu se cronicizeaza, nu malignizeaza
Hepatite acute seroase - etiologie toxica (tireotoxicoza, avitaminoza B2, intoxicatie histaminica; MACRO - ficat marit de volum; pe sectiune aspect lucios si structura lobulara pastrata; MO - necroza minima, leziuni de degenerescenta, exudat fin granular in spatiile Disse
Hepatite acute supurate (abcese hepatice) - etiologie infectioasa: bavcteriile (E coli, streptococ, stafilococ), fungi (actinomices), paraziti (amoeba, echinococus)
Abcese piemice - prin vehicularea embolilor septici pe cale arteriala (artera hepatica) de la o endocardita vegetanta, parotidita supurata; MACRO - abcese mici
Abcese pileflebitice - emboli septici vehiculati pe cale venoasa (vena suprahepatica - embolie retrograda de la o tromboflebita membre inferioare; vena porta - emboli septici de la o apendicita acuta supurata, colita ulceroasa, tumori gastro-intestinale infectate; MACRO - abcese multiple sub forma de ciorchine, cu tendinta la confluare
Abcese colangitice - emboli diseminati pe cale canaliculara biliara de la o colangita supurata; MACRO - abcese multiple, confluente, galbene-verzui din cauza bilei
MO - abces recent - la periferie membrana piogena, in cavitate inflam cu PMN-uri degenerate (piocite), necroza de lichefactie, germeni microbieni; abces vechi - periferie capsula colgena
Evolutie locala: abcese mici - substitutie prin tesut fibros cicatricial +/- calcificare; abcese mari delimitate la periferie de capsula fibrocolagena densa care se ingroase progresiv inchistare, dar cu persistenta germenilor microbieni; la distanta:
Evolutie la distanta: abcese subhepatice, subfrenice, cele subcapsulare T peritonita
Hepatite acute colangitice
staza biliara prelungita in caile biliare intrahepatice
MO - degenerescenta + inflam in sp porte
Evolutie: vindecare, hepatita cronica T ciroza biliara
HEPATITELE CRONICE - inflamatii cronice cu durata de peste 6 luni
Etiologie: infectioasa: virusurile hepatitice B, C, D, Mycobacteriun tuberculosis (TBC), treponema pallidum (sifilis), lepra, actinomyces; neinfectioasa: medicamente, alcool, substante chimice); deficite enzimatice (alfa 1 antitripsina).
- pot fi: minimale, usor active, moderat active, sever active
MO-
Tabel 1 Grading in hepatita cronica - activitatea necrotico-inflamatorie (Batts si Ludwig modificat) (dupa Ciurea si col, 2003)
|
Scor |
Descriptiv |
Inflamatie limfocitara/piecemeal necrosis |
Necroza si inflamatie lobulara |
|
Inflamatie portala Activitate absenta |
Absenta |
Absenta |
|
|
Minimala |
Parcelara, afecteaza putine spatii porte |
Necroza parcelara ocazionala |
|
|
Usoara |
Afecteaza <25% din circumferinta unora sau tuturor spatiilor porte |
Afectare hepatocelulara redusa, cu rare necroze parcelare, interesand <1/3 din lobul |
|
|
Moderata |
Afecteaza <50% din circumferinta spatiilor porte |
Afectare hepatocelulara semnificativa, interesand 1/3 - 2/3 din lobul |
|
|
Severa |
Afecteaza >50% din circumferinta spatiilor porte, poate exista bridging necrosis |
Afectare hepatocelulara importanta, interesand >2/3 din lobul |
Tabel 2 Staging in hepatita cronica - stadiile fibrozei (Batts si Ludwig modificat) (dupa Ciurea si col, 2003)
|
Scor |
Descriptiv |
Criterii |
|
Fibroza absenta |
Tesut conjunctiv normal |
|
|
Fibroza portala |
Spatii porte fibrozate, largite |
|
|
Fibroza periportala |
Septuri periportale, rareori porto-portale |
|
|
Fibroza septala |
Septuri fibroase cu distorsionarea arhitecturii dar fara ciroza |
|
|
ciroza |
Fibroza in punti cu regenerare nodulara |
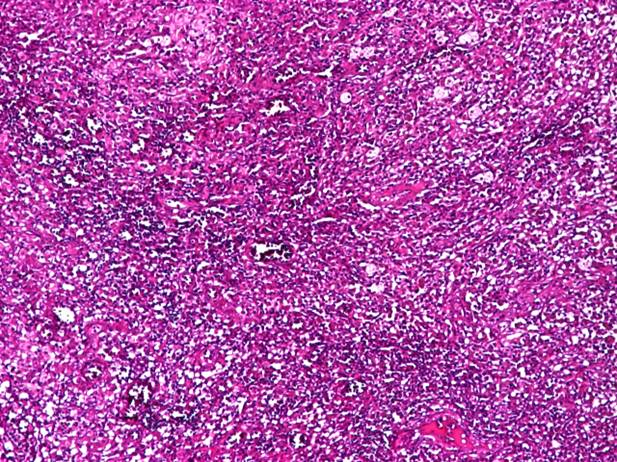
Fig 3 Hepatita cronica sever activa - fibroza si inflamatie porto-portala. HE, 10x.

