Creeaza.com - informatii profesionale despre


Simplitatea lucrurilor complicate - Referate profesionale unice
Acasa » familie » medicina
Radioanatomia membrelor

Radioanatomia membrelor


RADIOANATOMIA MEMBRELOR

Explorarea imagistica a membrelor se bazeaza inca pe examenul radiografic conventional, chiar in conditiile aparitiei si dezvoltarii noilor tehnici de examinare, respectiv computer-tomografia (CT) si rezonanta magnetica nucleara (RMN).

Examenul radiologic conventional ofera informatii legate atat de forma cat si de arhitectura interioara a osului; unul dintre principalele sale inconveniente este acela ca nu ofera informatii detailate asupra tesuturilor moi. Tehnicile radiologice complementare (tomografia uniplan, radiografia marita, artrografia) pot oferi elemente in plus, prin recunoasterea leziunilor sau prin evidentierea unor elemente ale substratului anatomic care nu apar intotdeauna pe radiografii.

Explorarea radiologica clasica presupune utilizarea mai multor incidente, alese in functie de segmentul scheletic de investigat; in general, pentru fiecare regiune, se folosesc doua incidente, perpendiculare una pe cealalta.



CT si RMN, ca si ultrasonografia aduc informatii suplimentare asupra partilor moi ale membrelor, permitand un bun studiu anatomic mai ales al articulatiior.

Pe imaginile RMN toate tendoanele apar in hipersemnal (negre), a carui intensitate depinde de secvenTa de lucru utilizata. In secventele T1 muschii apar in hiposemnal (gri inchis), inconjurati de o banda de hiposemnal intens (neagra) ce reprezinta fascia. In secventele T2, semnalul muschilor creste usor, acestia aparand gri clar. Corticala osoasa apare sub forma unui hiposemnal net. Medulara are un semnal intermediar in T2 si hipersemnal in T1.

Imaginile CT permit identificarea tendoanelor sub forma unor opacitati rotunjite, omogene, bine delimitate. In stare normala tecile tendinoase nu sunt vizibile, iar retinaculele se pot numai observa. Muschii apar sub forma unei opacitati rotunde sau ovalare, inconjurati de o aponevroza densa, subliniata in general de un strat subtire de grasime hipodensa.

Ecografic, pe sectiunile executate in axul lor lung muschii apar fie ca un ansamblu de linii ecogene paralele racordate in unghi ascutit la o aponevroza intramusculara (aspect penat), fie apar sub forma unei succesiuni de linii ecogene, paralele la axul muschiului. Pe sectiunile perpendiculare pe axul lor lung muschii apar sub forma unei plaje hipoecogene limitata de un lizereu fin hiperecogen, dat de aponevroza. Pe sectiunile luate in axul lor lung, tendoanele se prezinta ca banzi cu margini paralele, subliniate de un fin lizereu hiperecogen, care contin - pe un fond de ecogenitate medie - fine ecouri paralele cu marele ax al tendonului. Pe sectiunile transversale tendoanele sunt rotunjite sau ovalare, net delimitate, cu mici ecouri punctiforme intre tendon si teaca. Oasele apar sub forma unor imagini lineare hiperecogene, cu atenuare posterioara completa a fasciculului de ultrasunete.

UMARUL

Radiografia conventionala

In general, se foloseste numai incidenta de fata, cu pacientul astfel pozitionat incat interliniul scapulo-humeral sa fie tangential la fasciculul de raze x. Pentru degajarea articulatiei scapulo-humerale de suprapunerea boltii acromio-claviculare, sursa (tubul) de raze x va fi usor inclinata caudal. Pe o radiografie obtinuta in aceste conditii vor putea fi recunoscute:

capul humeral cu marea tuberozitate, colul anatomic, mica tuberozitate, santul bicipital si colul chirurgical;

scapula cu cele trei margini si trei unghiuri, baza de implantare a spinei, procesul coracoid, acromionul si articulatia acromioclaviculara, precum si cavitatea glenoida;

interlinia articulara scapulo-humerala;

clavicula cu extremitatea mediala, eventual curburile si tuberculul conoid.

In anumite circumstante se poate executa si o radiografie de profil a articulatiei scapulo-humerale care va evidentia: clavicula, apofiza coracoida, cavitatea glenoida, 1/3 proximala a humerusului, acromionul, articulatia acromio-claviculara.

Fig. 1 - Radiografie de umar fata, cu evidentierea cartilajului de crestere, la un copil de 6 ani

Scheletul umarului la copil

La copii, imaginea radiologica prezinta o serie de particularitati datorate prezentei nucleilor de osificare (fig. 1). Extremitatea superioara a humerusului se dezvolta prin trei puncte de osificare: pentru cap (apare la 4-8 luni), pentru marea tuberozitate (apare la 2-3 ani) si pentru mica tuberozitate (la 3-5 ani). Punctele de osificare tuberozitare se unesc intre ele si la 13 ani se sudeaza cu punctul de osificare al capului. Unirea cu diafiza humerala are loc la 18-20 ani. In primul an de viata apar 7 centrii (secundari) de osificare ai scapulei, diferit distribuiti, care se vor suda intre ei la 22-25 ani; corpul si o parte din spina se dezvolta dintr-un punct de osificare primar ce apare in saptamana a 8 a de viata intrauterina. Corpul claviculei si extremitatea sa laterala se dezvolta din doua puncte de osificare primare incepand din a 5-a saptamana de viata intrauterina; extremitatea mediala se dezvolta dintr-un nucleu secundar de osificare ce apare la 18-20 ani Si se sudeaza cu restul claviculei la 20-25 ani.

Ecografia

Este un examen usor de realizat, netraumatizant, permitand un studiu dinamic bilateral. Efectuandu-se sectiuni in cele trei planuri spatiale, vor putea fi identificate:

capul humeral sub forma unei linii hiperecogene prelungita printr-un discret con de umbra;

procesul coracoid si acromionul;

tesutul subcutanat sub forma unei benzi de ecogenitate moderata de grosime variabila;

m. deltoid de ecogenitate scazuta, cu fine ecouri lineare care corespunde structurilor aponevrotice;

bursa seroasa subacromiodeltoidiana ca o fina banda hiperecogena intre deltoid si supraspinos;

mm. supraspinos, subscapular si portiunea lunga a m. biceps.

Fig. XX - Sectiuni echografice frontala oblica si respectiv axiala externa la nivelul umarului

Rezonanta magnetica nucleara (RMN)

Permite un fidel studiu anatomic in toate cele trei planuri ale spatiului al centurii scapulare:

in plan axial (fig. 2) pot fi evidentiate in mod special urmatoarele structuri: mm. subscapular, subspinos, supraspinos, tendonul lung al bicepsului in santul intertubercular, articulatia scapulo-humerala, portiunile anterioara si posterioara ale bureletului glenoidian, manunchiul vasculo-nervos axilar;

in plan frontal oblic, paralel cu axul m. supraspinos se evidentiaza: articulatia acromio-claviculara, tesutul gras subacromiodeltoidian, spatiul bursei seroase subacromiodeltoidiene, portiunea musculotendinoasa a m. supraspinos, portiunile superioara si inferioara ale bureletului glenoidian;

in plan sagital oblic (fig. 3) se pot studia: spatiul acromioclavicular, dispozitia si grosimea muschilor subscapular, subspinos si supraspinos, precum si tendonul lung al bicepsului.

Fig. 2 - Sectiune axiala RMN la nivelul umarului

Fig. 3 - Sectiune oblica sagitala RMN la nivelul umarului

Artrografia

Artrografia presupune vizualizarea radiologica a partilor moi ale unei articulatii (mari) cu ajutorul unei substante de contrast introdusa intraarticular (fig. XX). Pentru umar, calea preferata este cea anterioara; dupa introducerea substantei de contrast se executa radiografii in mai multe incidente evindentiindu-se: cavitatea articulara (cu cele patru camere), interlinia gleno-humerala, insertia capsulei pe bureletul glenoidian, bursele subscapulara, subcoracoidiana si bicipitala (comunicand in mod normal cu articulatia).

Fig. XX - Artrografie opaca scapulo-humerala normala, in rotatie indiferenta si respectiv in rotatie externa

Computer-tomografia (CT)

CT permite obtinerea unor sectiuni transversale de o foarte buna definitie spatiala a partilor moi si a scheletului umarului. Daca ea va fi precedata de introducerea unei substante de contrast intraarticular - artroscanner - atunci va fi posibila o explorare articulara completa.

Fig. XX - Sectiuni CT axiale oblice prin umar, dupa introducerea intraarticulara de contrast (artroscanner)

COTUL

Radiografia clasica

In mod obisnuit se folosesc incidentele, de fata si de profil (fig. 4).