Fig 4 Hepatita cronica sever
activa. HE, 4x, 10x
CIROZE HEPATICE
Definitie: hepatopatie cronica evolutiva, ireversibila, etiologie variata
Morfologie: dezorganizarea arhitecturii normale prin:
Etiologie:
factori infectiosi: virusurile hepatitice B, C, D, B Koch, treponema pallidum
factori toxici: alcool, substante chimice (fosfor, tetraclorura de carbon), medicamente (cloroform, izoniazida, fenitoina, nitrofurantoin
factori metabolici. Tezaurismoze, diabet, deficite enzimatice ereditare, hipertiroidia
factori genetici: galactozemia, tirozinazele
factori nutritionali: malnutritia, intoxicatia cu vit A
Patogenie: agresorul actioneaza asupra hepatocitelor / canaliculelor biliare / vaselor de sange si determina leziuni primare hepatice, care progreseaza si printr-un mecanism mezenchimal-imunologic determina leziuni secundare T alterarea arhitecturii normale hepatice
Leziunea primara = necroza hepatocitara T fibroza de substitutie + regenerarea hepatocitara sub forma de noduli datorita compromiterii legaturilor vasculare si biliare
MACRO - initial ficat marit de volum (2-3 kg) T micsoreaza (sub 1 kg), marginea anterioara ascutita, cartonata, neregulata; capsula Glisson ingrosata, albicioasa, opaca, suprafata neregulata, difuz nodulara; pe sectiune noduli de regenerare variabili, inconjurati de tesut fibros.

Fig 5 Ficat normal. HE, x4
Fig 6 Ciroza hepatica. HE, x2

Fig 7 Ciroza hepatica. HE, x4
Ciroza activa - necroza extinsa, leziuni degenerative intinse, inflamatie marcata
Ciroza inactiva - necroza discreta, leziuni degenerative minime, inflamatie redusa
Ciroza etanolica (Laenec) - stadiul final al hepatitei alcoolice - aspect de ciroza micronodulara
Ciroza postnecrotica- stadiul final al unei hepatite cronice sever activa - aspect de ciroza macronodulara
Ciroza biliara primitiva (Hanot) - boala autoimuna, afecteaza preferential femeile -aspect de ciroza micronodulara, culoare verzui
Ciroza biliara secundara - secundar obstructiiolor partiale/totale de lunga durata ale cailor biliare intra / extrahepatice (litiaza coledociana, stenoza coledociana postoperatorie, tumori de CBP, cancer colecist) - aspect de ciroza micronodulara
Ciroza pigmentara - secundar hemocromatozei prin citotoxicitatea directa a hemosiderinei asupra hepatocitelor - aspect de ciroza micronodulara, negricioasa

Fig 8 Ciroza hepatica micronodulara
Fig 9 Ciroza biliara

Fig 10 Ciroza biliara. Trombi biliari. HE, 10x

Fig 11 Ciroza macronodulara
TUMORI
6.1. TUMORI BENIGNE
Adenoame hepatocelulare - frecvent la femei tinere dupa consum cronic de contraceptive orale; MACRO - noduli frecvent subcapsular; MO - hepatocite clare, cu glicogen intracitoplasmatic, dispuse cordonal, dar cu ducte biliare absente; evolutie: rar metastazare
Adenoame colangiocelulare - MACRO - nodul frecvent subcapsular, =1 cm; MO - ducte biliare dispuse in stroma fibroasa
Tumori benigne mezenchimale: hemangioame


Fig 11 Hemangiom hepatic
6.2. TUMORI MALIGNE - carcinoame
frecvent la barbati, dupa 40 ani
factori de risc: carcinogenii alimentari (alcool, nitrozaminele), noxe profesionale, consum indelung de contraceptive orale
a) TUMORI MALIGNE PRIMITIVE
Hepatocarcinomul (carcinomul hepatocelular) - se dezvolta din hepatcite; 85% din cancerele primitive; MACRO - nodul unic/multiplu, imprecis delimitat, albicios.galbui, consistenta scazuta, zone de necroza; MO - hepatocarcinom bine, moderat, slab diferentiat, fibrolamelar (tineri, pronostic mai bun); evolutie: locala (infiltrativa), la distanta: metastaze limfatice (ganglioni regionali hilari, peripancreatici, paraaortici), metastaze hematogene (pulmonare, osoase, suprarenale, cord drept prin vena cava inferioara)
Fig 12 Hepatocarcinom
Fig 13 Hepatocarcinom. HE, 20x
Colangiocarcinomul (carcinomul colangiocelular) - se dezvolta din epiteliul biliar (mai ales la nivelul hilului), MACRO - noduli multiplii, culoare verzui (impregnare biliara); MO - aspect de adenocarcinom de cai biliare; evolutie: evolutie: locala (infiltrativa), la distanta: metastaze limfatice (ganglioni regionali hilari, peripancreatici, paraaortici), metastaze hematogene (pulmonare, osoase, suprarenale, creier cord drept prin vena cava inferioara)
Hepatocolangiocarcinomul
Tumori maligne mezenchimale: angiosarcom
b) TUMORI MALIGNE SECUNDARE (METASTAZE) - cele mai frecvente tumori hepatice; metastazeaza hepatic: carcinoame tract gastro-intestinal, pancreas, glanda mamara, pulmon, melanoame maligne cutanate
Fig 14 Colangiocarcinom
PATOLOGIA CAILOR BILIARE EXTRAHEPAICE
MALFORMATII
Agenezia veziculei biliare - absenta organului
Hipoplazia - dezvoltarea insuficienta
Duplicatia veziculei - 2 organe cu canal cistic comun / independent
LITIAZA VEZICULARA (COLELITIAZA)
Definitie: prezenta de calculi in tractul biliar, ca urmare a precipitarii unor constituenti biliari.
apare de 3-5 ori mai frecvent la femei
incidenta creste cu varsta
Patogenie: staza biliara, anomalii de compozitie biliara (cresterea concentratiei de colesterol/scaderea sarurilor biliare), infectia cailor biliare determina descuamarea celulelor care vor deveni nucleul organic al calculilor)
MACRO - aspectul calculilor difera functie de compozitia chimica: calculi colesterolici (galbeni, cu nucleu pigmentat), de bilirubinat de calciu (bruni, bruni-negriciosi, sfaramiciosi), de carbonat de calciu (galbeni-palizi), micsti (galbeni/bruni)