Radiografia de fata se executa cu membrul superior in extensie, mana si antebratul in supinatie si fasciculul de raze perpendicular pe interlinia articulara, pune in evidenta:

epifiza distala a humerusului cu capitulul radial si trohleea si epicondilii medial si lateral; posterior, intre epicondili se gaseste fosa olecraniana in care se poate distinge imaginea olecranului;

epifiza proximala a ulnei cu: olecranul, procesul coronoid, marea si mica incizura sigmoidiana;

epifiza proximala a radiusului care prezinta: capul radiusului cu foseta capului radial, colul si tuberozitatea radiusului;

spatiul articular este mai bine evidentiat in portiunea sa laterala ( intre capitulul humeral si capul radiusului).

Radiografia de profil se efectueaza cu antebratul flectat 900, sprijinit cu epitrohleea pe caseta port-film; fasciculul de radiatii este perpendicular pe interlinia articulara. Vor putea fi recunoscute: capitulul humeral, epicondilul medial, marginea mediala a trohleei, olecranul, procesul coronoid si capul radiusului.

Fig. 4 - Radiografie de cot in incidenta antero-posterioara si laterala

Scheletul articulatiei cotului la copil

Dezvoltarea epifizei distale a humerusului se face prin 4 puncte de osificare care apar pentru condil la 1-2 ani, pentru epicondilul lateral la 2-4 ani, pentru trohlee si epicondilul medial la 10-12 ani. Sudarea completa a extremitatii inferioare a humerusului are loc la 14-17 ani (mai devreme la fete).

Epifizele proximale ale radiusului si ulnei se dezvolta fiecare prin cate un punct de osificare (la 10-12 ani apare cel pentru olecran Si la 4-6 ani pentru radius); sudarea definitiva a extremitatilor superioare ale celor doua oase se produce intre 16-18 ani.

Computer tomografia

Evidentiaza principalele grupe musculare periarticulare:

- median bicepsul si inapoia sa m. brahial;

- medial se evidentiaza bine doar m. rotund pronator;

- lateral se distinge superficial, m. brahioradialul, iar profund mm. lung si scurt extensor radial al carpului (fig. XX).

Este utila in aprecierea extensiei tumorale in tesuturile moi.

Fig. XX - Sectiune axiala CT la nivelul cotului


Rezonanta magnetica nucleara

Se lucreaza cu sectiuni sagitale si coronare pentru evidentierea tesuturilor moi ale articulatiei cotului ca si a celor periarticulare. In prezent RMN reprezinta dupa radiografia clasica principalul mijloc imagistic de explorare a acestei regiuni.

Artrografia

Acul de punctie se introduce in santul paraolecranian lateral, imediat deasupra capului radial; dupa introducerea substantei de contrast se efectueaza radiografii de fata, profil si eventual in incidente oblice. Dupa necesitati se poate recurge apoi si la CT (artro-scanner).

Fig. 5a - Sectiune sagitala RMN la nivelul cotului

Fig. 5b - Sectiune frontala RMN la nivelul cotului

PUMNUL

1. Radiografia clasica

In mod curent, ca si pentru articulatia cotului, se folosesc incidentele de fata si de profil (fig. 6a, b). Radiografia de fata, executata cu mana si antebratul in pronatie si fasciculul de radiatii perpendicular pe articulatie, evidentiaza:

epifiza distala a radiusului cu fatetele articulare pentru scafoid si semilunar si fateta mediala pentru capul ulnei si procesul stiloid;

epifiza distala a ulnei cu: fatetele articulare pentru osul piramidal si pentru radius si procesul stiloid;

oasele carpiene dispuse in doua randuri.

Radiografia de profil (marginea laterala a pumnului sprijinita pe caseta port-film) evidentiaza epifizele distale ale oaselor antebratului suprapuse; imediat sub radius se observa semilunarul, iar sub el osul mare care se continua cu metacarpianul III. Imaginea scafoidului se suprapune partial peste semilunar si osul mare. Celelalte carpiene sunt greu de individualizat din cauza suprapunerii lor.

Scheletul pumnului la copil

Maturarea osoasa si cresterea pumnului se produc in decursul primelor doua decade de viata. La nastere nu este vizibil nici un punct de osificare. Catre varsta de 6 luni apare nucleul osului mare. Spre varsta de 11 ani apar principalele puncte de osificare ale oaselor articulatiei pumnului.

2. Artrografia

Articulatia radiocarpiana se punctioneaza pe fata dorsala, la nivelul interliniei dintre scafoid si radius, dupa care se introduce substanta de contrast si se executa radiografii de fata si profil. Cavitatea articulara apare sub forma unei opacitati lineare curbe cu covexitatea proximal, bine delimitata. Ea prezinta 3 prelungiri sinoviale: recessusurile prescafoidian, preradial si prestilian.

MANA

Radiografia clasica

Radiografia de fata a mainii se executa in pozitie volara sau dorsala cu fasciculul de raze x orientat perpendicular pe filmul radiologic (fig. 6a). Pe radiografia de fata a mainii se vor putea recunoaste:

oasele metacarpiene;

interlinia articulara carpo-metacarpiana care nu poate fi degajata complet, spre deosebire de interlinia metacarpo-falangiana care apare cu inaltime constanta;

falangele si interlinia articulara interfalangiana de asemenea cu inaltime constanta.

Radiografia de profil a mainii se executa marginea sa ulnara sprijinita pe caseta port-film si fasciculul de raze x, perpendicular, orientat catre articulatiile metacarpofalangiene. Imaginile obtinute in aceste conditii sunt greu de interpretat din cauza suprapunerilor, motiv pentru care in examinarea de rutina este preferata incidenta de semiprofil (oblica). Mana va fi sprijinita pe caseta port-film prin marginea sa ulnara, in usoara pronatie, 450 cu orizontala. Aceasta pozitie, disociaza imaginile metacarpienelor si permite evidentierea celor mai mici detalii de structura.

Fig. 6a - Radiografia pumnului si mainii incidenta antero-posterioara

Fig. 6b - Radiografia pumnului in incidenta laterala

Scheletul mainii la copil

La nastere metacarpienele si falangele sunt vizibile. Catre varsta de 2 ani apar nucleii epifizari distali ai metacarpienelor; catre varsta de 3 ani apare nucleul epifizar proximal al policelui, urmat dupa varsta de 3 ani de nucleii celorlalte degete.

Rezonanta magnetica nucleara

Reprezinta singurul mijloc de vizualizare a tesuturilor moi articulare si periarticulare, pe sectiuni in toate cele trei planuri spatiale (fig. 7).

Fig. 7 - Sectiune coronala si sagitala la nivelul pumnului si mainii

SOLDUL

Radiografia clasica

Radiografia de fata se executa cu bolnavul in decubit dorsal, avand membrele inferioare in extensie si usoara rotatie mediala. Fasciculul de raze x , perpendicular pe film intra la 3-4 cm sub mijlocul pliului inghinal. Respectand aceste conditii, radiografia de fata a soldului va permite evidentierea urmatoarelor structuri anatomice:

sacrumul si articulatiile sacroiliace;

linia iliopectinee;

simfiza pubiana;

gaura obturata;

acetabulum si cavitatea cotiloida;

epifiza proximala a femurului cu capul femural, foseta ligamentului rotund, micul si marele trohanter, colul femural.

Este important de urmarit in aceasta incidenta relatiile axiale ale articulatiei coxale.

Marginea inferioara a colului femural formeaza cu marginea superioara a gaurii obturate o linie curba continua (linia Shenton sau arcul cervico-obturator). Unghiul format de axul lung al colului cu axul diafizar masoara 120-1300.

Radiografia de profil se executa cu pacientul in decubit dorsal cu caseta port-film in contact cu fata mediala a coapsei, perpendicular pe masa de examen si fasciculul de radiatii paralel cu masa de examinare si perpendicular pe caseta, "tintind" marele trohanter. Pe o astfel de radiografie vor putea fi recunoscute: gaura obturatorie, spina ischiadica, tuberozitatea ischiadica, ramul ischiopubian, corpul pubisului, cavitatea cotiloida, epifiza proximala a femurului.

Radiografia de profil, completata eventual si de alte incidente (incidenta Cochin) sunt folosite in special pentru aprecierea luxatiilor capului femural.

Studiul radiologic complet al bazinului necesita o radiografie de ansamblu (fig. 8). Aceasta se executa cu pacientul in decubit dorsal cu membrele inferioare in extinsie, cu calciiele usor departate si cele doua apropiate. Fasciculul de radiatii, perpendicular, intra pe linia mediana, la cca 6 cm deasupra simfizei.