Fig 15 Litiaza veziculara
Evolutie:
infectii: colecistite acute, cronice, angiocolite, peritonite biliare, fistule bilio-digestive, pancreatita acuta necrotico-hemoragica (prin inclavarea unui calcul in ampula Water + reflux biliar),
ciroza biliara secundara,
carcinoame de vezicula biliara
INFLAMATII (COLECISTITE)
Etiologie:
infectioasa primitiva (prin agresiune adirecta a germenilor microbieni); contaminarea se face pe cale hematogena, limfatica, ductala
infectioasa secundara unui calcul (prin iritatia mecanica produsa de calcul + iritatia chimica produsa de staza biliara) apare contaminarea secundara a mucoasei
COLECISTITE ACUTE
a) Colecistita acuta catarala - MACRO - mucoasa congestiva, depozite fibrinoase, albicioase, bila ingrosata; MO - edem, congestie,mici ulceratii, inflam PMN-uri, fibrina

Fig 16 Colecistita acuta catarala exulceratia mucoasei si detritus fibrinoleucocitar. HE, 4x.
b) Colecistita acuta purulenta - MACRO - colecist culoare violacee, perete ingrosat, moale cu zone purulente, bila + puroi; MO - abces/flegmon, mucoasa ulcerata (daca ulceratia este in tot peretele T peritonita acuta generalizata)
Fig 17 Colecistita acuta
purulenta: infiltrat inflamator dens, intramural, reprezentat de PMN-uri.
HE, 4x
c) Colecistita acuta gangrenoasa - MACRO - colecist negricois-verzui; MO - in mucoasa hemoragii, ulceratii (produnde T peritonita), necroza, tromboze)
d) Colecistita acuta hemoragica - MACRO - colecist marit de volum cu sufuziuni sanguine, bila+ sange; MO - ulceratii + infiltrat hemoragic
COLECISTITE CRONICE
a) Colecistita cronica catarala - MACRO - colecist cu peretele ingrosat; MO - congestie, inflam limfo-plasmocitara

Fig 18 Colecistita cronica catarala: infiltrat inflamator dens, limfo-plasmocitar, difuz. HE, 4x
b) Colecistita cronica atrofica - MACRO - colecist micsorat de volum, pereti atrofici, albiciosi, lumen ingust; MO - atrofia mucoasei, atrofia tunicii musculare, inflam limfo-plasmocitara, fibroza in seroasa
c) Colecistita cronica hipertrofica - MACRO - colecist marit de volum, peretele ingrosat, aderent la structurile vecine; MO - fibroza mucoasei / hiperplazie adenomatosa, fibroza tunicii musculare, inflam limfo-plasmocitara cu formare de foliculi limfoizi, inflam granulomatoasa
Evolutie: complicatii: peritonite localizate/ generalizate, angiocolite, abcese hepatice, fistule bilio-digestive T ileus mecanic
Fig 19 Colecistita cronica
atrofica: atrofia mucoasei, inflam cr. HE, 4x.
Fig 20 Colecistita cronica
hipertrofica: mucoasa hiperplazica si inflamatie
cronica. HE, 4x
TUMORI
TUMORI BENIGNE
a)
Tumori benigne epiteliale: adenoame, polipi,
papiloame metaplazice
Fig 21, 22 Polipi veziulari
Fig 23 Polipi veziculari. HE, 2x
Fig 24 Polip vezicular colesterolozic. HE, 40x
b) Tumori benigne mezenchimale: leiomioame, fibroame, hemangioame
TUMORI MALIGNE
a) Tumori maligne epiteliale
Carcinoamele veziculei biliare - frecvent la femei, pe fondul colecistitei cronice litiazice; MACRO - vegetante, infiltrante; MO - adenocarcinoame, carcinoame scuamoase; evolutie: locala (infiltrarea distructiva a peretelui, peritoneului), la distanta (metastaze limfatice, hematogene)