Radiografia de ansamblu a bazinului evidentiaza:

ultimele 2-3 vertebre lombare;

corpurile vertebrale sacrate, gaurile sacrate anterioare si posterioare partial suprapuse, hiatusul sacrat;

articulatiile sacroiliace de forma literei "y", "w" sau "o";

osul iliac cu: fosele iliace, cavitatea cotiloida, gaura obturata, linia arcuata, fata articulara auriculara, spinele iliace anterioare si posterioare, spina ischiadica, incizura nenumita, incizurile ischiadice, eminenta iliopectinee;

ischionul si pubisul.

Fig. 8 - Radiografie de bazin

Scheletul bazinului la copil

Osul iliac se dezvolta din trei puncte de osificare (pentru ilion, ischion si pubis) ce apar intre lunile 2-4 de viata intrauterina si din mai multe puncte secundare (pentru cotil, creasta iliaca, tuberozitatea ischiadica, spina ischiadica) ce apar intre 8-10 ani. Unirea principalelor puncte de osificare intre ele are loc intre 6-12 ani. Punctele secundare se sudeaza intre 15-25 ani, ultimul fiind nucleul de osificare al crestei iliace (fig. 9).

Articulatia coxala la copil

Nucleul capului femural apare dupa luna a 6-a si se uneste cu colul la 14-16 ani. Nucleul marelui trohanter apare la cca 3 ani, iar cel al micului trohanter la 7-8 ani. Ei se vor uni cu diafiza femurala la 17-18 ani.

Fig. 9 - Radiografie de bazin la un sugar de 2 luni

Artrografia

Dupa introducerea substantei de contrast intr-una dintre cavitatile articulare se executa radiografii de fata si de profil. In acest mod este posibila evidentierea (fig. XX):

cavitatii articulare sub forma a doua benzi opace (camerele cavitatii articulare) ce traverseaza colul femural. portiunea antero-mediala a cavitatii apare sub forma unei opacitati cu convexitatea in jos, datorita umplerii recessului articular inferior (acetabular). se observa si doua mici opacitati ovalare proiectate pe fundul cotilului, corespunzand fundurilor de sac sinoviale ce insotesc ligamentul rotund. in partea supero-laterala a cavitatii articulare se remarca recessul supralimbic;

cartilajului articular;

bureletul cotiloidian apare ca o opacitate triunghiulara care prelungeste in afara marginea cotilului;

bursei seroase a psoasului.

Fig. XX - Artrografie opaca normala de sold, in rotatie interna, respectiv externa

Computer tomografia

Studiul sectiunilor axiale obtinute CT aduce un plus de informatii referitoare la structura articulatiei coxo-femurale, fara sa inlocuiasca explorarea radiologica clasica (fig. XX). Reconstructia tridimensionala tinde sa realizeze vizualizarea in relief a structurii anatomice a soldului din orice unghi dorit. Asocierea CT cu artrografia si cu angiografia aduce informatii suplimentare despre structurile articulare si vasculare invecinate. De asemenea CT permite masurarea unghiului de anteversie a colului femural.

Fig. XX - Sectiuni axiale CT la nivelul articulatiilor coxo-femurale

Rezonanta magnetica nucleara

Articulatia soldului a fost printre primele studiate cu ajutorul RMN, metoda impunandu-se rapid ca examen de electie.

In imagistica RMN a soldului se pot studia (fig. 10a, b):

muschii periarticulari care apar in hipersemnal in T1;

osul spongios subcondral care apare in hipersemnal in T1 si in hiposemnal in T2; situatia traveelor osoase scade global nivelul semnalului in capul femural;

relicvatul metafizar apare sub forma unei linii de semnal scazut;

interlinia articulara si bureletul cotiloidian nu apar foarte clar, decat printr-o marire a semnalului;

in secventele ponderate in T2 se observa lichidul articular, chiar in cantitate mica.

Fig. 10a - Sectiune axiala RMN coxofemurala

Fig. 10b - Sectiune frontala RMN la nivelul coapsei

GENUNCHIUL

Radiografia clasica

Radiografia de fata se efectueaza la pacientul cu membrul inferior in extensie, iar fasciculul de raze x, perpendicular pe film, va intra la 2 cm sub varful rotulei. Pe un astfel de cliseu vor putea fi evidentiate (fig. 11):

epifiza femurala distala cu cei doi condili, fosa intercondiliana, foseta de insertie a m. popliteu (pe conturul extern al condilului lateral), trohlea femurala;

rotula se proiecteaza peste trohlea femurala, in spatiul articular;

epifiza tibiala proximala cu cei doi condili, platoul tibial, spinele tibiale;

spatiul articular cu o inaltime de cca 4-6 mm;

capul fibulei, in mare masura suprapus peste condilul tibial lateral.