Fig 25 Carcinom vezicular

Fig 26 Adenocarcinom vezicular. HE, 2x, 10x

Fig 27 Adenocarcinom vezicular: celule maligne cu dispozitie glandulara si papilara. HE, 4x
Carcinoamele cailor biliare extrahepatice - rare, apar mai frecvent la barbati, dupa 60 ani
b) Tumori maligne mezenchimale - rare: fibrosarcoame, leiomiosarcoame, schwannoame maligne, limfoame
MALFORMATII
Fibroza chistica pancreatica - mucoviscidozei (transmitere autosomal dominanta); afecteaza gl intestinale, traheo-bronsice, salivare minore (creste vascozitatea mucusului), gl sudoripare, parotida (creste concentratia de electroliti eliminati prin transpiratie).
Etiologie:
frecvent apar asociate cu boli ale tractului biliar (litiaza) / alcool
afectiuni endocrine (hiperparatiroidism, diabet)
metabolice (hiperlipoproteinemia)
traumatisme
medicamente (cortizon, diuretice tiazidice, paracetamol)
infectii de vecinatate / infectii virale (virus urlian)
PANCREATITE ACUTE
a) Pancreatita acuta edematoasa - etiologie: anestezii, insuficiente circulatorii; MACRO - dimensiuni mari, tumefactie, congestie, edem; MO - edem interstitial, congestie, inflam PMN-uri
b) Pancreatita acuta supurata - etiologie: infectioasa prin diseminare hematogena/canaliculara; MACRO - abces/flegmon; MO - inflam masiva cu PMN-uri intregi si alterate (piocite), detritus necrotic, germeni microbieni
c) Pancreatita acuta necrotico-hemoragica
adulti, ambele sexe, frecvent intre 40-60 ani;
etiologie: litiaza biliara, obstructia canalelor pancreatice, obstructia ampulei Water, consum excesiv de alcool;
patogenie: activarea enzimelor pancreatice (proteolitice si lipolitice) prin reflux biliar/duodenal
MACRO
la debut pancreas marit de volum,
dupa 24-48 ore aspect pestrit: zone culoare rosie (hemoragii interstitiale) + zone cenusii (necroza parenchimului) + zone galbui-albicioase (necroza grasa)
zonele de necroza grasa sunt bine delimitate, consistenta sfaramicioasa prin impregnare calcara ("pete de spermantet")
MO - necroza tesutului gras + necroza parenchimului pancreatic + necroza filetelor nervoase + necroza tesutului conjunctiv + necroza vaselor de sange + inflam
Evolutie: in formele blande: vindecare prin fibroza interstitiala, chiste prin rezorbtia zonelor de necroza/hemoragie si incapsularea, abces pancreatic, fistule pancreatice, pleurezia, ascita; in formele severe: deces prin soc hipertoxic, peritonita generalizata
Fig 28 Citosteatonecroza
pancreatica. HE, x2
Fig 29 Citosteatonecroza
pancreatica. HE, 4x
PANCREATITE CRONICE - in urma celor acute repetate / primitive; etiologie: substante toxice, disfunctii hormonale (hiperparatiroidism), staza pancreatica prin stenoza calculoasa/tumorala, boli carentiale (ciroza hepatica, scleroza renala); MACRO - pancreas marit de volum, consistenta crescuta, dura; MO - inflam limfo-plasmocitara interstitiala + scleroza pericanaliculara, interstitiala, perivasculara, insulara
TUMORI
PSEUDOTUMORI: chiste: congenitale/dobandite (secundare obstructiilor canaliculare)
TUMORI BENIGNE: chistadenoame
TUMORI MALIGNE: carcinoame
originea la nivelul epiteliilor canaliculare/acinare;
afecteaza mai mult barbatii, peste 60 ani;
MACRO - frecvent la nivelul capului; sunt nodulare/infiltrative;
MO - adenocarcinoame
evolutie: sunt agresive
locala: infiltrativa cu afectarea organelor adiacente (duoden, tract biliar comun, coloana vertebrala, retroperitoneal, splina, suprarenala);
metastaze limfatice (ganglioni peripancreatici, portohepatici), metastaze hematogene (ficat)
INFLAMATII (PERITONITE)
Etiologie: infectioasa (stafilococ, pneumococ, gonococ, piocianic, anaerobi),
Diseminare pe cale abdominala de la o colecistita acuta, apendicita acuta, ulcer gastro-duodenal perforat, piosalpinx rupt
Diseminare hematogena de la un focar septic la distanta
PERITONITE ACUTE
a) Peritonite acute generalizate
S Peritonita seroasa - MACRO - seroasele peritoneale au luciul si transparenta pierdute + depozite albicioase de fibrina + lichid clar, galben-citrin; MO - fibrina, celule epiteliale descuamate, rare PMN-uri
S Peritonita fibrinoasa - MACRO - seroasele peritoneale au luciul si transparenta pierdute, congestie, depozite albicioase de fibrina + lichid putin/absent; MO - hiperemie, fibrina + frecvente PMN-uri, rare celule descuamate
S Peritonita sero-fibrionoasa
S Peritonita sero-hemoragica - MACRO - luciul si transparenta pierdute, hiperemie accentuata, sufuziuni sanguine, rare depozite de fibrinp; MO - vasodilatatie, infiltrat hemoragic inflam redusa cu PMN-uri
S Peritonita purulenta - MACRO - luciul si transparenta pierdute, congestie, exudat purulent aderent, anse intestinale congestionate, alipite prin exudat fibrinos; MO - inflam abundenta cu PMN-uri integre si alterate, detritus necrotic, germeni microbieni