Pentru radiografia de profil, pacientul este pozitionat cu marginea laterala a genunchiului sprijinita pe caseta, fasciculul de radiatii, perpendicular, intrand la egala distanta intre fata anterioara si cea posterioara a genunchiului de radiografiat. Vor putea fi evidentiate urmatoarele elemente anatomice:

condilii femurali suprapusi;

tuberculul adductorului al III-lea, deasupra condilului medial;

rotula;

suprafetele articulare tibiale si condilii tibiali;

tuberozitatea tibiei;

spatiul articular tibio-fibular.

Fig. 11 - Radiografie de fata si profil a genunchiului

Scheletul articulatiei genunchiului la copil

La nastere sunt prezente punctele de osificare ale extremitatilor proximala a tibiei si distala a femurului; cel pentru epifiza proximala a fibulei apare la 4 ani. Aceste puncte de osificare se sudeaza cu diafizele respective intre 16-24 ani. Rotula se dezvolta dintr-un punct de osificare ce apare la varsta de 5 ani. Intre 10-14 ani apare un nucleu secundar de osificare pentru tuberozitatea tibiei care se va suda cu extremitatea superioara a osului la 16-18 ani.

Artrografia

Artrografia genunchiului este cea mai frecventa dintre artrografii. Pacientul se aseaza in decubit dorsal cu genunchiul usor flectat; se patrunde in articulatie in partea superioara a interliniei articulare femuro-patelare, lateral sau medial. Dupa evacuarea unui eventual revarsat articular, se injecteaza produsul de contrast si se executa radiografii in mai multe incidente. Este astfel posibila vizualizarea meniscurilor, plicilor sinoviale, ligamentelor incrucisate si cartilajului femuro-patelar (fig. XX).

Fig. XX - Artrografie opaca de genunchi cu vizualizarea meniscului intern

Computer-tomografia

CT are o serie de avantaje: osul este studiat in ansamblu cu partile moi (tesut gras, tendoane, ligamente, etc); permite studierea in amanuntime a articulatiei femuro-patelare (fig. XX). Permite calculul unor indicatori importanti ai functionalitatii articulatiei genunchiului (distanta dintre proiectia tuberozitatii anterioare si cea a gatului trohleei, panta bitrohleana, profunzimea trohleii, etc); permite evidentierea directa a unor leziuni de dimensiuni foarte mici.

Fig. XX - Sectiuni axiale CT la nivelul genunchiului pentru evidentierea articulatiei femuro-patelare

Rezonanta magnetica nucleara

RMN poate fi considerata actualmente ca metoda optima de explorare a genunchiului (fig. 12a, b). Neinvaziva si netraumatica, ea constituie cel putin deocamdata o cale inegalabila de diagnostic in patologia reumatologica, ortopedica si oncologica. Corticala osoasa emite un semnal de joasa intensitate si apare sub forma unei structuri lineare negre ce contrasteaza cu semnalul intens al structurilor vecine (spongioasa osoasa si grasimea periarticulara). Medulara osoasa prezinta un semnal intens datorita continutului sau grasos; jonctiunea metafizo-epifizara apare la adult sub forma unei fine linii de hiposemnal. Cartilajul hialin articular emite un semnal de intensitate intermediara, spre deosebire de fibrocartilajul meniscal care apare in hiposemnal. Ligamentele, tendoanele si capsula articulara emit un semnal de slaba intensitate, distingandu-se de tesuturile grase vecine si de osul pe care se insera. Vasele sanguine apar in hiposemnal. Nervii prezinta un semnal ceva mai intens datorita continutului grasos al mielinei. Lichidul sinovial emite un semnal intermediar pe secventele ponderate in T1 si apare in hipersemnal pe secventele ponderate in T2.

Fig. 12a - Sectiune sagitala RMN la nivelul genunchiului

Fig. 12b - Sectiune axiala RMN la nivelul genunchiului

GLEZNA

Radiografia clasica

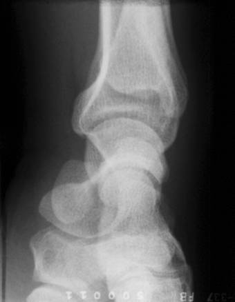
Radiografia de fata se efectueaza cu membrul inferior in extensie si glezna sprijinita de caseta port-film; fasciculul de raze este perpendicular si "tinteste" intre cele doua maleole (fig. 13).