Fig 30 Peritonita acuta purulenta
b) Peritonite acute localizate - cand agentul infectios are un grad de agresivitate redusa si se dezvolta o reactie de localizare a actiunii agresorului
S Peritonita sero-fibrinoasa
S Peritonita purulenta (pelviperitonita, abces subfrenic, subhepatic, subdiafragmatic
Evolutie: - peritonitele acute generalizare seroase, sero-fibrinoase + peritonitele localizate sero-fibrinoase T vindecare prin rezorbtia exudatului / sechele cicatriciale (bride, aderente parieto-abdominale)
PERITONITE CRONICE
a) Peritonite cronice nespecifice - sechele ale peritonitelor acute generalizate/localizate
Bride
Aderente
Placi fibroase
Peritonita incapsulata
b) Peritonite cronice specifice - peritonita TBC (de la TBC unui organ abdominal); MACRO - forma granulica, forma cazeoasa, forma fibro-adeziva 8peritonita plastica); MO - foliculi TBC + necroza de cazeificare
REVARSATE NEINFLAMATORII
Ascita - transudat in cavitatea peritoneala
Hemoperitoneu - sange proaspat/coagulat prin: anevrism rupt de aorta abdominala, ruptura de salpinge in sarcina tubara, ruptura de chist hematic ovarian, ruptura traumatica de organe parenchimatoase
Coleperitoneu - bila in cavitate prin perforatia colecistului
Pseudomixoma peritoneala - mucus gros, vascos prin ruptur aunui mucocel apendicualr, mucocel colecistic, chistadenom/chistadenocarcinom mucinos ovarian
Tumori benigne - foarte rare: leiommiom, lipom, fibrom, limfangiom
Tumori maligne primitive: mezotelioame
Tumori maligne secundare (metastaze) - cele mai frecvente tumori, punct de plecare: carcinoamele organelor abdominale/pelvine carcinomatoza peritoneala
|
Politica de confidentialitate |
| Copyright ©
2026 - Toate drepturile rezervate. Toate documentele au caracter informativ cu scop educational. |
Personaje din literatura |
| Baltagul – caracterizarea personajelor |
| Caracterizare Alexandru Lapusneanul |
| Caracterizarea lui Gavilescu |
| Caracterizarea personajelor negative din basmul |
Tehnica si mecanica |
| Cuplaje - definitii. notatii. exemple. repere istorice. |
| Actionare macara |
| Reprezentarea si cotarea filetelor |
Geografie |
| Turismul pe terra |
| Vulcanii Și mediul |
| Padurile pe terra si industrializarea lemnului |
| Termeni si conditii |
| Contact |
| Creeaza si tu |