In acest mod este posibila recunoasterea urmatoarelor structuri anatomice:

extremitatea distala a tibiei care prezinta: maleola mediala, suprafata articulara talara, fateta articulara fibulara;

extremitatea distala a fibulei cu maleola laterala mai jos situata decat cea mediala si o fateta articulara pentru apofiza laterala a talusului;

spatiul articular situat intre tibie, peroneu si talus, cu o inaltime normala de cca 3-4 mm;

suprafetele articulare ale corpului osului talus.

Radiografia de profil se executa cu fata laterala a gleznei sprijinita de caseta port-film si fasciculul de radiatii perpendicular. Pe o astfel de radiografie se pot evidentia:

epifizele distale ale tibiei si peroneului;

conturul suprafetelor articulare;

maleolele partial proiectate peste talus;

osul talus cu trohleea, corpul, colul, capul si apofizele articulare;

calcaneul cu fetele articulare pentru talus si cuboid.

Fig. 13 - Radiografie a gleznei de fata si profil

PICIORUL

Radiografia conventionala

Radiografia de fata se executa cu piciorul sprijinit cu fata plantara pe caseta port-film fasciculul de raze x fiind perpendicular (fig. 14). Vor putea fi recunoscute urmatoarele structuri:

falangele cu articulatiile interfalangiene (trohleartroze);

metatarsienele; baza metatarsianului al V-lea prezinta o apofiza stiloida usor de recunoscut;

tarsienele, respectiv cuboidul, navicularul, partea anterioara a marii apofize a calcaneului si capul talusului.

Pentru radiografia de profil, piciorul este aplicat cu fata laterala pe caseta, fasciculul de raze, perpendicular, "tintind" un punct situat la 2 cm inferior si inaintea maleolei interne. Pe un astfel de cliseu falangele, metatarsienele si oasele tarsului anterior sunt suprapuse. Totusi se pot individualiza o serie de structuri:

falangele halucelui si prima articulatie matatarso-falangiana;

fata dorsala rectilinie si cea plantara, concava, a metatarsienelor;

partea mediala a articulatiei Lisfranc (tarso-metatarsiana);

metatarsienele IV si V;

talusul, calcaneul, scafoidul si cuboidul.

Fig. 14 - Radiografie de picior de fata si semiprofil

Scheletul piciorului la copil

Oasele tarsului se formeaza din cate un nucleu de osificare, cu exceptia calcaneului care are doi nuclei (unul este prezent la nastere, celalalt apare la 6-9 ani). La nastere este prezent si punctul de osificare al talusului. In prima luna dupa nastere apare cuboidul, la 7 luni primul cuneiform, iar intre 2-4 ani punctele de osificare ale navicularului si celorlalte cuneiforme.

Falangele au osificate la nastere doar diafizele care se dezvolta dintr-un punct comun cu extremitatea distala; extremitatea proximala se formeaza dintr-un punct de osificare propriu ce apare la 4-6 ani. Sudarea epifizelor cu diafiza are loc intre 16-20 ani.

Rezonanta magnetica nucleara

Foloseste pentru studiul articulatiilor gleznei si piciorului sectiuni axiale, frontale si sagitale (fig. 15a, b).

Fig. 15a - Sectiune sagitala RMN la nivelul gleznei

Fig. 15b - Sectiune frontala RMN la nivelul gleznei si piciorului

RADIOLOGIA VASCULARA A MEMBRELOR

In randul metodelor si tehnicilor de explorare a membrelor se inscriu, cu succes inca, arteriografia, flebografia si limfografia.

Arteriografia

Datorita usurintei executiei, rarelor incidente si accidente tehnica folosita este cea descrisa de Seldinger. Dupa reperarea prin palpare a arterei femurale in trigonul Scarpa, aceasta va fi punctionata si apoi cateterizata. Sub control fluoroscopic cateterul este ghidat catre nivelul dorit, dupa care se introduce substanta de contrast si se executa o serie de radiografii care surprinde progresia contrastului in axul arterial de studiat. In acest mod este posibila vizualizarea intregului ax arterial al membrelor.

Axul arterial al membrului pelvin (fig. 16) apare constituit din: a. femurala (cu a. femurala profunda si ramurile sale perforante), a. poplitee, trunchiul tibio-peronier din care se vor desprinde a. tibiala anterioara (continuata de a. pedioasa), a. peroniera care se bifurca in arterele peroniere anterioara si posterioara) si a. tibiala posterioara (continuata de arterele plantare laterala si mediala ce vor participa la formarea arcadei plantare).

Fig. 16 - Imagini arteriografice la nivelul membrului pelvin

Vizualizarea axului arterial al membrului superior presupune evidentierea arterelor axilara (cu ramurile sale colaterale), humerala (cu a. humerala profunda), radiala, ulnara; arterele mainii sunt reprezentate de trei formatiuni arteriale: reteaua carpului si arcadele palmare superficiala si profunda. De la ele pornesc aa. interosoase, digitale si colaterale ale degetelor (fig. 17).

Explorarea angiografica are rolul de a confirma diagnosticul clinic, de a stabili stadiul evolutiv al bolii, de a preciza prognosticul si indeosebi de a determina exact starea de operabilitate locala.

Fig. 17 - Arteriograma cu substractie la nivelul axilei, bratului si mainii

Flebografia

Flebografia membrelor este metoda de vizualizare radiologica a venelor opacifiate cu ajutorul unui produs de contrast.

Tehnica folosita pentru flebografia membrelor inferioare presupune parcurgerea urmatoarelor etape: punctionarea unei vene de pe fata dorsala a piciorului, instalarea unui garou la baza maleolelor (pentru a bloca circulatia venoasa superficiala), injectarea contrastului, executarea de radiografii de fata si de profil, aplicarea unui alt garou deasupra genunchiului (pentru a bloca circulatia venoasa superficiala si profunda a membrului), reinjectare de contrast, urmata de o noua serie de radiografii.

Pe o flebografie normala se recunosc cu usurinta venele safene si intregul ax venos profund (vv. tibiale posterioare, vv. tibiale anterioare, v. polplitee si v. femurala). In general exista variatii anatomice insemnate ce privesc colateralele si anastomozele, mai ales la nivelul venelor superficiale, fapt ce poate preta la confuzii (fig. 18).

Fig. 18 - Flebografie a membrului inferior

Pentru flebografia membrului superior, injectarea substantei de contrast se face intr-una dintre venele dorsale ale mainii, sau de la plica cotului. Substanta de contrast care se injecteaza intr-una din venele dorsale ale mainii trece in venele superficiale ale antebratului si nu poate fi dirijata spre profunzime cu ajutorul unui garou, ca la membrele inferioare, din cauza numarului redus sau a lipsei venelor comunicante intre cele doua sisteme. Teoretic, pentru a vizualiza venele profunde ale antebratului ar trebui sa se faca o flebografie transosoasa cu injectia contrastului in epifiza distala a radiusului. Pentru vizualizarea axului profund al bratului produsul de contrast se injecteaza in venele de la plica cotului (fig. 19).

Fig. 19 - Flebografia mainii

Limfografia

Limfografia membrelor este metoda de vizualizare radiologica a vaselor si releelor ganglionare limfatice ale membrelor cu ajutorul unor substante de contrast. Ea se practica fie prin introducerea in spatiile interstitiale a unei substante de contrast care se absoarbe electiv prin capilarele limfatice (limfografia indirecta), fie prin injectarea unei substante de contrast direct in sistemul limfatic (limfografia directa).

Sistemul limfatic al membrului pelvin apare normal format din:

limfaticele superficiale sunt satelite ale venei safene interne si sunt formate din 3 - 4 vase care ulterior divizandu-se ajung in trigonul lui scarpa in numar de 10 - 15;

limfaticele profunde sunt dispuse intr-un grup postero-median si altul postero-lateral;

limfoganglionii inghinali sunt formati dintr-un grup de 3 - 6 ganglioni superficiali si 1 - 3 ganglioni profunzi.

Sistemul limfatic al membrului toracic este format din:

limfaticele superficiale ale antebratului si bratului;

limfaticele profunde;

ganglionii limfatici axilari reprezentati fie prin 10 - 15 mici limfoganglioni, fie prin 4 - 6 ganglioni voluminosi.





Politica de confidentialitate


creeaza logo.com Copyright © 2026 - Toate drepturile rezervate.
Toate documentele au caracter informativ cu scop educational.